Dược sĩ Đại học có nhiều năm kinh nghiệm trong việc tư vấn Dược phẩm và hỗ trợ giải đáp thắc mắc về Bệnh học. Hiện đang là giảng viên cho Dược sĩ tại Nhà thuốc Long Châu.
Hồng Nhi
10/04/2026
Mặc định
Lớn hơn
Chụp X quang viêm phổi do phế cầu là phương pháp chẩn đoán hình ảnh giúp bác sĩ phát hiện tổn thương phổi, xác định mức độ viêm và theo dõi tiến triển bệnh. Đây là bước quan trọng khi người bệnh có triệu chứng sốt cao, ho, đau ngực hoặc khó thở.
Viêm phổi do phế cầu là một trong những nguyên nhân phổ biến gây nhiễm trùng hô hấp ở cả trẻ em và người lớn. Nếu không được phát hiện và điều trị kịp thời, bệnh có thể dẫn đến biến chứng nguy hiểm. Vì vậy, việc hiểu rõ vai trò của chụp X quang phổi trong chẩn đoán viêm phổi do phế cầu sẽ giúp gia đình người bệnh yên tâm hơn khi được chỉ định thực hiện kỹ thuật này.
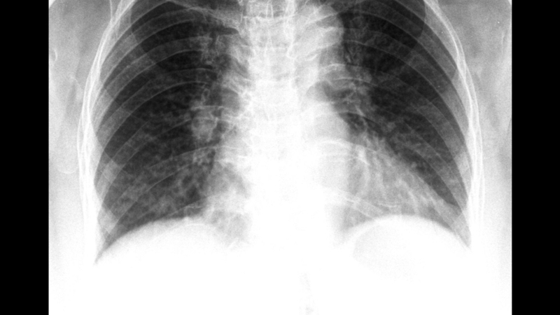
Chụp X quang bệnh viêm phổi do phế cầu là kỹ thuật sử dụng tia X để ghi lại hình ảnh phổi, giúp phát hiện các vùng phổi bị viêm, đặc biệt là hình ảnh đông đặc thùy phổi - dấu hiệu thường gặp trong viêm phổi do vi khuẩn phế cầu.
Viêm phổi do phế cầu (do vi khuẩn Streptococcus pneumoniae) thường gây tổn thương tập trung tại một thùy phổi. Trên phim X quang, bác sĩ có thể nhận thấy:
Những đặc điểm này giúp phân biệt viêm phổi do phế cầu với viêm phổi do virus (thường tổn thương lan tỏa hai bên phổi). Viêm phổi thùy là hình thái kinh điển của viêm phổi do phế cầu và X quang ngực là công cụ đầu tay trong chẩn đoán.

Chụp X quang không phải lúc nào cũng cần thiết cho mọi trường hợp ho hoặc cảm lạnh. Tuy nhiên, bác sĩ sẽ cân nhắc chỉ định khi người bệnh có các dấu hiệu sau:
Chụp X quang giúp:
Viêm phổi là nguyên nhân hàng đầu gây tử vong ở trẻ em dưới 5 tuổi trên toàn cầu. Trong nhiều trường hợp, chẩn đoán sớm nhờ X quang và điều trị đúng kháng sinh giúp giảm đáng kể nguy cơ biến chứng.

Đây là câu hỏi nhiều gia đình quan tâm khi được thông báo kết quả phim chụp.
Đây là dạng viêm phổi thùy điển hình với các đặc điểm:
Viêm phổi do virus thường có hình ảnh khác biệt như:
Một số loại vi khuẩn khác có thể gây hình ảnh nhẹ và rải rác hơn, bao gồm:
Việc phân biệt này rất quan trọng vì hướng điều trị sẽ khác nhau. Tuy nhiên, X quang chỉ là một phần trong chẩn đoán. Bác sĩ còn dựa vào triệu chứng lâm sàng, xét nghiệm máu và đôi khi xét nghiệm đờm để xác định chính xác nguyên nhân.

Nhiều phụ huynh lo lắng về tia X, đặc biệt khi trẻ nhỏ được chỉ định chụp. Thực ra, chụp X quang phổi là kỹ thuật an toàn nếu thực hiện đúng chỉ định và tại cơ sở y tế đạt chuẩn.
Lượng tia X trong một lần chụp ngực rất thấp. Các cơ sở y tế hiện nay đều sử dụng thiết bị hiện đại, có che chắn bảo vệ các vùng nhạy cảm của cơ thể.
Tuy nhiên:
Theo khuyến cáo của các tổ chức y tế quốc tế, lợi ích của việc chẩn đoán đúng và kịp thời viêm phổi thường lớn hơn nhiều so với nguy cơ rất nhỏ từ tia X.
Sau khi được chẩn đoán viêm phổi do phế cầu và điều trị bằng kháng sinh, bác sĩ có thể yêu cầu chụp lại X quang trong các trường hợp:
Chụp X quang giúp phát hiện sớm:
Ngoài ra, phòng ngừa vẫn là yếu tố quan trọng nhất. Tiêm vắc xin phế cầu được Bộ Y tế Việt Nam và WHO khuyến nghị cho trẻ nhỏ, người cao tuổi và người có bệnh nền, giúp giảm đáng kể nguy cơ mắc viêm phổi nặng.

Chụp X quang viêm phổi do phế cầu là phương pháp quan trọng giúp bác sĩ chẩn đoán chính xác, đánh giá mức độ tổn thương và theo dõi hiệu quả điều trị. Hình ảnh điển hình là vùng đông đặc tại một thùy phổi, giúp phân biệt với các dạng viêm phổi khác. Gia đình người bệnh nên yên tâm khi được chỉ định chụp X quang, vì đây là kỹ thuật an toàn và mang lại lợi ích lớn trong phát hiện sớm biến chứng. Tuy nhiên, mọi quyết định điều trị và theo dõi cần được thực hiện theo hướng dẫn của bác sĩ chuyên khoa.
Dược sĩ Đại họcNguyễn Mỹ Huyền
Dược sĩ Đại học có nhiều năm kinh nghiệm trong việc tư vấn Dược phẩm và hỗ trợ giải đáp thắc mắc về Bệnh học. Hiện đang là giảng viên cho Dược sĩ tại Nhà thuốc Long Châu.