/https://cms-prod.s3-sgn09.fptcloud.com/cach_chua_buot_rang_khi_uong_nuoc_lanh_ban_can_biet_6563e57a01.jpg)
Răng ê buốt khi tiếp xúc nước lạnh không chỉ gây khó chịu mà còn ảnh hưởng đến sinh hoạt hằng ngày. Tìm hiểu nguyên nhân và áp dụng đúng cách chữa buốt răng khi uống nước lạnh sẽ giúp bạn bảo vệ răng miệng hiệu quả hơn.
/https://cms-prod.s3-sgn09.fptcloud.com/chan_thuong_mieng_o_tre_em_cach_nhan_biet_va_xu_ly_hieu_qua_77ab2bf9fe.jpg)
Chấn thương miệng ở trẻ em có thể gây đau đớn và biến chứng nếu không xử lý đúng cách. Tìm hiểu nguyên nhân, dấu hiệu nhận biết, cách sơ cứu và biện pháp phòng ngừa hiệu quả để bảo vệ sức khỏe răng miệng cho trẻ.
/https://cms-prod.s3-sgn09.fptcloud.com/thuoc_te_nha_khoa_co_tac_dung_bao_lau_2_2f72a02330.png)
Trong các thủ thuật nha khoa như nhổ răng, điều trị tủy hay cấy ghép implant, thuốc gây tê được xem là “trợ thủ đắc lực” giúp bệnh nhân giảm đau và thoải mái hơn trong quá trình điều trị. Tuy nhiên, nhiều người vẫn thắc mắc: Thuốc tê nha khoa có tác dụng trong bao lâu và liệu thời gian này có đủ để bác sĩ hoàn thành thủ thuật hay không?
/https://cms-prod.s3-sgn09.fptcloud.com/lichen_phang_o_mieng_la_gi_dau_hieu_va_cach_dieu_tri_469c439a3c.jpg)
Lichen phẳng ở miệng là một bệnh lý mạn tính trong khoang miệng, thường biểu hiện bằng các vết trắng dạng lưới, tổn thương loét hoặc gây rát bỏng khó chịu. Mặc dù không lây nhiễm nhưng bệnh có thể kéo dài dai dẳng, ảnh hưởng đến việc ăn uống và cuộc sống của người bệnh. Vậy lichen phẳng ở miệng là gì, có dấu hiệu nhận biết ra sao và cách điều trị thế nào? Bài viết dưới đây sẽ giúp bạn hiểu rõ hơn.
/https://cms-prod.s3-sgn09.fptcloud.com/nieng_rang_tre_em_co_loi_ich_gi_khi_nao_nen_nieng_rang_cho_tre_1_fb62693a1a.jpg)
Niềng răng trẻ em không chỉ giúp cải thiện nụ cười mà còn mang lại nhiều lợi ích sức khỏe lâu dài. Bạn đang băn khoăn không biết niềng răng có thực sự cần thiết cho con mình? Bài viết dưới đây sẽ giải đáp chi tiết về lợi ích, thời điểm phù hợp và các phương pháp niềng răng cho trẻ hiện nay, giúp phụ huynh đưa ra quyết định đúng đắn.
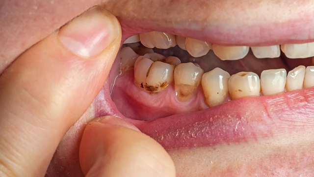
/https://cms-prod.s3-sgn09.fptcloud.com/sau_rang_o_nguoi_lon_b8394e4a83.jpg)
Sâu răng không chỉ là vấn đề của trẻ em mà người lớn cũng dễ mắc phải. Sâu răng ở người lớn thậm chí còn dẫn đến những hậu quả nghiêm trọng hơn sâu răng ở trẻ em nếu không điều trị sớm. Cùng tìm hiểu nguyên nhân, triệu chứng và cách điều trị sâu răng ở người lớn qua bài viết sau.
/https://cms-prod.s3-sgn09.fptcloud.com/an_keo_sau_rang_93c1316fcf.jpg)
Ăn kẹo quá nhiều là nguyên nhân hàng đầu gây sâu răng ở cả trẻ em và người lớn. Tìm hiểu ngay lý do ăn kẹo sâu răng và cách bảo vệ răng miệng khi ăn kẹo trong bài viết sau.
/https://cms-prod.s3-sgn09.fptcloud.com/noi_cuc_trong_mieng_khong_dau_nguyen_nhan_do_dau_5100f570b6.jpg)
Nổi cục trong miệng không đau có thể xuất hiện do nhiều nguyên nhân khác nhau, từ tổn thương nhẹ đến bệnh lý nghiêm trọng. Đây là dấu hiệu cần được chú ý, vì có thể liên quan đến các vấn đề sức khỏe tiềm ẩn.
/https://cms-prod.s3-sgn09.fptcloud.com/tay_trang_rang_co_bi_e_buot_khong_6537dea06d.png)
Tẩy trắng răng là phương pháp làm đẹp đem lại hàm răng trắng đẹp tự tin. Tuy nhiên nhiều người gặp phải tình trạng ê buốt răng khi tẩy trắng, thậm chí còn lo ngại về các tác dụng phụ khác. Vậy tẩy trắng răng có bị ê buốt không?
/https://cms-prod.s3-sgn09.fptcloud.com/bai_vietgia_nieng_rang_mac_cai_su_la_bao_nhieu_uu_nhuoc_diem_cua_nieng_rang_mac_cai_su_html_156c7b5944.png)
Thói quen nhai một bên tưởng chừng như vô hại nhưng có thể gây ra nhiều hậu quả nghiêm trọng cho sức khỏe răng miệng, cơ nhai, hệ tiêu hóa, khớp thái dương hàm và thậm chí làm thay đổi diện mạo khuôn mặt. Bài viết sau đây sẽ giúp bạn hiểu rõ hơn tình trạng nhai 1 bên bị lệch mặt và các biện pháp có thể áp dụng để khắc phục vấn đề này.