• Thực phẩm chức năng

  • Dược mỹ phẩm

  • Thuốc

  • Chăm sóc cá nhân

  • Thiết bị y tế

  • Tiêm chủng

  • Bệnh & Góc sức khỏe

  • Hệ thống nhà thuốc

    1. /
    2. Góc sức khỏe/
    3. Phòng bệnh & Sống khoẻ

    Biện pháp chăm sóc trẻ hiệu quả khi răng mọc lệch

    21/06/2023

    Kích thước chữ

    Chúng ta thường mọc răng sữa từ 6-10 tháng tuổi và bắt đầu thay răng vĩnh viễn khi được 6 tuổi. Vì vậy giai đoạn mọc răng sữa rất quan trọng trong quá trình phát triển răng sau này ở trẻ, và tình trạng răng mọc lệch là nỗi lo không của riêng bậc phụ huynh nào.

    Răng sữa đóng vai trò quan trọng cho việc phát triển của trẻ, từ việc ăn nói cho đến việc định hình cho hàm răng vĩnh viễn sau này. Nhiều phụ huynh không chú ý tình trạng răng mọc lệch khi còn nhỏ vì nghĩ chúng cũng sẽ rụng đi, nhưng điều này cũng không hoàn toàn đúng. Răng sữa mọc lệch cũng gây ảnh hưởng nhiều cho cuộc sống của trẻ và cha mẹ cần lưu tâm cẩn thận.

    Răng mọc lệch ở trẻ có nguy hiểm không?

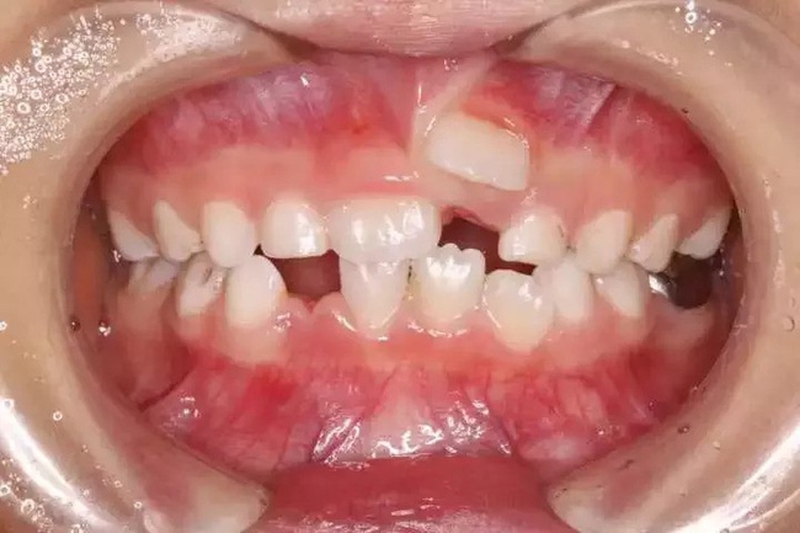
    Biện pháp chăm sóc trẻ hiệu quả khi răng mọc lệchRăng mọc lệch là bệnh lý thường gặp ở trẻ nhỏ

    Răng mọc lệch ở trẻ sẽ gây ảnh hưởng đến chức năng nhai của trẻ, khả năng phát âm cũng như ảnh hưởng về mặt thẩm mỹ khi lớn lên. Răng sữa mọc lệch là tình trạng thường gặp ở trẻ và có thể dễ dàng khắc phục. Chúng ta cũng nên lưu ý những nguyên nhân khiến răng mọc lệch ở trẻ.

    Do những thói quen xấu ở trẻ

    Biện pháp chăm sóc trẻ hiệu quả khi răng mọc lệchNhững thói quen xấu như ngậm tay như còn nhỏ khiến răng sữa mọc lệch

    Những thói quen lúc còn nhỏ như thường xuyên mút tay, mút môi hay thở bằng miệng. Ngoài ra việc bú bình và ngậm ti giả nhiều khi còn nhỏ cũng khiến răng mọc không thẳng hàng, hay đẩy lưỡi khiến răng sữa bị xô lệch. Những thói quen xấu khi ngủ như nghiến răng, chép miệng hoặc nằm sấp trong thời gian dài cũng tạo áp lực cho răng và nướu khiến răng sữa bị mọc lệch

    Nguyên nhân khách quan bên ngoài

    Do trẻ bị thương răng miệng như chơi đùa té bị nứt răng, chảy máu răng hoặc gãy răng có làm hàm răng bị tổn thương, răng mọc không thẳng hàng. Nếu cha mẹ không kịp thời đưa con đến bác sĩ để thăm khám thì có thể ảnh hưởng đến quá trình mọc răng vĩnh viễn sau này.

    Việc thiếu chất dinh dưỡng như vitamin D, canxi và sắt cũng khiến răng trẻ mọc không đều, xương hàm phát triển chậm khiến răng mọc lệch. Một nguyên nhân cũng thường gặp là do trẻ chịu ảnh hưởng di truyền khi có ba hoặc mẹ có răng mọc lệch, hô hoặc móm.

