Tốt nghiệp Đại học Dược Hà Nội, với hơn 10 năm kinh nghiệm trong lĩnh vực Dược phẩm. Hiện là giảng viên giảng dạy các môn Dược lý, Dược lâm sàng,...
Thị Ánh
19/06/2025
Mặc định
Lớn hơn
Xơ phổi là một tình trạng y tế nghiêm trọng, xảy ra khi mô phổi bị tổn thương và thay đổi cấu trúc dẫn đến việc mất khả năng cung cấp oxy hiệu quả cho cơ thể. Một trong những phương pháp phổ biến và hiệu quả nhất trong việc phát hiện bệnh là chụp X-quang xơ phổi. Hãy cùng Nhà Thuốc Long Châu tìm hiểu về thông tin này trong bài viết dưới đây.
Xơ phổi là một tình trạng bệnh lý nghiêm trọng khi mô phổi bị tổn thương và xơ hóa dẫn đến sự suy giảm chức năng hô hấp. Để phát hiện sớm và quản lý bệnh hiệu quả chụp X-quang đóng vai trò vô cùng quan trọng trong việc chẩn đoán. Trong bài viết này, chúng ta sẽ cùng tìm hiểu về quy trình, lợi ích và vai trò của chụp X-quang xơ phổi trong việc phát hiện và điều trị bệnh giúp người bệnh nhận thức được tầm quan trọng của việc kiểm tra sức khỏe phổi định kỳ.
Chụp X-quang xơ phổi là một kỹ thuật hình ảnh y tế sử dụng tia X để tạo ra các bức ảnh chi tiết của cấu trúc bên trong phổi. Phương pháp này giúp bác sĩ quan sát các dấu hiệu tổn thương mô phổi như các vết xơ, sẹo hoặc sự thay đổi hình dạng của phổi.
Khi thực hiện chụp X-quang, tia X được chiếu qua cơ thể và ghi lại hình ảnh của phổi trên một phim hoặc màn hình máy tính cho phép bác sĩ phát hiện sớm các vấn đề tiềm ẩn trong phổi chẳng hạn như tình trạng xơ hóa. Những hình ảnh này không chỉ giúp bác sĩ đánh giá tình trạng sức khỏe của phổi mà còn xác định mức độ tổn thương từ đó đưa ra phương pháp điều trị phù hợp để ngăn ngừa các biến chứng nguy hiểm.
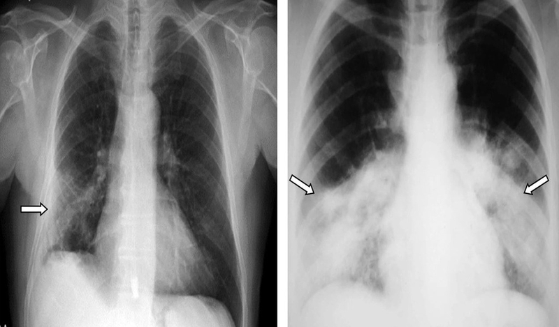
Trong hình ảnh X-quang, một trong những dấu hiệu điển hình của xơ phổi là sự xuất hiện của xơ dạng lưới hoặc dạng tổ ong. Những mô sẹo này hình thành tại nhu mô phổi dẫn đến sự thay đổi hình dạng của phổi và giảm khả năng trao đổi khí. Hình ảnh tổ ong thể hiện các vùng phổi bị tổn thương với các khoang trống hoặc không đều, do sự xơ hóa gây ra. Điều này thường báo hiệu sự tiến triển của bệnh xơ phổi khiến việc phát hiện và điều trị sớm trở nên vô cùng quan trọng.

