Bảo Thanh
22/01/2026
Mặc định
Lớn hơn
Bọc răng sứ là một trong những phương pháp làm răng thẩm mỹ được nhiều người yêu thích. Tuy nhiên bọc răng sứ bị đen thì phải làm sao? Có những chú ý gì khi bọc răng sứ? Tất cả sẽ được giải đáp ở bài viết sau.
Việc làm răng sứ được cho sẽ giúp hàm răng thêm đều đặn và trắng sáng hơn từ đó cải thiện ngoại hình. Việc bọc răng sứ được nhiều người quan tâm và nhiều nha khoa uy tín ứng dụng hiện nay. Tuy nhiên nếu răng sứ bị đen thì phải làm sao? Cần lưu ý gì khi quyết định bọc răng sứ?
Bọc răng sứ là kỹ thuật nha khoa giúp nâng cao tính thẩm mỹ cho hàm răng và cải thiện được những khuyết điểm ở răng. Việc bọc răng sứ mang tính thẩm mỹ cao, độ bền răng cao, răng sứ không bị ố vàng.

Tuy nhiên hiện nay vẫn còn nhiều tranh cãi xung quanh việc bọc răng sứ. Vậy trước khi tìm hiểu về các vấn đề như răng sứ bị đen, bọc răng sứ gây tê răng ta cùng điểm qua một số loại răng sứ hiện có và ưu nhược điểm của chúng:
Việc bọc răng sứ đẹp, bền hay không phụ thuộc vào nhiều yếu tố. Nếu bạn sở hữu sức khoẻ răng miệng khá tốt, răng không bị sâu, sứt mẻ thì việc can thiệp bọc răng sứ đạt độ bền cao. Ngược lại nếu răng từng gặp chấn thương, mô răng còn lại ít hoặc đã lấy tủy thì độ bền của răng sẽ không cao.
Hầu hết tâm lý những người muốn bọc răng sứ đều muốn bản thân sở hữu một hàm răng trắng, đều, không khuyết điểm. Việc bọc răng sứ sẽ được thực hiện bằng cách mài nhỏ một phần của răng bị hư và chụp một khung răng sứ lên trên, từ đó tạo nên một lớp bọc chắn chắc cho răng thật.

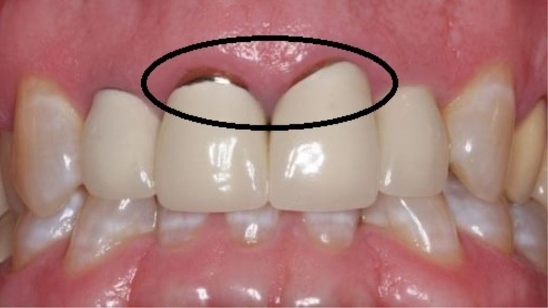
Tuy nhiên sau khi thực hiện bọc răng sứ, tại sao răng sứ lại bị đen lợi? Một số nguyên nhân sau có thể làm ảnh hưởng đến chân răng:
Vậy làm sao để khắc phục được tình trạng này, nên chọn loại răng sứ toàn sứ hoặc chọn chất liệu răng cao cấp để không bị oxi hoá. Bạn cũng phải tìm hiểu kỹ và tìm được địa chỉ nha khoa uy tín, có đội ngũ bác sĩ có chuyên môn giỏi, giàu kinh nghiệm cùng hệ thống thiết bị hiện đại để quá trình bọc răng sứ mang lại hiệu quả tốt nhất.
Sau khi tìm hiểu lý do răng sứ bị đen nướu, ta cùng tìm hiểu về cách chăm sóc răng miệng sau khi bọc sứ. Bên cạnh nên chọn nha khoa uy tín thì độ bền của răng sứ có độ cứng lâu bền hay không còn phụ thuộc vào thói quen ăn uống, vệ sinh hằng ngày:

Trên đây là những chia sẻ về vấn đề răng sứ bị đen nướu. Việc làm răng sứ có thể khắc phục được tình trạng răng thưa, răng xỉn màu, răng bị sứt mẻ. Tuy nhiên hãy tìm hiểu kỹ về sức khỏe răng miệng của bản thân, chọn đúng cơ sở thực hiện bọc răng sứ, ưu tiên chọn loại răng sứ có chất liệu tốt cũng như chủ động chăm sóc răng miệng sau khi bọc răng sứ thật khoa học. Hy vọng sau khi đọc xong bài viết, bạn hiểu hơn về phương pháp thẩm mỹ này và biết can thiệp cho phù hợp.