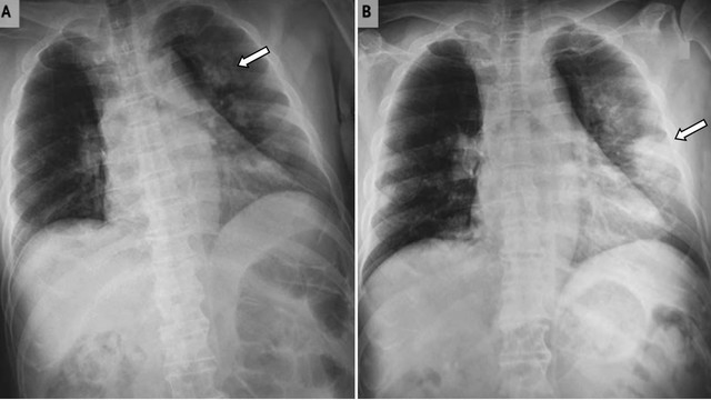
:format(webp)/gian_dong_mach_phoi_co_nguy_hiem_khong_phuong_phap_chan_doan_va_dieu_tri_bdbbc38a81.png)
Giãn động mạch phổi là một tình trạng y khoa nghiêm trọng, có thể là dấu hiệu cảnh báo của nhiều bệnh lý tim mạch và hô hấp tiềm ẩn. Vậy giãn động mạch phổi có thực sự nguy hiểm hay không và những phương pháp chẩn đoán, điều trị hiện đại nào đang được áp dụng để quản lý hiệu quả tình trạng này?
:format(webp)/cach_dieu_tri_xo_phoi_phuong_phap_tien_tien_va_cach_quan_ly_benh_hieu_qua_b8bbb7f3b3.png)
Xơ phổi là một căn bệnh mạn tính nguy hiểm, đặc trưng bởi sự hình thành các mô sẹo trong phổi, làm suy giảm nghiêm trọng chức năng hô hấp. Cách điều trị xơ phổi không chỉ tập trung vào việc làm chậm tiến triển của bệnh mà còn cải thiện chất lượng cuộc sống cho người bệnh.
:format(webp)/xo_phoi_co_chua_duoc_khong_cac_phuong_phap_dieu_tri_hien_nay_3_6c7da6e16a.png)
Xơ phổi là bệnh lý hô hấp mạn tính khiến nhiều người lo lắng bởi tiến triển âm thầm nhưng hậu quả lại rất nặng nề. Khi mô phổi dần bị xơ hóa và mất khả năng đàn hồi, việc hít thở trở nên khó khăn hơn từng ngày. Không ít người đặt câu hỏi: Xơ phổi có chữa được không và hiện nay y học có những phương pháp điều trị nào để kiểm soát bệnh? Hiểu đúng về hướng điều trị sẽ giúp người bệnh chủ động hơn trong quá trình chăm sóc sức khỏe và cải thiện chất lượng cuộc sống.
:format(webp)/bi_xo_phoi_co_nguy_hiem_khong_phuong_phap_dieu_tri_hien_nay_898b9bf25c.png)
Xơ phổi là bệnh lý hô hấp mạn tính đang ngày càng được quan tâm do ảnh hưởng nghiêm trọng đến sức khỏe và chất lượng cuộc sống. Tuy không lây nhiễm, bệnh có thể tiến triển âm thầm và gây nhiều biến chứng nguy hiểm nếu không được phát hiện sớm. Vậy bệnh xơ phổi có nguy hiểm không?
:format(webp)/sac_nuoc_vao_phoi_dau_hieu_va_nguy_hai_doi_voi_suc_khoe_3_d2c96f0dec.png)
Sặc nước vào phổi, hay còn gọi là hít sặc hoặc viêm phổi hít, là một tai nạn phổ biến và có thể xảy ra ở mọi lứa tuổi. Hiện tượng này xảy ra khi nước hoặc các chất lỏng khác đi nhầm vào đường thở và đi xuống phổi thay vì đi vào thực quản. Việc sặc một lượng lớn hoặc sặc lặp đi lặp lại có thể dẫn đến các biến chứng sức khỏe nghiêm trọng như viêm phổi, thậm chí là suy hô hấp nếu không được xử lý kịp thời.
:format(webp)/su_that_ve_benh_phoi_trang_song_duoc_bao_lau_1_0187d77ca4.jpg)
Bệnh phổi trắng sống được bao lâu? Tìm hiểu sự thật về tiên lượng, các yếu tố ảnh hưởng đến tuổi thọ và phương pháp điều trị mới nhất cho căn bệnh này.
:format(webp)/ung_thu_phoi_giai_doan_1_song_duoc_bao_lau_e13bdd3c22.jpg)
Ung thư phổi là một trong những bệnh lý ác tính và gây tử vong hàng đầu trên thế giới. Nếu được phát hiện sớm ở giai đoạn 1, cơ hội sống của người bệnh có thể được cải thiện đáng kể. Vậy ung thư phổi giai đoạn 1 sống được bao lâu và đâu là những yếu tố ảnh hưởng đến tiên lượng?
:format(webp)/phoi_trang_la_benh_gi_dau_hieu_nguyen_nhan_va_cach_dieu_tri_0_6746e5493d.png)
Trong y khoa, phổi trắng là hình ảnh mảng trắng bất thường trên X-quang hoặc CT scan, phản ánh những tổn thương đáng kể ở nhu mô phổi. Đây không phải bệnh lý riêng mà là dấu hiệu cảnh báo nhiều vấn đề hô hấp nguy hiểm như viêm phổi, lao hay ung thư phổi.
:format(webp)/ung_thu_phoi_ho_ra_mau_song_duoc_bao_lau_1_7ba2daf68d.png)
Ung thư phổi ho ra máu sống được bao lâu? Đây là thắc mắc thường gặp của nhiều bệnh nhân và người nhà khi đối mặt với ung thư phổi - một trong những loại ung thư nguy hiểm với tỷ lệ tử vong cao. Bệnh lý này tiến triển âm thầm, thường không có triệu chứng rõ ràng ở giai đoạn đầu, khiến việc phát hiện sớm trở nên khó khăn.
:format(webp)/cach_phong_tranh_benh_viem_phoi_110931d354.jpg)
Viêm phổi là một trong những bệnh lý hô hấp nguy hiểm, dễ gặp ở mọi độ tuổi, nhất là vào thời điểm giao mùa hoặc môi trường ô nhiễm. Tuy nhiên, có nhiều cách phòng tránh bệnh viêm phổi hiệu quả mà bạn có thể áp dụng ngay hôm nay.