• Thực phẩm chức năng

  • Dược mỹ phẩm

  • Thuốc

  • Chăm sóc cá nhân

  • Thiết bị y tế

  • Tiêm chủng

  • Bệnh & Góc sức khỏe

  • Hệ thống nhà thuốc

    1. /
    2. Góc sức khỏe/
    3. Phòng bệnh & Sống khoẻ

    Nên dán sứ veneer hay bọc răng sứ? Cái nào tốt hơn?

    21/06/2023

    Kích thước chữ

    Để khắc phục những tình trạng xấu của răng, nhiều người tìm đến các phương pháp thẩm mỹ với mong muốn mang lại một hàm răng đẹp như ý. Nhưng nhiều người tỏ ra thắc mắc không biết nên dán sứ veneer hay bọc răng sứ.

    Hàm răng ảnh hưởng rất lớn tới tổng thể khuôn mặt, vì vậy một hàm răng đều đẹp sẽ giúp khuôn mặt được hài hòa cũng như mang lại một nụ cười tự tin mỗi khi xuất hiện. Hiện nay cả dán sứ veneer và bọc răng sứ đều là những phương pháp thẩm mỹ răng được rất nhiều người ưa chuộng bởi những hiệu quả tuyệt vời mà nó mang lại. Vậy nên dán sứ veneer hay bọc răng sứ?

    Tìm hiểu về dán sứ veneer và bọc răng sứ

    Để có câu trả lời về việc nên dán sứ veneer hay bọc răng sứ thì trước hết chúng ta cần tìm hiểu thật rõ về 2 phương pháp thẩm mỹ răng này.

    Dán sứ veneer

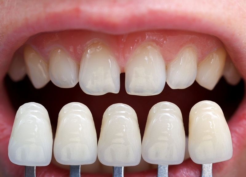
    Dán sứ veneer là một phương pháp thẩm mỹ răng, sử dụng mặt dán được làm từ lớp sứ mỏng, có độ dày trong khoảng từ 0,3 - 0,5mm được dán lên bề mặt của răng nhằm che đi những khuyết điểm của răng gốc. Thông thường mặt dán sứ veneer sẽ không cần mài hoặc nếu mài thì sẽ chỉ mài một lớp rất mỏng, điều này sẽ giúp cho mặt dán khi dán vào răng trông được tự nhiên nhất có thể.

    Ưu điểm của dán sứ veneer là có tính thẩm mỹ rất cao, không những tạo cảm giác tự nhiên cho răng mà còn giúp cho hàm răng đều đẹp, trắng sáng. Dán sứ veneer có độ bền cực kỳ cao, tuổi thọ của nó có thể kéo dài trong khoảng từ 10-15 năm nên bạn có thể hoàn toàn yên tâm khi sử dụng. Bên cạnh đó, dán sứ veneer cũng không gây ảnh hưởng hay tác động gì đến răng thật, không gây hôi miệng, hạn chế tối đa các tác động xấu đến răng thật.

    Nên dán sứ veneer hay bọc răng sứ? Cái nào tốt hơn? 1 Dán sứ veneer một phương pháp thẩm mỹ cao giúp hàm răng luôn trắng sáng

    Bọc răng sứ

    Cũng giống như dán sứ veneer, bọc răng sứ cũng là một phương pháp thẩm mỹ răng, có tác dụng điều chỉnh vị trí mọc của răng, phục hình răng, cải thiện men răng. Phương pháp này ngày càng được áp dụng rộng rãi và được rất nhiều người chọn lựa để thẩm mỹ hàm răng.

    Việc bọc răng sứ sẽ giúp phục hình lại răng, ổn định các khớp cắn, cải thiện tình trạng răng thưa, răng mọc lệch. Bên cạnh đó, quá trình thực hiện phương pháp này rất nhanh chóng, đơn giản, không gây đau đớn và cũng không làm mất quá nhiều thời gian của khách hàng. Ngoài ra, công nghệ chế tạo răng sứ cũng rất hiện đại, được làm từ sứ nguyên chất, nung ở nhiệt độ cao trong nhiều giờ nên răng sứ thường rất chắc chắn và có độ bền tốt.