    Khi răng sữa mọc lệch sẽ khiến gương mặt trẻ không cân đối, nụ cười không đẹp. Ngoài ra, chức năng nhai bị suy yếu do những khớp răng không đều, giảm sức ăn và nhai những đồ cứng. Khi răng mọc lệch, thức ăn sẽ không được nghiền nát đều trước khi đi vào dạ dày nên có thể làm ảnh hưởng đến sức khỏe như hệ tiêu hóa bị ảnh hưởng, dạ dày phải hoạt động nhiều hơn.

    Răng mọc lệch cũng gây khó khăn cho việc vệ sinh răng miệng, đặc biệt là khi trẻ còn nhỏ nên dễ gây nên sâu răng về nhiều bệnh lý về răng miệng khác. Với những nguyên nhân và ảnh hưởng xấu do răng mọc lệch khi trẻ còn nhỏ, các bậc cha mẹ nên sớm phát hiện tình trạng này và có những biện pháp xử lý phù hợp.

    Phải làm gì khi mẹ thấy răng mọc lệch ở bé?

    Ăn uống điều độ và đầy đủ chất dinh dưỡng

    Cho trẻ ăn thức ăn vừa với sức nhai của răng, không quá cứng cũng không quá mềm để trẻ kích thích chức năng nhai khiến răng phát triển đều đẹp, tránh bị răng mọc lệch.

    Ăn nhiều rau xanh và hoa quả để bổ sung thêm các chất xơ, vitamin và khoáng chất. Thêm những thực phẩm có chứa canxi vào khẩu phần ăn hằng ngày của trẻ để kích thích mọc răng cũng như phát triển chiều cao và cân nặng toàn diện. Không ăn những thức ăn ngọt vào buổi tối để tránh bị sâu răng.

    Vệ sinh răng miệng sạch sẽ hai lần mỗi ngày

    Răng sữa mọc lệch dễ khiến vi khuẩn tích tụ, nên để hạn chế tình trạng này cũng như giúp trẻ có hàm răng chắc khỏe, cha mẹ nên tập cho con thói quen đánh răng hai lần mỗi ngày vào buổi sáng và buổi tối.

    Sử dụng kem đánh răng và bàn chải đánh răng phù hợp với răng trẻ, tốt nhất nên sử dụng kem có chứa fluor. Chải toàn bộ bề mặt răng nhẹ nhàng trong vòng 2-3 phút, sau đó súc miệng sạch bằng nước muối sinh lý.

    Khám răng định kỳ 6 tháng 1 lần

    Biện pháp chăm sóc trẻ hiệu quả khi răng mọc lệchThăm khám bác sĩ định kỳ giúp ba mẹ theo dõi các giai đoạn mọc răng của trẻ

    Ba mẹ nên cùng bác sĩ theo dõi quá trình mọc răng của trẻ theo từng giai đoạn. Bắt đầu từ 6 tháng tuổi trẻ sẽ bắt đầu mọc những chiếc răng sữa đầu tiên và đủ dần cho đến 30 tháng tuổi. Trong giai đoạn này ba mẹ nên theo sát trẻ và đưa trẻ đi khám răng khoảng 6 tháng 1 lần. Nếu có những dấu hiệu bất thường bác sĩ sẽ có hướng chữa trị thích hợp để không để lại hậu quả sau này.

    Hạn chế những thói quen xấu ở trẻ gây răng mọc lệch

    Để tránh tình trạng răng mọc lệch khi còn bé thì ba mẹ nên hạn chế trẻ có những thói quen xấu như đã nêu ở trên. Thiết kế cho trẻ chế độ ăn uống, vui chơi và sinh hoạt lành mạnh không những giúp răng miệng phát triển đều đặn còn tốt cho sức khỏe.

    Răng sữa mọc lệch là bệnh lý thường gặp và có thể xử lý tốt trước khi trẻ mọc răng vĩnh viễn nếu cha mẹ phát hiện sớm những biểu hiện và có chế độ chăm sóc phù hợp. Hiểu rõ tầm quan trọng của vấn đề này sẽ giúp ích nhiều cho sự phát triển toàn diện của con sau này.

    Trúc

    Có thể bạn quan tâm

    Thông tin và sản phẩm gợi ý trong bài viết chỉ mang tính chất tham khảo, vui lòng liên hệ với Bác sĩ, Dược sĩ hoặc chuyên viên y tế để được tư vấn cụ thể. Xem thêm

    Dược sĩ Đại họcNguyễn Thị Thảo Nguyên

    Đã kiểm duyệt nội dung

    Tốt nghiệp Khoa Dược trường Đại học Nam Cần Thơ. Có nhiều năm kinh nghiệm công tác trong lĩnh vực Dược phẩm. Hiện đang giảng viên cho Dược sĩ tại Nhà thuốc Long Châu.

    Xem thêm thông tin