Tốt nghiệp Đại Học Dược Hà Nội - chuyên môn Dược lâm sàng. Hiện đang là giảng viên cho Dược sĩ tại Nhà thuốc Long Châu.
21/06/2023
Mặc định
Lớn hơn
Cuộc sống hiện đại bận rộn khiến nhiều người không có quá nhiều thời gian để đến phòng nha cạo vôi răng thường xuyên. Điều này khiến nhiều người băn khoăn không biết có nên dùng dụng máy cạo vôi răng ở nhà có được không? Có nên sử dụng máy lấy cao răng tại nhà? Bài viết dưới đây sẽ giúp bạn tìm lời giải đáp cho vấn đề này nhé!
Để đảm bảo sức khỏe răng miệng luôn khỏe mạnh thì việc cạo vôi răng là điều được các bác sĩ chuyên khoa khuyến nghị nên thực hiện định kỳ 6 tháng/lần. Nhưng đối với những người có công việc bận rộn, nhiều người lại không có thời gian để đến phòng nha để thực hiện phương pháp cạo vôi. Điều này khiến nhiều người rất băn khoăn không biết việc sử dụng máy cạo vôi răng ở nhà có được không? Có nên sử dụng máy lấy cao răng tại nhà? Cùng tìm hiểu trong bài viết dưới đây nhé!
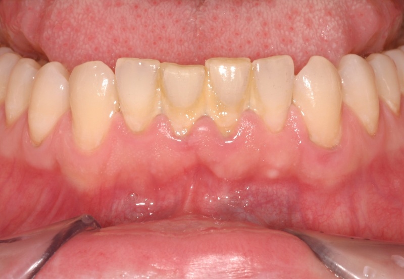
Vôi răng (hay còn gọi là cao răng) là những mảng bám xung quanh răng mà bạn có thể dễ dàng nhìn thấy bằng mắt thường. Vôi răng được hình thành do các mảnh vụn thức ăn dư thừa, các mảng bám tích tụ lâu ngày trên răng. Theo thời gian, chúng sẽ bị vôi hóa và tạo điều kiện cho vi khuẩn tích tụ. Vôi răng còn là nơi lắng đọng sắt của huyết thanh trong máu và nước bọt.
Vôi răng cũng là nơi ẩn náu của vi khuẩn và gây nên nhiều bệnh lý răng miệng nguy hiểm mà chảy máu chân răng. Đây là một trong những dấu hiệu của viêm nướu do vôi răng tích tụ quá nhiều gây nên. Tình trạng viêm nướu lâu ngày không được điều trị có thể dẫn tới viêm nha chu – một bệnh lý về hệ thống nha chu quanh răng rất nguy hiểm. Chính vì vậy mà cạo vôi răng luôn được khuyên phải thực hiện thường xuyên và định kỳ, nhưng có sử dụng máy lấy cao răng tại nhà không?

Vôi răng là nguyên nhân gây ra nhiều bệnh lý răng miệng
Việc sử dụng máy cạo vôi răng tại nhà vẫn có thể thực hiện được bằng cách sử dụng lực tay với các dụng cụ được bày bán trên thị trường hoặc bằng một số chất làm tan cặn lắng. Tuy nhiên, các chuyên gia khuyên chúng ta vẫn không nên thực hiện cạo vôi răng tại nhà vì nó tồn tại nhiều nguy hiểm.
Việc vôi răng bám cứng chắc vào răng sẽ khiến cho việc thực hiện rất khó khăn, việc dùng máy cạo vôi răng tại nhà sẽ không thể quan sát kỹ lưỡng từng ngóc ngách trong răng để cạo thì nó có thể sẽ gây tổn thương đến răng và nướu. Và bạn cũng không thể làm sạch hết các mảng bám vôi răng này.
Do đó, cách tốt nhất để cạo vôi răng an toàn là các bạn nên sắp xếp thời gian cho mình đến trực tiếp nha khoa để được các bác sĩ tay nghề cao, nhiều năm kinh nghiệm với những thiết bị, dụng cụ chuyên nghiệp để thực hiện

Có nên sử dụng máy cạo vôi răng tại nhà
Việc sử dụng máy cạo vôi răng tại nhà đang ngày được nhiều người quan tâm bởi tính tiện dụng và dễ sử dụng. Cách sử dụng máy tuy phụ thuộc vào từng thương hiệu, thế nhưng chung quy lại cơ bản sẽ như sau:
Hầu hết những sản phẩm máy cạo vôi răng tại nhà hiện nay đều mô phỏng cách hoạt động tương tự như dụng cụ cạo vôi răng ở nha khoa.Các dụng cụ lấy vôi răng ở nhà cũng sử dụng cơ chế tạo ra sóng siêu âm rung lắc với tần số cao, từ đó tác động và làm đứt liên kết bên trong cao răng. Cuối cùng cao răng sẽ lung lay và rơi ra ngoài chỉ trong thời gian rất ngắn.
Chính vì vậy hiện nay rất nhiều thương hiệu đang đua nhau phát triển các mẫu dụng cụ cạo vôi răng ở nhà mới, hiện đại. Đơn cử có thể thấy ngay tới cả Xiaomi cũng đa tham gia vào thị trường này. Tuy nhiên máy lấy cao răng có hiệu quả thực sự không vẫn cần sự đánh giá của người dùng.

Sử dụng máy cạo vôi răng tại nhà có hiệu quả không
Trên đây là những chia sẻ về vấn đề có nên dùng máy cạo vôi răng để tự cạo vôi răng tại nhà hay không. Hy vọng sẽ giúp bạn có lời giải đáp thỏa đáng cho vấn đề này nhé!
Thủy Phan
(Nguồn: Tổng Hợp)
:format(webp)/KF_1b_LIQ_Tx_J_Pb27_Vsh90_QN_6b_Xz_OB_Jo_U_f0e2294e2e.png)
Dược sĩ Đại họcNguyễn Chí Chương
Tốt nghiệp Đại Học Dược Hà Nội - chuyên môn Dược lâm sàng. Hiện đang là giảng viên cho Dược sĩ tại Nhà thuốc Long Châu.