Tốt nghiệp Đại Học Dược Hà Nội - chuyên môn Dược lâm sàng. Hiện đang là giảng viên cho Dược sĩ tại Nhà thuốc Long Châu.
29/12/2024
Mặc định
Lớn hơn
Trong thời kỳ mang thai, điều mà mẹ bầu lo lắng nhất chính là con mình có đang phát triển khỏe mạnh không. Trong đó trường hợp thai 7 tuần có yolksac chưa có phôi thai khiến mẹ bầu bất an. Vậy vấn đề này có ảnh hưởng gì không?
Nhiều mẹ bầu thắc mắc thai 7 tuần có yolksac chưa có phôi thai liệu có nguy hiểm không? Trên thực tế thì vấn đề này còn phụ thuộc bởi nhiều nguyên nhân, để tìm hiểu kĩ hơn hãy cùng theo dõi bài viết dưới đây.
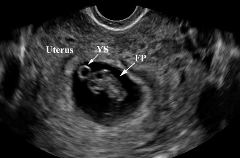
Yolksac hay còn được gọi là túi noãn hoàng, được cấu tạo bởi các nội bì thuộc phôi thai. Đây được coi là một cấu trúc hoàn chỉnh ban đầu của thai nhi. Thông thường, khi bước vào tuần thứ 5 của thai kỳ mẹ bầu sẽ phát hiện được có yolksac thông qua việc siêu âm.
Sự xuất hiện của yolksac còn được coi là sự chuẩn bị cho quá trình hình thành nhau thai ở những giai đoạn sau. Yolksac chứa các protein cần thiết giúp hình thành các tế bào đầu tiên của thai nhi, khi túi ối và phôi thai phát triển thì yolksac cũng tự động phát triển theo sau đó túi noãn hoàng sẽ biến thành cuống noãn hoàng và biến mất để nhường vị trí cho nhau thai.

Thai 7 tuần có yolksac chưa có phôi là thắc mắc đồng thời cũng là nỗi lo lắng của nhiều mẹ bầu. Vậy tình trạng này có gây ra nguy hiểm gì cho bé không?
Thực chất thì việc phát hiện phôi thai hay tim thai thông qua siêu âm không phụ thuộc hoàn toàn vào tình trạng sức khỏe của người mẹ hay sự hình thành, phát triển của thai nhi. Về cơ bản thì đến tuần thứ 7 của thai kỳ, phôi thai sẽ xuất hiện với kích thước khoảng 2mm sau đó theo thời gian nó sẽ to lớn hơn. Nhưng bên cạnh đó, có một số trường hợp khi mang thai đến tuần thứ 7 nhưng chỉ phát hiện có yolksac mà không thấy có phôi thai. Tình trạng này phụ thuộc bởi nhiều nguyên nhân có thể kể đến như: thai nhi phát triển chậm, tính nhầm tuổi thai, trứng bị trống...
Tuy nhiên thì mẹ bầu nên đến bác sĩ kiểm tra, thăm khám và điều trị một cách tốt nhất bởi nếu không thấy phôi thai thì rất có thể mẹ bầu sẽ gặp phải tình trạng sảy thai mà không hề hay biết.
Ngoài ra để nhận biết rõ hơn thì mẹ bầu cần theo dõi những những dấu hiệu của cơ thể để biết cách xử lý. Một số dấu hiệu nhận biết sảy thai, thai lưu do chưa có phôi như: mẹ bầu cảm thấy hết ốm nghén dù mới ở trong giai đoạn đầu thai kỳ, không cảm thấy đau ngực, đầy hơi, máu chảy ra nhiều và vùng bụng dưới có cảm giác đau dữ dội,... Nếu gặp phải những triệu chứng này thì mẹ bầu cần phải lập tức tới cơ sở y tế để được thăm khám và xác định tình trạng của bản thân.
Các mẹ bầu cũng cần phải chú ý đến vấn đề siêu âm khi có yolksac, bởi thường thì túi noãn hoàng chỉ dày từ 2 - 5mm, vậy nên nếu kích thước của túi noãn hoàng càng dày thì tỷ lệ hình thành phôi thai sẽ càng thấp. Điều này sẽ gây ra nguy hiểm đối với thai nhi và khả năng sảy thai sẽ cực kỳ cao. Chính vì thế, qua siêu âm mà phát hiện yolksac quá dày thì mẹ bầu cần nhờ đến sự hỗ trợ của bác sĩ để chăm sóc sức khỏe cũng như sử dụng các biện pháp can thiệp phù hợp để giữ lấy sự sống của thai nhi.
Mẹ bầu nên đến bác sĩ kiểm tra khi thai 7 tuần có yolksac chưa có phôi Để tránh những trường hợp xấu nhất xảy ra với bé, mẹ bầu cần tuân thủ những lưu ý trong suốt thời kỳ mang thai.
Cụ thể, việc khám định kỳ thường xuyên theo lịch hẹn của bác sĩ sẽ giúp mẹ bầu theo dõi được quá trình hình thành của thai nhi đồng thời phát hiện ra những điểm bất thường của bé. Các mẹ nên cởi mở trao đổi với bác sĩ về tình trạng cơ thể của bản thân khi có bất cứ một dấu hiệu nào khác thường bởi sức khỏe của người mẹ ảnh hưởng rất lớn tới sự phát triển của bé.
Bên cạnh đó, mẹ bầu cần chú ý đến chế độ ăn uống thật lành mạnh và khoa học. Việc này sẽ đóng vai trò quan trọng trong sự phát triển của bé. Mẹ bầu cần nạp nhiều chất dinh dưỡng cần thiết để bé được hấp thu và cơ thể dần hoàn thiện. Một điều quan trọng là cần tránh cho mẹ bầu làm việc nặng quá sức, không được nóng giận, cáu gắt mà hãy tạo cho mẹ bầu một tinh thần thoải mái, lạc quan, nhiều năng lượng để thai nhi không bị ảnh hưởng.
Chăm sóc sức khỏe tốt là phương pháp giúp mẹ bầu luôn khỏe mạnhThai 7 tuần có yolksac chưa có phôi có nguy hiểm hay không là còn ảnh hưởng bởi nhiều yếu tố. Tuy nhiên việc theo dõi, phát hiện và tìm cách chữa trị đóng vai trò quan trọng hàng đầu. Hãy thật chú ý trong thời điểm mang thai để cả mẹ và bé đều có một sức khỏe tốt nhất.
Lan Hương
Nguồn tham khảo: Tổng hợp
:format(webp)/KF_1b_LIQ_Tx_J_Pb27_Vsh90_QN_6b_Xz_OB_Jo_U_f0e2294e2e.png)
Dược sĩ Đại họcNguyễn Chí Chương
Tốt nghiệp Đại Học Dược Hà Nội - chuyên môn Dược lâm sàng. Hiện đang là giảng viên cho Dược sĩ tại Nhà thuốc Long Châu.