    Nên dán sứ veneer hay bọc răng sứ? Cái nào tốt hơn? 2 Bọc răng sứ cũng là phương pháp thẩm mỹ răng phổ biến có độ chắc chắn cao

    Nên dán sứ veneer hay bọc răng sứ

    Vì là 2 phương pháp thẩm mỹ răng hiện đại, được nhiều người ưa chuộng nên sẽ có rất nhiều người tỏ ra phân vân, thắc mắc không biết nên dán sứ veneer hay bọc răng sứ.

    Bọc răng sứ thường được áp dụng cho những người gặp phải tình trạng răng bị vỡ, mòn men răng, răng khấp khểnh,... còn dán sứ veneer thường được áp dụng cho những người có hàm răng đều, men răng sáng nhưng bị thưa, bị mòn. Khác với dán sứ veneer, khi bọc răng sứ bạn sẽ phải mài một lớp men răng khá dày khoảng từ 0,6 - 1,2mm điều này sẽ gây ảnh hưởng tới tủy răng, nguy cơ gây ra tình trạng viêm lợi hay các bệnh về răng là rất lớn.

    Bên cạnh đó, nếu như dán sứ veneer chỉ có tuổi thọ trong khoảng trên dưới 10 năm thì bọc răng sứ lại có tuổi thọ gấp đôi. Thêm một lưu ý là khi sử dụng dán sứ veneer bạn sẽ phải kiêng các đồ ăn cứng, khó nhai vì nó có thể gây ảnh hưởng tới miếng dán.

    Mỗi phương pháp đều có những ưu, nhược điểm khác nhau và tùy thuộc vào tình trạng răng của mỗi người để xác định xem phương nào là phù hợp nhất, tốt nhất. Thông thường thì bọc răng sứ sẽ phù hợp với những người răng bị hư hỏng răng và cần phải tái tạo lại, còn dán sứ veneer thì thiên về việc thẩm mỹ nhiều hơn.

    Để có thể lựa chọn được phương pháp phù hợp nhất cho hàm răng của mình thì tốt nhất bạn nên trực tiếp đến bác sĩ để được thăm khám cũng như được tư vấn cụ thể về tình trạng răng. Một điều quan trọng nữa là bạn cần lựa chọn những cơ sở nha khoa uy tín, bác sĩ có tay nghề tốt, chuyên môn cao cũng các trang thiết bị công nghệ hiện đại, tân tiến. Bởi chỉ khi được điều trị một cách chuyên nghiệp, tận tình thì mới mang lại cho bạn một hàm răng như ý, còn khám ở những cơ sở kém chất lượng, bác sĩ tay nghề yếu thì không những không mang lại hàm răng như bạn mong muốn mà còn gây ra những ảnh hưởng nghiêm trọng tới răng thật điều đó là rất nguy hiểm.

    Nên dán sứ veneer hay bọc răng sứ? Cái nào tốt hơn? 3 Nhiều người vẫn phân vân không biết nên bọc răng sức hay dán răng sứ veneer

    Nên dán sứ veneer hay bọc răng sứ là phụ thuộc vào mỗi người cũng như phụ thuộc vào nhiều yếu tố. Hãy cân nhắc và tìm hiểu về phương pháp mà mình lựa chọn để mang lại một kết quả đáng mong đợi.

    Lan Hương

    Nguồn tham khảo: Tổng hợp

    Thông tin và sản phẩm gợi ý trong bài viết chỉ mang tính chất tham khảo, vui lòng liên hệ với Bác sĩ, Dược sĩ hoặc chuyên viên y tế để được tư vấn cụ thể. Xem thêm

    Dược sĩ Đại họcTrần Thị Dương

    Đã kiểm duyệt nội dung

    Tốt nghiệp Đại Học Dược Hà Nội và có nhiều kinh nghiệm trong lĩnh vực Dược phẩm. Nhiều năm công tác giảng dạy tại các trường trung cấp và cao đẳng dược. Hiện đang là giảng viên cho Dược sĩ tại Nhà thuốc Long Châu.

    Xem thêm thông tin