Tốt nghiệp Đại Học Dược Hà Nội - chuyên môn Dược lâm sàng. Hiện đang là giảng viên cho Dược sĩ tại Nhà thuốc Long Châu.
21/06/2023
Mặc định
Lớn hơn
Tìm hiểu những kiến thức y khoa về hội chứng polyp juvenile (JPS): Nguyên nhân, tính di truyền, sàng lọc chuẩn đoán và các nguy cơ liên quan đến bệnh.
Người ta ước tính rằng tỷ lệ mắc Hội chứng polyp juvenile (JPS) từ 1/16.000 đến 1/100.000 người. Vậy đó là gì?
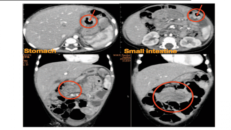
Hội chứng polyp juvenile (JPS) là một tình trạng di truyền đặc trưng bởi sự hiện diện của polyp hamartomatous trong đường tiêu hóa. Hamartomas là những khối u lành tính của mô bình thường được hình thành trong ruột hoặc những vị trí khác.
Hội chứng polyp juvenile (JPS)Những khối này được gọi là polyp khi chúng phát triển bên trong các cấu trúc cơ thể, chẳng hạn như ruột. Thuật ngữ “juvenile polyposis” đề cập đến một loại polyp (gọi là polyp juvenile) được phát hiện khi phân tích polyp dưới kính hiển vi, chứ không liên quan tới độ tuổi được chẩn đoán mắc JPS.
Đối với người mắc JPS, polyp thường phát triển trong độ tuổi 20 tuổi. Số lượng polyp mà một người có thể có trong đời dao động từ khoảng 5 đến hơn 100. Hầu hết các polyp đều lành tính (không ung thư), nhưng nó có thể làm tăng nguy cơ mắc ung thư đường tiêu hoá, chẳng hạn như ung thư dạ dày, ruột non, đại tràng và trực tràng trong các gia đình có JPS.
Nghi ngờ JPS khi các triệu chứng và tiền sử gia đình phù hợp với bất kỳ đặc điểm nào sau đây:
JPS là một bệnh lý di truyền. Điều này có nghĩa là nguy cơ mắc bệnh polyp và ung thư có thể được truyền từ thế hệ này sang thế hệ khác trong một gia đình. Các nghiên cứu cho thấy có 2 gen liên quan tới JPS là BMPR1A và SMAD4. Một đột biến (biến đổi) trong gen BMPR1A hoặc gen SMAD4 làm tăng khả năng phát triển polyp juvenile và ung thư đường tiêu hóa trong suốt cuộc đời. Không phải tất cả các gia đình mắc JPS đều có đột biến trong BMPR1A hoặc SMAD4. Các gen khác đang được nghiên cứu mối liên quan của chúng với JPS.
Thông thường, mỗi tế bào có 2 bản sao của mỗi gen: 1 được thừa hưởng từ mẹ và 1 từ bố. JPS tuân theo kiểu hình di truyền tính trộ trên NST thường, trong đó chỉ cần một đột biến xảy ra trong 1 bản sao của gen đã làm tăng nguy cơ mắc bệnh. Điều này có nghĩa là bố mẹ mang một đột biến gen có thể truyền cho con một bản sao của gen bình thường hoặc một bản sao của gen có đột biến. Do vậy, một đứa trẻ có bố mẹ bị đột biến có 50% khả năng thừa hưởng đột biến đó. Anh, chị em hoặc bố mẹ của người bị đột biến cũng có 50% khả năng mang đột biến tương tự. Tuy nhiên, nếu kết quả xét nghiệm của cha mẹ âm tính với đột biến, nguy cơ đối với anh chị em ruột giảm đáng kể nhưng nguy cơ của họ vẫn cao hơn mức trung bình.
Có những lựa chọn cho những người mong muốn có con khoẻ mạnh khi họ mang đột biến gen làm tăng nguy cơ mắc hội chứng ung thư di truyền này. Chẩn đoán di truyền tiền làm tổ (PGD) là một thủ thuật y khoa được thực hiện kết hợp với thụ tinh trong ống nghiệm (IVF).
