Tốt nghiệp Đại học Y Dược TP. Hồ Chí Minh. Có nhiều năm trong lĩnh vực dược phẩm. Hiện đang là giảng viên cho Dược sĩ tại Nhà thuốc Long Châu.
Thanh Hương
09/09/2025
Mặc định
Lớn hơn
Polyp túi mật là bệnh lý khá phổ biến và thường không gây nguy hiểm nếu kích thước nhỏ. Tuy nhiên, khi polyp phát triển lớn hơn, nguy cơ biến chứng, thậm chí ung thư túi mật có thể xảy ra. Vậy Polyp túi mật bao nhiêu thì phải cắt?
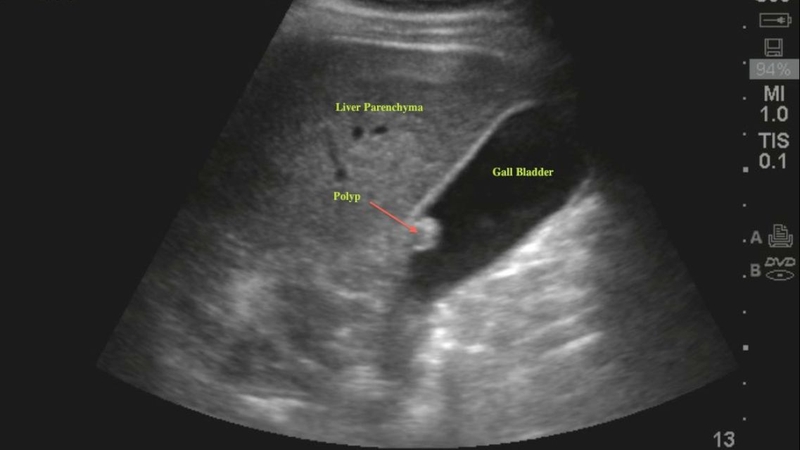
Polyp túi mật thường được phát hiện tình cờ khi siêu âm ổ bụng. Phần lớn các trường hợp polyp túi mật là lành tính, không gây triệu chứng rõ rệt. Tuy nhiên, nếu polyp phát triển với kích thước lớn hoặc có đặc điểm nghi ngờ, nguy cơ tiến triển thành ung thư túi mật sẽ tăng lên.
Vậy polyp túi mật bao nhiêu thì phải cắt? Bài viết sau sẽ giúp bạn hiểu rõ về ngưỡng kích thước cần phẫu thuật, cũng như cách theo dõi và xử trí an toàn, phù hợp.
Đây là câu hỏi rất phổ biến với người bệnh sau khi siêu âm phát hiện polyp túi mật. Theo hướng dẫn lâm sàng và thực hành hiện nay, việc quyết định phẫu thuật không chỉ dựa vào kích thước, mà còn phải đánh giá toàn diện qua nhiều yếu tố như hình dạng, tốc độ phát triển, triệu chứng và nguy cơ ác tính.
Cụ thể, với polyp nhỏ hơn 5mm, đa phần là polyp cholesterol lành tính, thường không gây triệu chứng và không cần phẫu thuật. Người bệnh chỉ cần theo dõi bằng siêu âm định kỳ mỗi 6 - 12 tháng, nhất là nếu không có yếu tố nguy cơ kèm theo.
Trường hợp polyp có kích thước từ 5 - 9mm, người bệnh cần được theo dõi sát hơn.
Dù đây chưa phải là ngưỡng tuyệt đối để chỉ định cắt, nhưng nếu kèm theo các yếu tố như: Tuổi trên 50, polyp đơn độc (chỉ có một cái), có cuống rộng, có sỏi túi mật, hoặc polyp tăng kích thước theo thời gian,… thì bác sĩ có thể cân nhắc mổ sớm để phòng ngừa nguy cơ tiến triển ác tính.
Khi polyp đạt kích thước từ 10mm trở lên, nguy cơ ung thư túi mật tăng lên rõ rệt. Lúc này, phẫu thuật cắt túi mật được chỉ định, ngay cả khi người bệnh chưa có triệu chứng.

Không phải trường hợp polyp túi mật nào cũng cần can thiệp phẫu thuật ngay. Tuy nhiên, có một số yếu tố nguy cơ khiến bác sĩ phải cân nhắc mổ sớm để phòng biến chứng nguy hiểm.
Polyp đơn độc, đặc biệt nếu có kích thước lớn hơn 5mm và kèm theo các đặc điểm hình thái nghi ngờ như không cuống, cuống rộng, bờ không đều,… sẽ được coi là có nguy cơ cao hơn và cần theo dõi sát hoặc can thiệp sớm.
Polyp túi mật bao nhiêu thì phải cắt cũng phụ thuộc vào việc nó có cuống hay không. Các polyp lành tính thường có cuống nhỏ, tròn đều, trong khi những polyp không cuống hoặc có cuống to, dính sát vào thành túi mật thường cần được theo dõi kỹ hoặc phẫu thuật.
Các triệu chứng lâm sàng rõ rệt như đau âm ỉ vùng hạ sườn phải, buồn nôn kéo dài, rối loạn tiêu hóa,... có thể là dấu hiệu cho thấy polyp không còn lành tính. Khi polyp gây ra triệu chứng, dù kích thước chưa đạt ngưỡng 10mm, việc mổ cắt túi mật vẫn nên được cân nhắc để tránh biến chứng.

