:format(webp)/cac_kieu_deo_thun_lien_ham_pho_bien_khi_nieng_rang2_538891aed2.jpg)
Các kiểu đeo thun liên hàm giúp điều chỉnh khớp cắn hiệu quả trong chỉnh nha. Khám phá ngay thông tin từng loại, đồng thời biết cách dùng đúng và đạt kết quả tối ưu.
:format(webp)/benh_rang_mieng_hoc_duong_01431a9f97.jpg)
Bệnh răng miệng học đường là một trong những vấn đề sức khỏe phổ biến ở trẻ em và học sinh hiện nay. Vì vậy, việc hiểu rõ nguyên nhân và cách phòng ngừa đóng vai trò quan trọng trong việc bảo vệ sức khỏe răng miệng cho học sinh.
:format(webp)/giai_dap_chi_phi_trong_2_rang_cua_gia_bao_nhieu_4_0659b8abec.jpg)
Bạn đang thắc mắc trồng 2 răng cửa giá bao nhiêu? Xem ngay giá chi tiết các phương pháp trồng răng cửa bằng Implant, cầu răng sứ và hàm tháo lắp mới nhất tại đây.
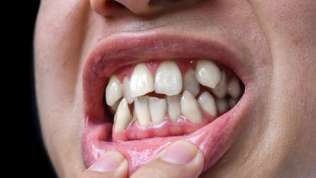
:format(webp)/men_rang_yeu_la_gi_nguyen_nhan_va_cach_bao_ve_rang_chac_khoe_2_47a63ec0ed.png)
Men răng là lớp bảo vệ quan trọng giúp răng chống lại các tác động từ vi khuẩn, axit và lực nhai hàng ngày. Tuy nhiên, vì nhiều nguyên nhân khác nhau, lớp men này có thể bị suy yếu mà bạn không hề nhận ra. Khi men răng bị tổn thương, răng trở nên nhạy cảm hơn, dễ ê buốt và tăng nguy cơ sâu răng. Vậy men răng yếu là gì, nguyên nhân do đâu và làm thế nào để bảo vệ răng luôn chắc khỏe?
:format(webp)/tay_trang_rang_co_lam_hong_men_rang_khong_va_nhung_dieu_can_biet_a22a1f0946.png)
Tẩy trắng răng là một trong những phương pháp thẩm mỹ nha khoa được nhiều người lựa chọn để cải thiện nụ cười. Tuy nhiên, bên cạnh hiệu quả làm trắng nhanh chóng, không ít người vẫn băn khoăn liệu tẩy trắng răng có làm hỏng men răng hay gây ảnh hưởng lâu dài đến sức khỏe răng miệng hay không. Hiểu đúng về cơ chế và độ an toàn của phương pháp này sẽ giúp bạn yên tâm hơn trước khi quyết định thực hiện.
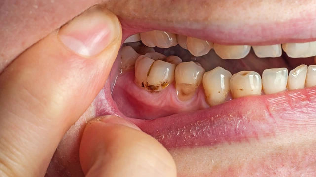
:format(webp)/rang_nhiem_khang_sinh_la_gi_nguyen_nhan_va_cach_khac_phuc_hieu_qua_5a8710b151.png)
Răng ố vàng, xỉn màu không chỉ ảnh hưởng đến thẩm mỹ mà còn khiến nhiều người mất tự tin trong giao tiếp. Trong đó, răng nhiễm kháng sinh là một tình trạng đặc biệt, thường xuất hiện từ sớm và khó cải thiện bằng các phương pháp chăm sóc thông thường. Vậy răng nhiễm kháng sinh là gì, nguyên nhân do đâu và có thể khắc phục hiệu quả hay không? Hiểu đúng vấn đề sẽ giúp bạn lựa chọn giải pháp phù hợp để cải thiện nụ cười của mình.
:format(webp)/rang_khon_co_may_cai_nhung_dieu_can_biet_ve_rang_so_8_f4a1cc9fdd.jpg)
Nhiều người thắc mắc răng khôn có mấy cái và liệu việc không mọc đủ răng khôn có phải là dấu hiệu bất thường hay không. Thực tế, số lượng răng khôn ở mỗi người có thể khác nhau do nhiều yếu tố như di truyền hoặc cấu trúc xương hàm.
:format(webp)/6_dau_hieu_thieu_chat_o_mieng_canh_bao_suc_khoe_1_9055a69977.png)
Khi cơ thể thiếu vitamin và khoáng chất, nhiều dấu hiệu bất thường có thể xuất hiện ở môi, lưỡi và khoang miệng. Nhận biết 6 dấu hiệu này sẽ giúp bạn kịp thời điều chỉnh chế độ ăn uống và bảo vệ sức khỏe.
:format(webp)/rang_khenh_la_gi_nguyen_nhan_anh_huong_va_phuong_phap_dieu_tri_hieu_qua_ede0fc031a.jpg)
Răng khểnh là tình trạng phổ biến nhưng ít người hiểu rõ về nguyên nhân và cách khắc phục. Bài viết này sẽ giúp bạn hiểu rõ răng khểnh là gì, nguyên nhân gây ra và những ảnh hưởng của chúng đến sức khỏe răng miệng, cũng như phương pháp điều trị hiệu quả.
:format(webp)/nho_rang_so_7_co_nguy_hiem_khong_cach_cham_soc_han_che_bien_chung_2fecb37872.jpg)
Nhổ răng số 7 có nguy hiểm không là thắc mắc của nhiều người khi được bác sĩ chỉ định loại bỏ chiếc răng hàm này. Răng số 7 giữ vai trò ăn nhai quan trọng nên việc can thiệp khiến không ít người lo lắng. Trên thực tế, mức độ nguy hiểm khi nhổ răng số 7 phụ thuộc vào tình trạng răng miệng và kỹ thuật thực hiện nên việc hiểu đúng bản chất sẽ giúp bạn chủ động hơn khi điều trị.