Thủ thuật này cho phép những người đã biết mang một đột biến gen cụ thể giảm thiểu khả năng con cái họ bị di truyền đột biến này. Trong phương pháp này, trứng của người phụ nữ sẽ được lấy ra và thụ tinh trong phòng thí nghiệm. Khi phôi đạt đến một kích thước nhất định, 1 tế bào sẽ được tách ra và kiểm tra tình trạng di truyền. Sau đó, bố mẹ có thể chọn chuyển phôi không mang đột biến. PGD đã được sử dụng trong hơn 2 thập kỷ và được áp dụng cho một số hội chứng ung thư có khuynh hướng di truyền. Tuy nhiên, đây là một thủ thuật phức tạp với nhiều vấn đề cần xem xét trước khi bắt đầu như tài chính, thể chất và cảm xúc. Để biết thêm thông tin, hãy nói chuyện với chuyên gia hỗ trợ sinh sản tại phòng khám tư vấn sinh sản.
Chẩn đoán JPS được khẳng định nếu các triệu chứng và tiền sử gia đình phù hợp với bất kỳ tiêu chuẩn nào trong 3 tiêu chuẩn được liệt kê ở trên. Những người bị JPS có thể xét nghiệm máu để phát hiện đột biến gen BMPR1A hoặc gen SMAD4. Trong trường hợp tìm thấy một đột biến gen cụ thể, các thành viên khác trong gia đình cũng sẽ được chẩn đoán mắc JPS nếu kết quả xét nghiệm của họ có cùng đột biến tương tự.
Có thể có các gen khác liên quan đến JPS chưa được xác định, do vậy, nếu kết quả xét nghiệm máu trả về là âm tính (có nghĩa là không tìm thấy đột biến gen) thì cũng không thể khẳng định người đó không mắc JPS . Do đó, tham vấn chuyên gia di truyền được khuyến nghị cho những người có tiền sử gia đình mắc JPS hoặc có các triệu chứng gợi ý JPS.
Hầu hết các polyp đều lành tính nhưng nó có thể làm tăng nguy cơ mắc ung thư đường tiêu hoáNhững người mắc JPS được xem là có nguy cơ mắc ung thư đại trực tràng, dạ dày, ruột non và tụy. Ước tính về nguy cơ ung thư chung liên quan đến JPS là từ 9% đến 50%, nhưng chưa xác định được nguy cơ đối với từng loại ung thư cụ thể.
Những cá nhân mang đột biến gen SMAD4 có nguy cơ mắc bệnh giãn mạch mao xuất huyết di truyền (Hereditary Hemerrhagic Telangiectasia – HHT). Những người mắc HHT thường bị chảy máu cam và có nguy cơ bị phình động mạch và dị dạng mạch máu (AVMs) trong não và phổi.
Những người có số lượng lớn polyp không thể cắt bỏ trong khi nội soi có thể cần phải phẫu thuậtVì phương pháp sàng lọc khác nhau giữa mỗi người nên việc thảo luận với bác sĩ về các phương pháp sàng lọc sau đây là hết sức quan trọng:
Những hướng dẫn sàng lọc có thể thay đổi theo thời gian khi các công nghệ mới phát triển và hiểu biết nhiều hơn về JPS. Hãy thảo luận với nhóm chăm sóc sức khỏe về các xét nghiệm sàng lọc thích hợp.
Thủy Phan
Nguồn Tham Khảo: yhoccongdong.com
:format(webp)/KF_1b_LIQ_Tx_J_Pb27_Vsh90_QN_6b_Xz_OB_Jo_U_f0e2294e2e.png)
Dược sĩ Đại họcNguyễn Chí Chương
Tốt nghiệp Đại Học Dược Hà Nội - chuyên môn Dược lâm sàng. Hiện đang là giảng viên cho Dược sĩ tại Nhà thuốc Long Châu.