• Thực phẩm chức năng

  • Dược mỹ phẩm

  • Thuốc

  • Chăm sóc cá nhân

  • Thiết bị y tế

  • Tiêm chủng

  • Bệnh & Góc sức khỏe

  • Hệ thống nhà thuốc

    1. /
    2. Góc sức khỏe/
    3. Phòng bệnh & Sống khoẻ

    Mắc giả mạc đau mắt đỏ có nguy hiểm không?

    21/06/2023

    Kích thước chữ

    Có rất nhiều người gặp phải tình trạng bệnh giả mạc đau mắt đỏ và khá thờ ơ cũng như chủ quan với nó. Vậy bệnh này có nguy hiểm không và nên điều trị như thế nào cho hợp lý và nhanh khỏi?

    Có rất nhiều người gặp phải tình trạng bệnh giả mạc đau mắt đỏ và khá thờ ơ cũng như chủ quan với nó. Vậy bệnh này có nguy hiểm không và nên điều trị như thế nào cho hợp lý và nhanh khỏi?

    Giả mạc đau mắt đỏ là bệnh gì?

    Về bản chất thì bệnh đau mắt đỏ chính là viêm kết mạc. Nó gồm có hai thể chính là viêm kết mạc – họng –hạch và viêm kết giác mạc. Khi một người bị viêm kết mạc - họng - hạch thì thường có những biểu hiện bệnh rất điển hình như: mắt đỏ ngàu, họng đau, ho, sờ thấy hạch nổi lên ở phía trước tai, dọc theo cổ…

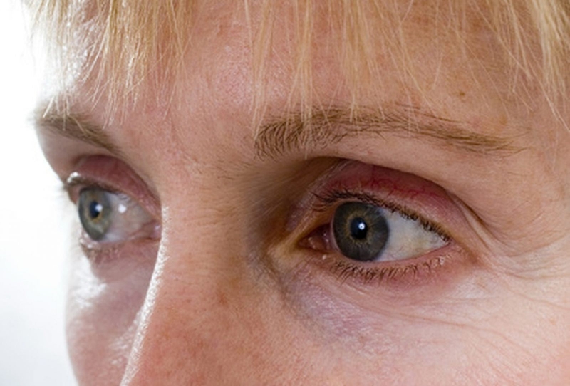
    Mắc giả mạc đau mắt đỏ có nguy hiểm không? 1GIả mạc đau mắt đỏ là một bệnh lý phổ biến hiện nay

    Thể viêm kết mạc chỉ có ở mắt và nó vừa tấn công vào kết mạc (lòng trắng mắt) khiến cho mắt đỏ và tấn công vào giác mạc (lòng đen) gây ra tình trạng viêm giác mạc, mắt bị đốm. Tình trạng này lây lan vô cùng mạnh mẽ và khiến người bệnh cực kì khó chịu, người tiếp xúc thông thường cũng hoàn toàn có thể mắc bệnh một cách dễ dàng và nhanh chóng thông qua đường hô hấp hay những tiếp xúc thông thường.

    Giả mạc đau mắt đỏ chính là giai đoạn kết thúc của bệnh đau mắt đỏ. Thông thường hiện tượng này thường khiến mọi người lo sợ vì khi xuất hiện giả mạc thì việc điều trị bệnh sẽ gặp nhiều khó khăn hơn. Chỉ những người mắc bệnh đau mắt đỏ nặng mới gặp phải tình trạng này và phải lật mi mắt lên mới nhìn thấy.

    Triệu chứng bệnh phổ biến

    Với những người gặp tình trạng giả mạc đau mắt đỏ thì ngay từ khi bệnh bắt đầu sẽ cảm thấy khó chịu sau đó mắt sẽ đỏ cộm lên và có ghèn mắt. Nước mắt chảy nhiều mà không kiểm soát được. Vào buổi sáng khi ngủ dậy hai mắt rất khó mở và nó bị dính lại do ghèn mắt. Điều này cực kì đau đớn và khó chịu đặc biệt là đối tượng trẻ nhỏ mắc phải.

    Mắc giả mạc đau mắt đỏ có nguy hiểm không? 2Ngay từ khi bệnh bắt đầu sẽ cảm thấy khó chịu sau đó mắt sẽ đỏ cộm lên và có ghèn mắt.

    Ghèn mắt có thể màu xanh, đục hoặc vàng tùy theo tác nhân gây nên bệnh giả mạc đau mắt đỏ ở người bệnh . Một số số trường hợp người bệnh bị bệnh nặng thì có thể gây ra viêm kết mạc có giả mạc.

    Nếu trong khoảng từ 3 - 5 ngày điều trị mà tình trạng bệnh này không thuyên giảm kèm theo đó là tình trạng mi mắt sưng mọng, có chảy dịch hồng như máu thì bạn đã bị giả mạc đau mắt đỏ. Khi có triệu chứng này thì cũng có nghĩa là tình trạng bệnh đã khá nặng cần điều trị sớm.

    Mắc giả mạc đau mắt đỏ có nguy hiểm không?

    Mắc giả mạc đau mắt đỏ có nguy hiểm không? 3Bệnh giả mạc đau mắt đỏ có diễn biến phức tạp và nếu như không được bóc thì chắc chắn bệnh sẽ có xu hướng kéo dài và lâu khỏi hơn rất nhiều.

    Khi một người mắc bệnh giả mạc đau mắt đỏ thì cũng chứng tỏ rằng mắt của người đó yếu, sức đề kháng không chống lại được những tác nhân gây bệnh từ bên ngoài. Bệnh sẽ có xu hướng nặng thêm cho tới khi nó bước vào giai đoạn thuyên giảm. Những trường hợp rất nặng mắt sẽ sưng rất nặng và kéo dài do giả mạc bít vào mặt sau mắt, thuốc không ngấm vào phía bên trong được.

    Bệnh có diễn biến phức tạp và nếu như không được bóc thì chắc chắn bệnh sẽ có xu hướng kéo dài và lâu khỏi hơn rất nhiều. Về cơ bản, những người bị sẽ không ảnh hưởng tới thị lực những nếu như không có phương pháp điều trị kịp thời và đúng thì cũng có thể để lại những biến chứng như sẹo hay suy giảm thị lực về sau do đó cần có cách chữa đau mắt đỏ hợp lý.

    Mắc giả mạc đau mắt đỏ có nguy hiểm không thì bạn đã có thể trả lời được rồi đúng không nào? Về cơ bản, bệnh này không phải là một bệnh lý quá nguy hiểm nhưng nếu không điều trị kịp thời thì chắc chắn bệnh sẽ khiến người bệnh cảm thấy đau đớn cũng như để lại những biến chứng không đáng có: sẹo, suy giảm thị lực.

    Diệu Linh

    Thông tin và sản phẩm gợi ý trong bài viết chỉ mang tính chất tham khảo, vui lòng liên hệ với Bác sĩ, Dược sĩ hoặc chuyên viên y tế để được tư vấn cụ thể. Xem thêm

    Dược sĩ Đại họcTrần Thị Dương

    Đã kiểm duyệt nội dung

    Tốt nghiệp Đại Học Dược Hà Nội và có nhiều kinh nghiệm trong lĩnh vực Dược phẩm. Nhiều năm công tác giảng dạy tại các trường trung cấp và cao đẳng dược. Hiện đang là giảng viên cho Dược sĩ tại Nhà thuốc Long Châu.

    Xem thêm thông tin
    Chủ đề:đau mắt đỏ