:format(webp)/cach_dieu_tri_xo_phoi_phuong_phap_tien_tien_va_cach_quan_ly_benh_hieu_qua_b8bbb7f3b3.png)
Xơ phổi là một căn bệnh mạn tính nguy hiểm, đặc trưng bởi sự hình thành các mô sẹo trong phổi, làm suy giảm nghiêm trọng chức năng hô hấp. Cách điều trị xơ phổi không chỉ tập trung vào việc làm chậm tiến triển của bệnh mà còn cải thiện chất lượng cuộc sống cho người bệnh.
:format(webp)/xo_phoi_co_chua_duoc_khong_cac_phuong_phap_dieu_tri_hien_nay_3_6c7da6e16a.png)
Xơ phổi là bệnh lý hô hấp mạn tính khiến nhiều người lo lắng bởi tiến triển âm thầm nhưng hậu quả lại rất nặng nề. Khi mô phổi dần bị xơ hóa và mất khả năng đàn hồi, việc hít thở trở nên khó khăn hơn từng ngày. Không ít người đặt câu hỏi: Xơ phổi có chữa được không và hiện nay y học có những phương pháp điều trị nào để kiểm soát bệnh? Hiểu đúng về hướng điều trị sẽ giúp người bệnh chủ động hơn trong quá trình chăm sóc sức khỏe và cải thiện chất lượng cuộc sống.
:format(webp)/bi_xo_phoi_co_nguy_hiem_khong_phuong_phap_dieu_tri_hien_nay_898b9bf25c.png)
Xơ phổi là bệnh lý hô hấp mạn tính đang ngày càng được quan tâm do ảnh hưởng nghiêm trọng đến sức khỏe và chất lượng cuộc sống. Tuy không lây nhiễm, bệnh có thể tiến triển âm thầm và gây nhiều biến chứng nguy hiểm nếu không được phát hiện sớm. Vậy bệnh xơ phổi có nguy hiểm không?
:format(webp)/thuoc_do_ai_thiet_ke_cho_thay_trien_vong_cho_benh_nhan_xo_phoi_trong_thu_nghiem_lam_sang_0_b3d25329ca.png)
AI có thể quét hàng ngàn bệnh án chỉ trong vài giây và hiểu được những mối liên hệ phức tạp giữa các dữ liệu y học. Điều này giúp bác sĩ rút ngắn thời gian và nâng cao độ chính xác trong công việc. Hơn nữa, AI còn được tích hợp vào quá trình nghiên cứu thuốc nhằm tăng tốc độ phát triển dược phẩm mới.
:format(webp)/trieu_chung_xo_phoi_dau_hieu_nhan_biet_va_cach_phong_ngua_benh_1_9515c4a4c1.png)
Xơ phổi là một bệnh lý nghiêm trọng ảnh hưởng đến chức năng hô hấp, gây ra nhiều khó khăn trong sinh hoạt hàng ngày. Việc nhận biết sớm các triệu chứng xơ phổi có vai trò quan trọng trong việc điều trị và cải thiện chất lượng cuộc sống. Hãy cùng Nhà Thuốc Long Châu tìm hiểu những triệu chứng phổ biến và cách phòng ngừa căn bệnh này.
:format(webp)/xo_phoi_1_3_la_gi_nguyen_nhan_trieu_chung_va_chan_doan_xo_phoi_1_3_394507ab2a.jpg)
Xơ phổi 1/3 là tình trạng bệnh lý khá nguy hiểm, đặc biệt nghiêm trọng nếu không được phát hiện và điều trị sớm. Tuy nhiên, thực tế cho thấy, không phải ai cũng biết xơ phổi 1/3 là gì? Bài viết hôm nay của Nhà thuốc Long Châu sẽ giúp bạn đọc hiểu rõ hơn về tình trạng bệnh lý này.
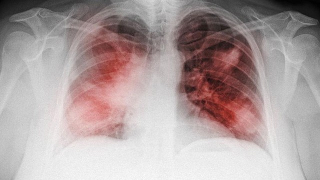
:format(webp)/chup_x_quang_xo_phoi_giai_phap_chan_doan_som_nhung_dau_hieu_bat_thuong_ve_benh_1_ec0fe169b9.png)
Xơ phổi là một tình trạng y tế nghiêm trọng, xảy ra khi mô phổi bị tổn thương và thay đổi cấu trúc dẫn đến việc mất khả năng cung cấp oxy hiệu quả cho cơ thể. Một trong những phương pháp phổ biến và hiệu quả nhất trong việc phát hiện bệnh là chụp X-quang xơ phổi. Hãy cùng Nhà Thuốc Long Châu tìm hiểu về thông tin này trong bài viết dưới đây.
:format(webp)/xo_phoi_co_phai_ung_thu_khong_hieu_dung_de_dieu_tri_hieu_qua_efc0c83a5b.jpg)
Xơ phổi và ung thư phổi là hai bệnh lý nghiêm trọng liên quan đến hệ hô hấp, nhưng chúng thường bị nhầm lẫn với nhau do có nhiều triệu chứng tương đồng. Vậy xơ phổi có phải ung thư không? Hiểu rõ sự khác biệt giữa hai căn bệnh này là điều quan trọng để có thể chẩn đoán và điều trị kịp thời. Bài viết này sẽ giúp bạn phân biệt xơ phổi và ung thư phổi, đồng thời cung cấp những thông tin cần thiết về nguyên nhân và các biện pháp điều trị hiệu quả.
:format(webp)/thuoc_chong_xo_phoi_hieu_ro_ve_loi_ich_va_tac_dung_phu_cua_thuoc_88b7400307.jpg)
Xơ phổi, một tình trạng y tế nghiêm trọng, khiến các mô phổi dần cứng lại và mất chức năng. May mắn thay, các phương pháp điều trị hiện đại bao gồm thuốc chống xơ phổi như Pirfenidone và Nintedanib đã mang lại hy vọng mới cho những người bị ảnh hưởng. Bài viết này sẽ giới thiệu về các loại thuốc này, cơ chế hoạt động và lợi ích mà chúng đem lại, giúp người bệnh kiểm soát tốt hơn tình trạng sức khỏe của mình.
:format(webp)/hieu_ro_ve_xo_rai_rac_2_phoi_nguyen_nhan_trieu_chung_va_huong_dieu_tri_4f1768505b.jpg)
Xơ rải rác 2 phổi là một bệnh lý phổi nghiêm trọng, ảnh hưởng đến chất lượng sống của nhiều người. Trong bài viết này, Nhà thuốc Long Châu sẽ đề cập đến các yếu tố nguy cơ, triệu chứng, phương pháp chẩn đoán và điều trị hiệu quả cho bệnh xơ rải rác 2 phổi.