Tốt nghiệp Khoa Dược trường Đại học Nam Cần Thơ. Có nhiều năm kinh nghiệm công tác trong lĩnh vực Dược phẩm. Hiện đang giảng viên cho Dược sĩ tại Nhà thuốc Long Châu.
Thanh Hương
24/01/2025
Mặc định
Lớn hơn
Bọc răng sứ là giải pháp thẩm mỹ được nhiều người lựa chọn để cải thiện hàm răng và nụ cười. Tuy nhiên, nhiều người vẫn còn băn khoăn liệu làm răng sứ có tốt không? Nếu có chung thắc mắc, bài viết này sẽ giúp bạn giải đáp rõ.
Để sở hữu một hàm răng trắng sáng, đều đẹp và nụ cười thẩm mỹ, nhiều người đã lựa chọn phương pháp bọc răng sứ. Tuy nhiên, bên cạnh những ưu điểm, bọc răng sứ cũng tiềm ẩn một số hạn chế nhất định. Chính điều này khiến không ít người còn băn khoăn làm răng sứ có tốt không? Cùng Nhà thuốc Long Châu đi tìm lời giải qua bài viết này bạn nhé!
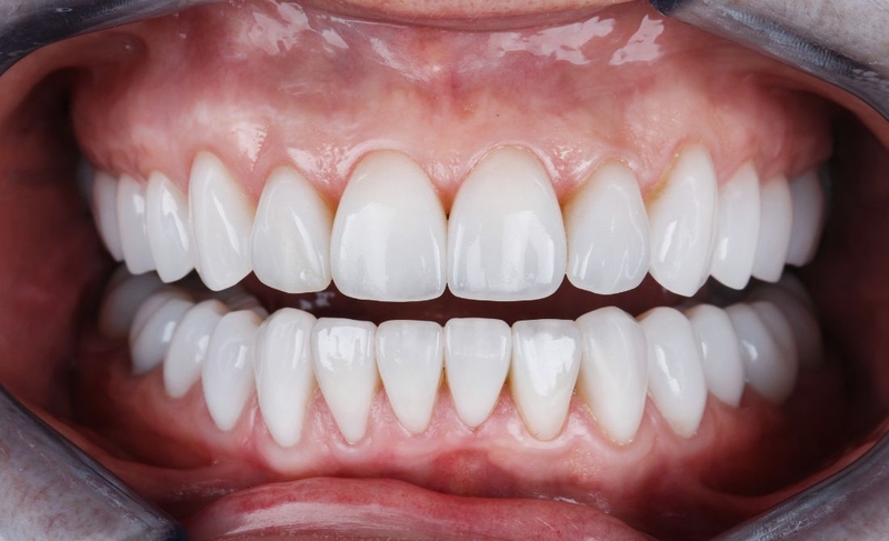
Bọc răng sứ thẩm mỹ là một phương pháp nha khoa thẩm mỹ ngày càng phổ biến. Nó giúp khắc phục nhiều khuyết điểm của răng tự nhiên và mang đến một hàm răng đều đẹp, trắng sáng. Muốn biết làm răng sứ có tốt không, chúng ta sẽ cùng tìm hiểu chi tiết ưu điểm của phương pháp này.
Một trong những ưu điểm lớn nhất của việc làm răng sứ là khả năng cải thiện đáng kể tính thẩm mỹ của hàm răng. Răng sứ được chế tạo với màu sắc tự nhiên, giúp răng đều màu, trắng sáng hơn. Đồng thời, răng sứ cũng có thể khắc phục các khuyết điểm như răng ố vàng, sứt mẻ, răng thưa, tạo nên một nụ cười tự tin, thu hút.
Bên cạnh đó, răng sứ còn có vai trò quan trọng trong việc bảo vệ răng và phục hồi chức năng ăn nhai. Với độ cứng cao, răng sứ có khả năng chịu lực tốt, giúp bảo vệ răng khỏi các tác động bên ngoài như va chạm, mài mòn. Đặc biệt, răng sứ còn được sử dụng để phục hình răng bị mất. Từ đó chúng giúp khôi phục lại chức năng ăn nhai và đảm bảo tính thẩm mỹ cho khuôn mặt.

