:format(webp)/nieng_rang_trong_suot_la_gi_uu_va_nhuoc_diem_c41b938d75.jpg)
Niềng răng trong suốt là phương pháp chỉnh nha hiện đại được nhiều người lựa chọn nhờ tính thẩm mỹ cao và sự tiện lợi trong sinh hoạt hằng ngày. Vậy niềng răng trong suốt là gì, có những ưu và nhược điểm nào cần cân nhắc trước khi thực hiện?
:format(webp)/rang_chia_ra_ngoai_la_tinh_trang_gi_nguyen_nhan_va_cach_dieu_tri_hieu_qua_1_44e1442d01.png)
Răng chìa ra ngoài có thể khiến khớp cắn bị lệch rõ rệt, ảnh hưởng đến thẩm mỹ và gây bất tiện trong quá trình ăn nhai, giao tiếp hằng ngày. Tình trạng này hình thành do nhiều nguyên nhân khác nhau, từ yếu tố bẩm sinh đến các thói quen xấu kéo dài.
:format(webp)/rang_ho_co_di_truyen_khong_giai_thich_khoa_hoc_va_huong_can_thiep_hieu_qua_1_5a31927d19.jpg)
Răng hô có di truyền không? Câu trả lời là có thể, nhưng không phải mọi trường hợp đều do di truyền. Răng hô là tình trạng sai lệch khớp cắn chịu ảnh hưởng bởi nhiều yếu tố khác nhau, trong đó yếu tố di truyền chỉ đóng vai trò nhất định. Bài viết này sẽ giúp bạn hiểu rõ bản chất vấn đề, các yếu tố liên quan và hướng xử lý phù hợp.
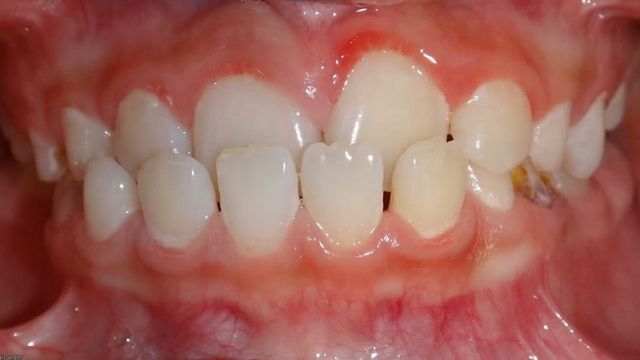
:format(webp)/rang_ho_la_gi_nguyen_nhan_phan_loai_va_huong_dieu_tri_hieu_qua_4_7d0485bf02.png)
Răng hô là tình trạng răng hoặc hàm trên đưa ra phía trước quá mức so với hàm dưới, gây mất cân đối khuôn mặt và ảnh hưởng đến chức năng ăn nhai. Bài viết này trả lời trực tiếp răng hô là gì, vì sao tình trạng này xảy ra và nên điều trị như thế nào để đạt hiệu quả tối ưu.
:format(webp)/nieng_rang_ho_la_gi_quy_trinh_va_gia_bao_nhieu_9ea24bf7c6.jpg)
Niềng răng hô không chỉ giúp cải thiện nụ cười thẩm mỹ mà còn đóng vai trò quan trọng trong việc điều chỉnh khớp cắn, hỗ trợ ăn nhai và phát âm hiệu quả hơn. Tình trạng răng hô nếu không được can thiệp kịp thời có thể ảnh hưởng đến cấu trúc khuôn mặt và làm tăng nguy cơ mắc các bệnh lý răng miệng như viêm nha chu, sâu răng, mòn men răng. Cùng Nhà thuốc Long Châu tìm hiểu kỹ hơn về niềng răng hô qua bài viết dưới đây.
:format(webp)/nieng_rang_trong_suot_gia_bao_nhieu_nhung_dieu_ban_can_biet_4_314840fcdd.png)
Niềng răng trong suốt đang trở thành xu hướng chỉnh nha được ưa chuộng nhờ tính thẩm mỹ cao và sự tiện lợi. Tuy nhiên, chi phí niềng răng trong suốt luôn là mối quan tâm lớn của nhiều người. Vậy niềng răng trong suốt giá bao nhiêu? Hãy cùng tìm hiểu chi tiết trong bài viết dưới đây nhé!
:format(webp)/chi_phi_boc_rang_su_cho_rang_ho_nhu_the_nao_ec5b0bb6e4.png)
Răng hô không chỉ ảnh hưởng đến thẩm mỹ mà còn gây ra nhiều khó khăn trong sinh hoạt hàng ngày như ăn uống và giao tiếp. Hiện tại công nghệ nha khoa hiện đại đang ngày càng phát triển hơn, cho nên bọc răng sứ đã trở thành một giải pháp hiệu quả giúp mang lại nụ cười tự tin và hàm răng đều đẹp. Vậy chi phí bọc răng sứ cho răng hô như thế nào?
:format(webp)/hinh_anh_rang_ho_nhe_cung_giai_phap_cai_thien_170bf882a9.jpg)
Răng hô nhẹ là một vấn đề răng miệng khá phổ biến, ảnh hưởng đến thẩm mỹ nụ cười của nhiều người. Bài viết này sẽ cung cấp hình ảnh răng hô nhẹ điển hình cùng các giải pháp cải thiện hiệu quả, giúp bạn tự tin hơn với nụ cười của mình.
:format(webp)/cac_phuong_phap_chinh_rang_ho_khong_can_nieng_9bbc0e522b.jpg)
Ai trong chúng ta cũng mong muốn sở hữu một hàm răng đều đẹp, tự tin nở nụ cười tỏa sáng. Tuy nhiên, tình trạng răng hô lại khiến nhiều người cảm thấy tự ti và ngại giao tiếp. Vậy làm thế nào để khắc phục tình trạng này nhờ phương pháp chỉnh răng hô không cần niềng?
:format(webp)/phau_thuat_ham_ho_la_gi_chi_phi_phau_thuat_ham_ho_bao_nhieu_2_449b1843fd.jpg)
Chi phí phẫu thuật hàm hô thường dao động từ 65.000.000 đến 80.000.000 đồng cho từng hàm, và có thể lên tới 120.000.000 đồng hoặc hơn cho cả hai hàm. Nếu kết hợp điều trị hở lợi hoặc trượt cằm, chi phí có thể đạt 150.000.000 đồng. Để biết chính xác, bạn nên liên hệ với cơ sở y tế để được tư vấn cụ thể.