/https://cms-prod.s3-sgn09.fptcloud.com/so_sanh_chup_x_quang_va_sieu_am_e3c2c3b5ab.jpg)
Chụp X quang và siêu âm là hai phương pháp chẩn đoán hình ảnh phổ biến, đóng vai trò quan trọng trong phát hiện và theo dõi nhiều bệnh lý khác nhau. Mỗi phương pháp đều có những ưu điểm, hạn chế và chỉ định riêng biệt. Việc so sánh chụp X quang và siêu âm sẽ giúp lựa chọn phương pháp phù hợp, nâng cao hiệu quả chẩn đoán và điều trị.
/https://cms-prod.s3-sgn09.fptcloud.com/chup_x_quang_tam_soat_u_phoi_la_gi_quy_trinh_thuc_hien_nhu_the_nao_1_a3fcc700d9.png)
Chụp X-quang tầm soát u phổi là một trong những phương pháp chẩn đoán hình ảnh phổ biến được sử dụng để phát hiện sớm các bất thường trong phổi, đặc biệt là các khối u. Với khả năng nhanh chóng cung cấp hình ảnh về cấu trúc phổi, kỹ thuật này giúp bác sĩ đánh giá các tổn thương và đưa ra hướng điều trị kịp thời. Cùng Nhà thuốc Long Châu tìm hiểu chi tiết về chụp X-quang tầm soát u phổi trong bài viết dưới đây.
/https://cms-prod.s3-sgn09.fptcloud.com/kha_nang_xuyen_thau_cua_tia_x_1_c4a64e152a.jpg)
Khả năng xuyên thấu của tia X cho phép nó đi qua các mô cơ thể, mang lại nhiều lợi ích trong chẩn đoán y khoa. Tuy nhiên, tiếp xúc lâu dài với tia X có thể gây tổn hại DNA và làm tăng nguy cơ mắc bệnh ung thư. Vì vậy, việc sử dụng tia X cần được kiểm soát chặt chẽ để bảo vệ sức khỏe con người. Hãy cùng nhà thuốc Long Châu tìm hiểu qua bài viết dưới đây nhé.
/https://cms-prod.s3-sgn09.fptcloud.com/4_cong_thuc_salad_rau_nhanh_bo_duong_cho_bua_trua_van_phong_1_497e261e04.png)
Trí tuệ nhân tạo (AI) góp phần không nhỏ trong lĩnh vực chẩn đoán hình ảnh, đặc biệt là trong X-quang. Tuy nhiên, sự phụ thuộc quá mức vào AI có thể dẫn đến những hệ quả không mong muốn, đặc biệt khi AI cung cấp thông tin không chính xác. Một nghiên cứu công bố trên Radiology, tạp chí của Hội Điện quang Hoa Kỳ (RSNA), đã chỉ ra rằng sự hiện diện của AI có thể ảnh hưởng đáng kể đến quyết định chẩn đoán của bác sĩ.
/https://cms-prod.s3-sgn09.fptcloud.com/ai_vuot_troi_hon_cac_bac_si_x_quang_trong_chan_doan_khoi_u_nao_1_992eb83210.jpg)
Khi công nghệ trí tuệ nhân tạo (AI) tiến bộ, các ứng dụng của nó trong nhiều lĩnh vực đang đạt được những bước tiến đáng kể, thậm chí đôi khi còn vượt qua cả chuyên môn của con người. Vậy AI liệu có vượt trội hơn các bác sĩ X quang trong chẩn đoán khối u não?
/https://cms-prod.s3-sgn09.fptcloud.com/chup_nhu_anh_co_dau_khong_nhung_dieu_can_biet_ve_ky_thuat_chup_nhu_anh_1_19ed156c21.png)
Chụp nhũ ảnh có lẽ vẫn đang là kỹ thuật còn khá mới mẻ với phần đông chị em song đây vẫn đang là phương pháp đơn giản và cần thiết để phát hiện những bất thường về vú. Vậy chụp nhũ ảnh là gì? Chụp nhũ ảnh có đau không?
/https://cms-prod.s3-sgn09.fptcloud.com/phan_thuy_phoi_tren_phim_x_quang_huong_dan_chi_tiet_va_khoa_hoc_2011f7dbeb.png)
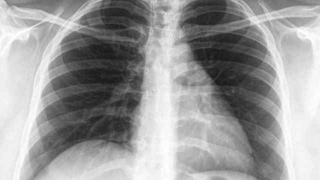
Phân thùy phổi trên phim X-quang là yếu tố quan trọng trong chẩn đoán và điều trị các bệnh lý phổi. Việc hiểu và phân thùy phổi trên phim X-quang giúp bác sĩ chẩn đoán chính xác và lập kế hoạch điều trị hiệu quả. Bài viết này cung cấp hướng dẫn chi tiết về phân thùy phổi trên phim X-quang, dựa trên các nguồn tài liệu khoa học uy tín.
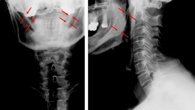
/https://cms-prod.s3-sgn09.fptcloud.com/bieu_hien_cua_dai_mom_tram_va_nhung_phuong_phap_dieu_tri_0_96f60474bd.jpg)
Mỏm trâm là một xương sụn hình trụ, dài nằm trên xương thái dương mà ít người biết đến. Hãy cùng tìm hiểu xem dài mỏm trâm biểu hiện thành những triệu chứng nào qua bài viết sau.
/https://cms-prod.s3-sgn09.fptcloud.com/x_Cropped_1c48f656d6.jpg)
Chụp X-quang là một phương pháp chẩn đoán hình ảnh quan trọng và phổ biến trong y học hiện đại. Để đảm bảo an toàn và hiệu quả, Bộ Y tế Việt Nam đã ban hành các quy trình chụp X-quang tiêu chuẩn. Bài viết này sẽ giới thiệu chi tiết về quy trình chụp X-quang của Bộ Y tế, giúp bạn nắm rõ hơn về quá trình này và những điều cần lưu ý để bảo vệ sức khỏe.
/https://cms-prod.s3-sgn09.fptcloud.com/may_c_arm_la_gi_loi_ich_khi_phau_thuat_co_ho_tro_may_c_arm_41d1c78d99.jpg)
Máy C-Arm nâng cao hình ảnh chất lượng cao, giúp tối ưu hóa và tăng độ chính xác khi vận hành. Từ đó, giúp hạn chế sự xâm nhập vào bệnh nhân, tiết kiệm thời gian và giảm thiểu rủi ro trong phẫu thuật, giúp đảm bảo an toàn cho bệnh nhân. Hãy cùng tìm hiểu về lợi ích của máy C-Arm tại đây nhé!