Không chỉ vậy, răng sứ còn giúp khắc phục tình trạng răng yếu, dễ vỡ. Bằng cách bao bọc toàn bộ bề mặt răng, răng sứ tạo thành một lớp bảo vệ chắc chắn, giúp răng trở nên cứng cáp hơn. Điều này đặc biệt hữu ích đối với những người bị mòn men răng hoặc sâu răng. Theo một nghiên cứu của Hiệp hội Nha khoa Hoa Kỳ (ADA), việc bọc răng sứ có thể kéo dài tuổi thọ của răng lên đến 10 năm hoặc hơn nếu được chăm sóc đúng cách.
Bọc răng sứ có hại không là vấn đề được nhiều người quan tâm. Một trong những nhược điểm lớn nhất của phương pháp này là việc phải mài cùi răng thật để tạo chỗ cho mão sứ. Quá trình mài răng sẽ làm ảnh hưởng đến cấu trúc răng tự nhiên, khiến răng trở nên yếu hơn và dễ bị tổn thương hơn. Ngoài ra, sau khi mài răng, bạn có thể cảm thấy ê buốt, nhạy cảm, đặc biệt là khi ăn uống đồ nóng lạnh.
Một rủi ro khác có thể xảy ra sau khi làm răng sứ là các biến chứng như răng sứ bị bong, vỡ. Điều này có thể do lực tác động quá mạnh lên răng, kỹ thuật chế tạo răng sứ không đảm bảo, hoặc do chăm sóc răng miệng không đúng cách.
Ngoài ra, một số người có thể gặp phải tình trạng viêm lợi, hôi miệng hoặc dị ứng với vật liệu làm răng. Viêm lợi thường xảy ra khi không vệ sinh răng miệng đúng cách hoặc do vi khuẩn xâm nhập vào khe hở giữa răng và nướu. Dị ứng với vật liệu làm răng là một tình trạng hiếm gặp nhưng có thể gây ra các triệu chứng như ngứa, sưng, đỏ.

Tuy nhiên bạn cũng không cần quá lo lắng làm răng sứ có tốt không và nguy cơ biến chứng có cao không Vì theo một nghiên cứu của Hiệp hội Nha khoa Hoa Kỳ (ADA), tỷ lệ thành công của việc làm răng sứ rất cao khi được thực hiện bởi các nha sĩ có kinh nghiệm và tại các cơ sở nha khoa uy tín.
Trên thị trường hiện nay có rất nhiều loại răng sứ với những đặc điểm và ưu nhược điểm khác nhau. Việc lựa chọn loại răng sứ phù hợp phụ thuộc vào nhiều yếu tố như tình trạng răng miệng, khả năng tài chính và mong muốn thẩm mỹ của mỗi người.

Làm răng sứ có tốt không phụ thuộc nhiều vào tay nghề của bác sĩ nha khoa. Việc làm răng sứ không chỉ đòi hỏi kỹ thuật cao mà còn cần đến sự tỉ mỉ và kinh nghiệm của nha sĩ. Do đó, việc lựa chọn một nha khoa uy tín là vô cùng quan trọng. Để có thể đưa ra quyết định đúng đắn, bạn nên cân nhắc một số tiêu chí sau:

Theo một khảo sát của Hiệp hội Nha khoa Việt Nam, hầu hết các bệnh nhân đều hài lòng với kết quả làm răng sứ khi lựa chọn những nha khoa uy tín và có bác sĩ giỏi.
Làm răng sứ có tốt không đến đây bạn đã biết rồi chứ? Bọc răng sứ là một phương pháp nha khoa hiệu quả để cải thiện thẩm mỹ răng miệng. Tuy nhiên, trước khi quyết định làm răng sứ, bạn nên cân nhắc kỹ lưỡng và lựa chọn cơ sở nha khoa uy tín.
Dược sĩ Đại họcNguyễn Thị Thảo Nguyên
Tốt nghiệp Khoa Dược trường Đại học Nam Cần Thơ. Có nhiều năm kinh nghiệm công tác trong lĩnh vực Dược phẩm. Hiện đang giảng viên cho Dược sĩ tại Nhà thuốc Long Châu.