Việc phát hiện sớm xơ phổi rất quan trọng, bởi vì bệnh có thể tiến triển mà không có triệu chứng rõ ràng trong giai đoạn đầu. Chính vì vậy, chụp X-quang xơ phổi là một phương pháp hữu hiệu để phát hiện bệnh sớm giúp bác sĩ chẩn đoán và đưa ra phương pháp điều trị kịp thời. Vậy khi nào người bệnh nên thực hiện chụp X-quang xơ phổi?
Khó thở là một trong những triệu chứng phổ biến của xơ phổi. Nếu bạn cảm thấy khó thở khi thực hiện các công việc nhẹ nhàng hoặc thậm chí khi nghỉ ngơi điều này có thể là dấu hiệu của tổn thương phổi. Trong trường hợp này, bác sĩ có thể chỉ định chụp X-quang để kiểm tra tình trạng phổi và phát hiện các dấu hiệu của xơ phổi.
Ho kéo dài, đặc biệt là ho khan không có đờm có thể là một triệu chứng của xơ phổi. Nếu tình trạng ho không cải thiện dù bạn đã điều trị bằng thuốc đây là dấu hiệu mà bạn không nên bỏ qua. Chụp X-quang sẽ giúp phát hiện các tổn thương trong mô phổi chẳng hạn như các vùng xơ hóa hoặc các vết sẹo từ đó hỗ trợ chẩn đoán bệnh.

Nếu bạn có tiền sử tiếp xúc với các yếu tố nguy cơ gây tổn thương phổi chẳng hạn như khói thuốc, bụi mịn, hóa chất hoặc môi trường làm việc có nhiều độc tố bạn nên thực hiện chụp X-quang phổi định kỳ. Những yếu tố này có thể làm tăng nguy cơ mắc xơ phổi và việc kiểm tra định kỳ sẽ giúp phát hiện bệnh sớm.
Nếu trong gia đình bạn có người mắc các bệnh về phổi, đặc biệt là xơ phổi bạn cũng nên thực hiện chụp X-quang phổi để tầm soát bệnh. Bởi lẽ, xơ phổi có thể có yếu tố di truyền và việc phát hiện bệnh sớm sẽ giúp bạn giảm nguy cơ mắc bệnh hoặc kiểm soát bệnh hiệu quả hơn.
Đôi khi, bạn có thể không cảm thấy bất kỳ triệu chứng nào nhưng bác sĩ vẫn có thể chỉ định chụp X-quang phổi nếu có lý do nghi ngờ về tình trạng sức khỏe của bạn. Chẳng hạn, nếu bạn có bệnh lý nền như viêm phế quản mãn tính hoặc các bệnh lý hô hấp khác bác sĩ có thể yêu cầu thực hiện chụp X-quang để kiểm tra sự thay đổi trong cấu trúc của phổi.
Với những bệnh nhân đã được chẩn đoán mắc xơ phổi, chụp X-quang phổi sẽ được sử dụng như một phương pháp theo dõi sự tiến triển của bệnh. Hình ảnh X-quang giúp bác sĩ đánh giá sự thay đổi trong cấu trúc phổi kiểm tra xem có sự tiến triển của bệnh hoặc các biến chứng mới hay không. Điều này rất quan trọng trong việc điều chỉnh phác đồ điều trị và cải thiện chất lượng cuộc sống cho bệnh nhân.

Kết quả của một bức ảnh X-quang có thể cho thấy nhiều dấu hiệu bất thường từ những tổn thương nhỏ đến những vấn đề nghiêm trọng. Đối với bệnh nhân bị xơ phổi kết quả X-quang có thể bao gồm các đặc điểm sau:
Kết quả chụp X-quang sẽ cung cấp những thông tin quan trọng về tình trạng của phổi từ đó giúp bác sĩ đưa ra quyết định điều trị chính xác. Tuy nhiên, để đạt được hiệu quả chẩn đoán cao việc đọc kết quả X-quang cần được thực hiện bởi các bác sĩ có chuyên môn và kinh nghiệm đồng thời kết hợp với các phương pháp chẩn đoán khác để đưa ra kết luận cuối cùng.

Chụp X-quang xơ phổi là một công cụ quan trọng trong việc phát hiện và chẩn đoán sớm các bệnh lý liên quan đến phổi. Đây là phương pháp đơn giản nhanh chóng và hiệu quả giúp bác sĩ đưa ra chẩn đoán chính xác từ đó có biện pháp điều trị kịp thời. Cuối cùng, chúc bạn sức khỏe và nhớ theo dõi Nhà Thuốc Long Châu để cập nhật thêm tin tức mới nhé!
Dược sĩ Đại họcNguyễn Thanh Hải
Tốt nghiệp Đại học Dược Hà Nội, với hơn 10 năm kinh nghiệm trong lĩnh vực Dược phẩm. Hiện là giảng viên giảng dạy các môn Dược lý, Dược lâm sàng,...