• Thực phẩm chức năng

  • Dược mỹ phẩm

  • Thuốc

  • Chăm sóc cá nhân

  • Thiết bị y tế

  • Tiêm chủng

  • Bệnh & Góc sức khỏe

  • Hệ thống nhà thuốc

    1. /
    2. Góc sức khỏe/
    3. Phòng bệnh & Sống khoẻ

    Dán sứ veneer có mấy loại và những lưu ý khi dán răng sứ

    21/06/2023

    Kích thước chữ

    Dán sứ veneer là một phương pháp thẩm mỹ răng đang rất phổ biến. Nó giúp khắc phục những tình trạng xấu của răng đồng thời mang lại cảm giác tự nhiên giống như răng thật. Vậy dán sứ veneer có mấy loại?

    Là một phương pháp thẩm mỹ răng đang được rất nhiều người ưa chuộng, dán sứ veneer mang đến nhiều ưu điểm vượt trội giúp loại bỏ các nỗi tự ti về răng, mang lại một hàm răng đều, đẹp. Dù phương pháp này mang lại nhiều hiệu quả như vậy nhưng liệu bạn có biết dán sứ veneer có mấy loại?

    Dán sứ veneer mang lại hiệu quả gì?

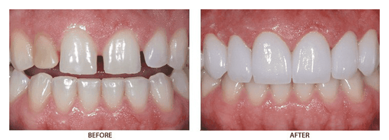
    Hàm răng ảnh hưởng rất lớn đến tổng thể khuôn mặt, một hàm răng đều đẹp sẽ giúp cho bạn luôn tự tin về vẻ ngoài cũng như diện mạo của mình mỗi khi xuất hiện. Dán sứ veneer là một phương pháp thẩm mỹ răng, với việc sử dụng kỹ thuật dùng miếng dán có độ dày trong khoảng từ 0,3 - 0,5mm dán lên bề mặt của răng nhằm khắc phục cũng như che đi những khuyết điểm xấu của răng.

    Đối với phương pháp này, chỉ cần mài một lớp rất mỏng trên răng nhằm tạo độ sần để dán sứ lên bề mặt của răng. Với lớp men sứ mỏng sẽ làm cho hình dáng, màu sắc của răng trông tự nhiên giống như là răng thật và không gây ảnh hưởng tới cấu trúc của răng cũng như các mô ở khoang miệng. Và đặc biệt phương pháp dán răng sứ không làm ảnh hưởng tới quá trình nhai thức ăn, nó đem lại cảm giác rất tự nhiên và mọi hoạt động của khoang miệng đều được diễn ra một cách bình thường.

    Dán răng sứ mang lại những hiệu quả vô cùng tuyệt vời. Có thể kể đến đó là nó mang lại tính thẩm mỹ cao giúp cho bạn có cảm giác tự nhiên về hàm răng của mình cũng như mang lại một nụ cười tự tin. Bên cạnh đó dán sứ veneer có độ bền rất cao, nếu được thực hiện bởi bác sĩ có chuyên môn tốt, tay nghề cao cùng các kỹ thuật tân tiến hiện đại thì tuổi thọ của mặt dán sứ veneer có thể kéo dài trong khoảng từ 10 - 15 năm. Ngoài ra, một ưu điểm nữa của mặt dán sứ veneer chính là nó ít hoặc gần như không tác động đến răng thật. Điều này giúp bảo vệ răng thật và hạn chế tối đa các tổn thương gây ra đối với răng thật.

    Dán sứ veneer mấy loại và những lưu ý khi dán răng sứ 1 Dán răng sứ veneer nhằm khắc phục cũng như che đi những khuyết điểm xấu của răng

    Dán sứ veneer có mấy loại?

    Trên thị trường hiện nay có rất nhiều loại dán sứ veneer được ra đời, nhưng để xác định loại nào phù hợp với răng của mình thì đây còn là điều nhiều người vẫn còn chưa biết. Hiện nay có 2 loại dán sứ veneer phổ biến, đó chính là dán sứ veneer với khung sườn CAD/CAM đắp sứ và dán sứ veneer sứ ép.