Nếu bệnh nhân có cả polyp túi mật và sỏi túi mật, bác sĩ sẽ đánh giá tổng thể dựa trên triệu chứng lâm sàng, kích thước polyp, hình thái polyp và nguy cơ ác tính. Phẫu thuật được cân nhắc nếu sỏi gây triệu chứng hoặc polyp đạt kích thước từ 10mm trở lên hoặc có yếu tố nghi ngờ khác.
Người trên 50 tuổi, có bệnh lý gan mật mạn tính (như viêm gan, xơ gan), hoặc tiền sử gia đình từng mắc ung thư túi mật cũng được xếp vào nhóm nguy cơ cao. Với những đối tượng này, dù polyp có kích thước trung bình (5 - 9mm), bác sĩ vẫn có thể khuyến cáo mổ sớm để phòng ngừa ung thư phát triển âm thầm.
Polyp túi mật bao nhiêu thì phải cắt và yếu tố nguy cơ nào dẫn đến việc Polyp cần cắt sớm đến đây bạn đã biết. Nếu được chẩn đoán có polyp túi mật lớn nhưng không tiến hành phẫu thuật cắt bỏ, người bệnh có thể đối mặt với nhiều nguy cơ sức khỏe nghiêm trọng. Theo nghiên cứu, các polyp có kích thước từ 1cm trở lên có tỷ lệ tiến triển thành ung thư túi mật tăng cao rõ rệt.
Một trong những lo ngại lớn nhất khi không xử lý polyp túi mật là khả năng phát triển ung thư âm thầm. Ở giai đoạn đầu, ung thư túi mật rất khó phát hiện do bệnh thường không có triệu chứng rõ rệt.
Mặc dù siêu âm định kỳ giúp theo dõi hiệu quả sự phát triển của polyp túi mật, tuy nhiên, trong một số trường hợp hiếm, tổn thương ác tính có thể phát triển nhanh hoặc có đặc điểm khó phát hiện ở giai đoạn sớm. Do đó, cần kết hợp thăm khám chuyên khoa và theo dõi đầy đủ để giảm thiểu nguy cơ bỏ sót.

Ngoài nguy cơ ung thư, polyp túi mật lớn còn có thể gây ra tình trạng tắc nghẽn đường mật hoặc viêm túi mật cấp tính. Khi đó, người bệnh có thể bị đau bụng dữ dội, sốt, buồn nôn, thậm chí phải nhập viện cấp cứu.
Bên cạnh đó, polyp phát triển quá lớn cũng có thể ảnh hưởng tiêu hóa, khiến người bệnh thường xuyên cảm thấy đầy trướng, khó tiêu, đau tức vùng hạ sườn phải, gây bất tiện trong sinh hoạt hằng ngày.
Khi đã biết polyp túi mật bao nhiêu thì phải cắt, ngay cả khi polyp của bạn có kích thước nhỏ và nguy cơ không cao, bạn vẫn cần lưu ý những vấn đề sau:
Với những trường hợp polyp túi mật nhỏ dưới 10mm và không có dấu hiệu nghi ngờ ác tính, người bệnh cần được theo dõi định kỳ bằng siêu âm 3 - 6 tháng/lần hoặc theo đúng chỉ định của bác sĩ. Phương pháp siêu âm giúp đánh giá chính xác kích thước, hình thái và sự phát triển của polyp theo thời gian để kịp thời phát hiện bất thường.
Để giảm gánh nặng cho túi mật, người bệnh nên hạn chế ăn các thực phẩm nhiều dầu mỡ, đồ chiên rán và tăng cường bổ sung rau xanh, trái cây tươi, thực phẩm dễ tiêu hóa. Đồng thời, người bệnh cần tránh hoàn toàn rượu bia, thuốc lá vì đây là những yếu tố có thể làm tăng nguy cơ bệnh lý túi mật.

Người bệnh không nên tự ý sử dụng các loại thuốc hỗ trợ điều trị polyp túi mật chưa rõ nguồn gốc, không được bác sĩ chỉ định. Việc điều trị polyp túi mật cần tuân thủ đúng theo phác đồ và hướng dẫn của bác sĩ chuyên khoa để đảm bảo an toàn và hiệu quả.
Hy vọng những thông tin trên đây đã giúp bạn giải đáp được thắc mắc polyp túi mật bao nhiêu thì phải cắt. Không phải tất cả các trường hợp polyp túi mật đều cần phẫu thuật.
Tuy nhiên, khi kích thước polyp từ 10mm trở lên hoặc kèm theo các yếu tố nguy cơ như phát triển nhanh, hình thái bất thường, người bệnh nên chủ động cắt túi mật để phòng ngừa biến chứng nguy hiểm, đặc biệt là ung thư túi mật. Việc thăm khám định kỳ và tuân thủ chỉ định của bác sĩ đóng vai trò quan trọng giúp phát hiện sớm và xử lý kịp thời các trường hợp polyp nguy cơ cao.
Xem thêm:
Dược sĩ Đại họcNguyễn Vũ Kiều Ngân
Tốt nghiệp Đại học Y Dược TP. Hồ Chí Minh. Có nhiều năm trong lĩnh vực dược phẩm. Hiện đang là giảng viên cho Dược sĩ tại Nhà thuốc Long Châu.