:format(webp)/khi_nao_can_dieu_tri_tuy_rang_cac_dau_hieu_nhan_biet_som_5795faac27.jpg)
Khi nào cần điều trị tủy răng là câu hỏi được nhiều người quan tâm khi xuất hiện các cơn đau nhức kéo dài hoặc răng bị tổn thương sâu. Việc phát hiện đúng thời điểm sẽ giúp nâng cao cơ hội bảo tồn răng thật và hạn chế biến chứng nguy hiểm cho sức khỏe răng miệng.
:format(webp)/quy_trinh_lay_tuy_rang_5_buoc_chuan_y_khoa_va_cach_cham_soc_an_toan_2_86f5b4328d.jpg)
Nhiều người thường chỉ quan tâm đến sức khỏe răng miệng khi răng bị đau nhức kéo dài, khiến việc ăn uống và sinh hoạt hằng ngày trở nên khó khăn. Quy trình lấy tủy răng trong trường hợp này là phương pháp điều trị cần thiết, giúp loại bỏ phần tủy bị viêm hoặc hoại tử, giảm đau rõ rệt, hạn chế biến chứng và giữ lại răng thật một cách tối đa.
:format(webp)/thuoc_diet_tuy_chua_thach_tin_am_tham_luu_hanh_canh_bao_rui_ro_suc_khoe_cong_dong_1_8eb6daee64.png)
Cơ quan Cảnh sát điều tra Công an TP. HCM vừa triệt phá đường dây sản xuất, mua bán trái phép thuốc diệt tủy chứa thạch tín, với hơn 3.000 hộp đã được bán cho nhiều cơ sở nha khoa trên cả nước. Giới chuyên môn cảnh báo việc sử dụng chất độc này tiềm ẩn nguy cơ nghiêm trọng đối với sức khỏe người bệnh và cộng đồng.
:format(webp)/lay_tuy_rang_mat_bao_lau_thoi_gian_thuc_te_va_cac_yeu_to_anh_huong_7d75c48284.jpg)
Lấy tủy răng là thủ thuật nha khoa phổ biến giúp loại bỏ mô viêm, cứu răng và giảm đau. Nhiều độc giả đặt câu hỏi: Lấy tủy răng mất bao lâu? Bài viết hôm nay của Nhà thuốc Long Châu sẽ giúp bạn đọc giải đáp thắc mắc này một cách chi tiết nhất.
:format(webp)/lay_tuy_rang_va_nhung_thong_tin_can_biet_truoc_khi_thuc_hien_3_f61d613c0b.jpg)
Lấy tủy răng là giải pháp điều trị các vấn đề về tủy răng, nhằm loại bỏ phần mô tủy răng bị viêm nhiễm, chết hoặc hoại tử. Việc hiểu rõ về nguyên tắc và quy trình điều trị tủy răng sẽ giúp bạn cảm thấy phần nào an tâm hơn khi thực hiện phương pháp này.
:format(webp)/bai_viethoai_tu_tuy_rang_co_nguy_hiem_khong_dieu_tri_va_phong_ngua_ra_sao_html_063afa8fe3.png)
Hoại tử tủy răng là vấn đề nghiêm trọng nhưng có thể kiểm soát hiệu quả nếu được điều trị và phòng ngừa đúng cách. Khi phát hiện dấu hiệu bất thường, bạn nên đến bác sĩ chuyên khoa ngay để được tư vấn và điều trị kịp thời.
:format(webp)/kham_va_dieu_tri_lay_tuy_rang_co_duoc_bao_hiem_khong_7e8f8ab500.jpg)
Khi răng bị hư tủy, phương pháp lấy tủy răng giúp bảo vệ răng khỏi sự viêm nhiễm và tổn thương nghiêm trọng, đồng thời giữ được răng tự nhiên mà không cần phải nhổ bỏ. Tuy nhiên chi phí lấy tủy răng khiến nhiều bệnh nhân e ngại thực hiện và thắc mắc rằng lấy tủy răng có được bảo hiểm không?
:format(webp)/lay_tuy_rang_sua_co_nguy_hiem_khong_1_9b29d6aed1.jpg)
Lấy tủy răng sữa có nguy hiểm không là một vấn đề mà rất nhiều phụ huynh quan tâm. Viêm tủy răng ảnh hưởng nghiêm trọng đến sức khỏe răng miệng của trẻ, gây đau nhức kéo dài dẫn đến nhiều biến chứng nguy hiểm khác.
:format(webp)/chua_tuy_rang_co_dau_khong_va_ai_nen_chua_tuy_rang_Cropped_76c0a44cd1.jpg)
Chữa tuỷ răng có đau không là một vấn đề được nhiều bệnh nhân có vấn đề về răng miệng quan tâm. Vậy khi nào thì cần chữa tuỷ răng và chữa tuỷ răng có đau không? Hãy cùng Nhà thuốc Long Châu tìm hiểu qua bài viết dưới đây nhé!
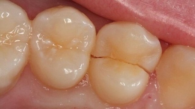
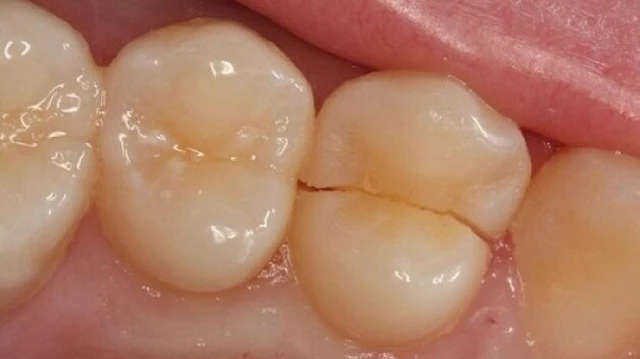
:format(webp)/smalls/rang_lay_tuy_bi_vo_nguyen_nhan_va_phuong_phap_dieu_tri_1_1_47f835cc7f.jpg)
Tủy răng được ví như trái tim của răng bởi nó là nguồn duy trì sự tồn tại và chắc khỏe cho răng. Tình trạng răng lấy tủy bị vỡ diễn ra ngày càng phổ biến, khiến người mắc phải cảm thấy lo lắng, không biết nguyên nhân là do đâu và phương pháp để điều trị ra sao? Cùng tìm hiểu qua bài viết dưới đây.