Tốt nghiệp Đại Học Dược Hà Nội - chuyên môn Dược lâm sàng. Hiện đang là giảng viên cho Dược sĩ tại Nhà thuốc Long Châu.
21/06/2023
Mặc định
Lớn hơn
Răng mọc quặp là tình trạng hiếm gặp, khiến không ít người gặp những trường hợp này cảm giác mất tự tin về hàm răng. Vậy có những cách nào chữa tình trạng răng mọc quặp không?
Răng quặp khiến bạn mất tự tin giao tiếp cũng như không có ánh nhìn thiện cảm với mọi người, vậy cùng tìm hiểu về răng quặp và các cách chữa răng quặp nha.
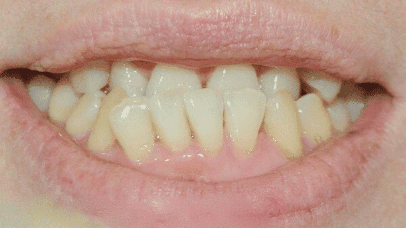
Răng mọc quặp là một dạng mọc bị sai lệch khớp cắn khiến các răng trên 2 hàm không thể thẳng hàng và sát khít với nhau. Có các trường hợp răng mọc quặp như là:
Răng mọc quặp là một dạng mọc bị sai lệch khớp cắn khiến các răng trên 2 hàm không thể thẳng hàngRăng quặp vào trong có phải ki bo không?
Đặc trưng của người răng quặp là rất cẩn thận, chi li, làm việc nhanh gọn, hoạt bát, có chí tiến thủ và cực kì thích khám phá những điều mới mẻ.
Họ thường phù hợp với những công việc hậu cần, thiên về tính toán và trong môi trường làm việc năng động, đòi hỏi sự tập trung cao.
Trong việc chi tiêu hằng ngày, họ rất biết tính toán nên mua những thứ gì là cần thiết cho bản thân. Nên mọi người sẽ thấy họ không dùng tiền hoang phí. Do đó, nhiều người thường nghĩ rằng người răng quặp ki bo và hà tiện.
Theo các chuyên gia thẩm mỹ thì răng quặp không đươc người khác đánh giá cao. Một hàm răng đều đẹp thẩm mỹ là phải có các khớp cắn chuẩn và trắng sáng. Dưới góc nhìn khoa học thì các chuyên gia có đưa ra nguyên nhân gây tình trạng răng mọc quặp này là:
Những hàm răng mọc quặp vào trong không chỉ làm ảnh hưởng đến cấu trúc gương mặt bạn mà còn làm suy yếu chức năng của khuôn hàm. Thậm chí gây ra những biến chứng nguy hiểm khác cho khớp cắn và khớp thái dương hàm nếu không được điều chỉnh sớm.
Việc các răng mọc quặp sẽ kéo theo khớp cắn 2 hàm bị lệch lạc khiến khả năng nhai nghiền thức ăn của toàn hàm từ đó sẽ bị suy giảm. Tình trạng này nếu duy trì lâu dài không điều chỉnh sẽ ảnh hưởng nghiêm trọng đến hệ tiêu hóa và có nguy cơ cao mắc các bệnh đường ruột, dạ dày.
Khi răng mọc quặp hay bị cụp vào trong cũng khiến việc làm vệ sinh làm sạch răng miệng trở nên khó khăn hơn bình thường, nhất là phần mặt trong của răng. Hậu quả dễ nhận thấy là gây ra các bệnh lý răng miệng như: viêm lợi, viêm nha chu, sâu răng, thậm chí là mất răng.
Khi răng bị quặp vào trong thì đồng thời phần khuôn cằm và môi cũng sẽ bị kéo vào trong. Điều này làm biến dạng các đường nét vốn có trên gương mặt từ đó làm khuôn mặt trở nên mất cân đối.
Niềng răng là giải pháp khắc phục các hàm răng xấu, các răng có vị trí mọc sai trên cung hàm rất hiệu quả. Tuy nhiên, nhiều người vẫn nghi vấn liệu răng mọc vào trong có niềng được không?
Các bác sĩ sẽ sử dụng các khí cụ chỉnh nha trong nha khoa và sẽ kéo các răng mọc lệch lạc về đúng vị trí mong muốn. Bạn hãy chủ động chữa răng quặp vào trong sớm, nặng hay nhẹ chỉ là vấn đề thời gian và nguồn tiền bạc.
Bạn hãy chủ động chữa răng quặp vào trong sớm, nặng hay nhẹ chỉ là vấn đề thời gian và nguồn tiền bạc.Tuy nhiên, giai đoạn tiền chỉnh nha thường nằm từ khoảng 10 – 15 tuổi mỗi người. Đây là thời điểm tốt nhất để tiến hành điều trị các vấn đề răng quặp.
Bởi ở giai đoạn này, vùng răng và xương hàm của bạn vẫn chưa ổn định nên việc uốn nắn cũng sẽ dễ dàng hơn. Thời gian niềng răng sẽ phụ thuộc vào các yếu tố sau: tình trạng răng miệng thực tế, độ tuổi, chế độ dinh dưỡng và chăm sóc sau khi niềng răng, cho nên thời gian sẽ vào khoảng từ 1 – 3 năm.
Ngoài việc cải thiện màu sắc và hình thể răng thì phương pháp bọc răng sứ cũng khắc phục được khớp cắn chuẩn cho hàm răng quặp vào trong rất hiệu quả.
Kỹ thuật bọc răng sứ được thực hiện bằng cách mài răng một phần rồi chụp mão sứ sao cho các răng sứ được đều và thẳng hàng.
Phương pháp bọc răng sứ cũng khắc phục được khớp cắn chuẩn cho hàm răng quặp vào trong rất hiệu quảƯu điểm của việc bọc răng sứ là sẽ cho các răng cửa bị quặp vào trong là thời gian điều trị ngắn, chỉ khoảng từ 2 – 4 ngày.
Do bị lệch khớp cắn cho nên phương pháp phẫu thuật cấy ghép xương hàm thường sẽ khắc phục tình trạng răng mọc quặp vào trong hoàn toàn, triệt để nhất. Nếu răng quặp ở hàm trên thì các bác sĩ sẽ đẩy xương hàm về phía trước sao cho chuẩn khớp cắn với hàm dưới. Với trường hợp răng bị quặp hàm dưới thì lại ngược lại.
Xét tổng thể 3 phương pháp chữa răng quặp trên thì niềng răng là phương pháp tối ưu nhất, dễ thực hiện nhất. Cách này vừa không ảnh hưởng, xâm lấn tới xương hàm mà còn bảo tồn được răng thật và không phải sử dụng dao kéo, tốn chi phí hơn.
Thanh Hoa
/https://cms-prod.s3-sgn09.fptcloud.com/KF_1b_LIQ_Tx_J_Pb27_Vsh90_QN_6b_Xz_OB_Jo_U_f0e2294e2e.png)
Dược sĩ Đại họcNguyễn Chí Chương
Tốt nghiệp Đại Học Dược Hà Nội - chuyên môn Dược lâm sàng. Hiện đang là giảng viên cho Dược sĩ tại Nhà thuốc Long Châu.