    Với loại dán sứ veneer có khung sườn CAD/CAM đắp sứ, đây thực chất là một chiếc khung được chế tác từ phôi sứ nguyên chất sau đó được đắp bột sứ ở bên ngoài. Loại dán sứ này sẽ được áp dụng vào chế tạo đắp sứ veneer, có tác dụng tạo ra lớp sứ cực kỳ mỏng được làm từ sứ nguyên chất. Khi sử dụng loại dán sứ này, bạn có thể sở hữu cho mình hàm răng dán sứ veneer ngay trong ngày mà không cần phải mất quá nhiều thời gian chờ đợi.

    Còn với loại dán veneer sứ ép thì đây là những miếng dán sứ được mài cực mỏng, nó giống như một chiếc mặt nạ để che đi hàm răng thật. Các lớp dán sứ được ép và nung ở nhiệt độ cao, nung nhiều lần và độ dày của mặt dán sứ chỉ trong khoảng từ 0,1mm - 0,3mm. Sau khi được chế tác xong, mặt dán sứ sẽ được dán lên mặt ngoài cũng như mặt nhai của răng. Với loại dán sứ này, sẽ mang lại ưu điểm đó chính là tăng tính thẩm mỹ, giúp cho hàm răng được trắng sáng và mang lại cảm giác tự tin cho bạn mỗi khi xuất hiện.

    Dán sứ veneer mấy loại và những lưu ý khi dán răng sứ 2 Hiện nay có rất nhiều loại dán răng sứ veneer được ra đời đáp ứng được nhu cầu cho người sử dụng

    Một vài lưu ý cần biết khi sử dụng dán sứ veneer

    Để quá trình dán sứ diễn ra thành công cũng như giúp bảo vệ hàm răng, bạn cần biết một số lưu ý sau để phòng ngừa. Cụ thể:

    • Khi sử dụng dán sứ veneer bạn không nên uống đồ uống có gas, không hút thuốc, tránh tình trạng nhai 1 hàm quá lâu.
    • Chú ý vệ sinh răng miệng thật đúng cách, thường xuyên súc miệng để loại bỏ các mảng bám trong khoang miệng.
    • Nên dùng chỉ nha khoa hoặc tăm nước để loại bỏ những thức ăn còn sót lại trên răng.
    • Chú ý theo dõi và thăm khám định kỳ để biết được tình trạng của răng, việc này sẽ giúp cho bạn biết rõ được răng của mình đang ở mức độ nào để từ đó có những cách chăm sóc phù hợp.
    Dán sứ veneer mấy loại và những lưu ý khi dán răng sứ 3 Ghi lại những lưu ý khi sử dụng dán sứ veneer

    Chắc hẳn thông qua bài viết trên đã giải đáp được phần nào thắc mắc của nhiều người về câu hỏi: Dán sứ veneer có mấy loại. Hãy xác định cũng như tìm hiểu về tình trạng răng của mình để lựa chọn loại dán sứ phù hợp nhằm đem lại hiệu quả tốt nhất khi sử dụng.

    Lan Hương

    Nguồn tham khảo: Tổng hợp

    Thông tin và sản phẩm gợi ý trong bài viết chỉ mang tính chất tham khảo, vui lòng liên hệ với Bác sĩ, Dược sĩ hoặc chuyên viên y tế để được tư vấn cụ thể. Xem thêm

    Dược sĩ Đại họcNgô Kim Thúy

    Đã kiểm duyệt nội dung

    Tốt nghiệp loại giỏi trường Đại học Y Dược Huế. Từng tham gia nghiên cứu khoa học đề tài về Dược liệu. Nhiều năm kinh nghiệm làm việc trong lĩnh vực Dược phẩm. Hiện đang là giảng viên cho Dược sĩ tại Nhà thuốc Long Châu.

    Xem thêm thông tin