Tốt nghiệp Đại Học Dược Hà Nội - chuyên môn Dược lâm sàng. Hiện đang là giảng viên cho Dược sĩ tại Nhà thuốc Long Châu.
21/06/2023
Mặc định
Lớn hơn
Sẽ như thế nào nếu một ngày trên mặt bạn mọc những nốt li ti, sần sùi như hạt gạo, màu trắng và không có nhân? Chắc hẳn bạn sẽ rất khó chịu và cảm thấy như chúng đang làm mất đi giá trị thẩm mỹ trên gương mặt mình. Rất có thể lúc này bạn đang mắc phải chứng u ống tuyến mồ hôi, hay người ta vẫn thường gọi là “mụn thịt”.
Vậy u ống tuyến mồ hôi là gì? Liệu nó có phải là một bệnh lý nguy hiểm hay không? Có lẽ bạn sẽ có rất nhiều câu hỏi thắc mắc về tình trạng này. Còn chần chừ gì mà không “bỏ túi” ngay những thông tin hữu ích sẽ được cập nhật đến bạn ngay trong bài viết dưới đây.
U ống tuyến mồ hôi (syringomas) là một bệnh u da lành tính được hình thành do các tuyến mồ hôi hoạt động quá mức bình thường. Trường hợp khác có thể do đáp ứng tăng sản của tuyến với phản ứng viêm trong cơ thể. Bạn có thể dễ dàng nhận biết bởi những nốt sần thường mọc ở cổ, má trên và xung quanh mắt.
U ống tuyến mồ hôi có thể xảy ra ở bất cứ độ tuổi, chủng tộc và giới tính nào. Tuy nhiên, nếu tính về tỷ lệ mắc phải thì nữ sẽ mắc nhiều hơn nam và thường là sau độ tuổi dậy thì.
Xét về sự ảnh hưởng thì u ống tuyến mồ hôi thường không gây đau và không phát triển như ung thư. Nhìn chung, chúng hầu như không gây hại gì nhiều và không có gì đáng lo ngại. Nhưng tình trạng này lại gây mất thẩm mỹ rất nghiêm trọng. Chúng tác động đến tâm lý người bệnh và khiến họ kém tự tin khi giao tiếp trong cuộc sống.
Làm thế nào để nhận biết được mình đang mắc chứng u ống tuyến mồ hôi? Cùng khám phá câu trả lời qua hai nội dung dưới đây nhé!
U ống tuyến mồ hôi xuất phát từ cấu trúc phần phụ của da, ban đầu sẽ là những nốt nhỏ, phát triển rất chậm trong thời gian dài rồi đột ngột gia tăng kích thước. Đây là một dạng tổn thương da thường sẽ không gây ra triệu chứng rõ rệt.
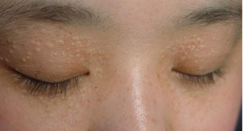
Hình ảnh những những hạt mụn thịt li ti xung quanh mắt Chúng được đặc trưng bởi những nốt mụn sần sùi với kích thước nhỏ từ 1 đến 3mm. Những hạt mụn này sẽ thường mọc thành từng mảng nhỏ ở cả hai bên cơ thể. Bạn cũng có thể dễ dàng bắt gặp tình trạng chúng mọc đối xứng nhau với màu trắng hoặc màu da.
Tuy nhiên, khi cơ thể tiết ra quá nhiều mồ hôi và gây ra mất kiểm soát, người bệnh sẽ có cảm giác ngứa ngáy, khó chịu. Trường hợp hiếm có thể gặp ở những người trẻ tuổi, những nốt sần này sẽ không mọc từ từ mà phát triển đột ngột, có thể gây nên tình trạng phát ban đỏ và gây đau.
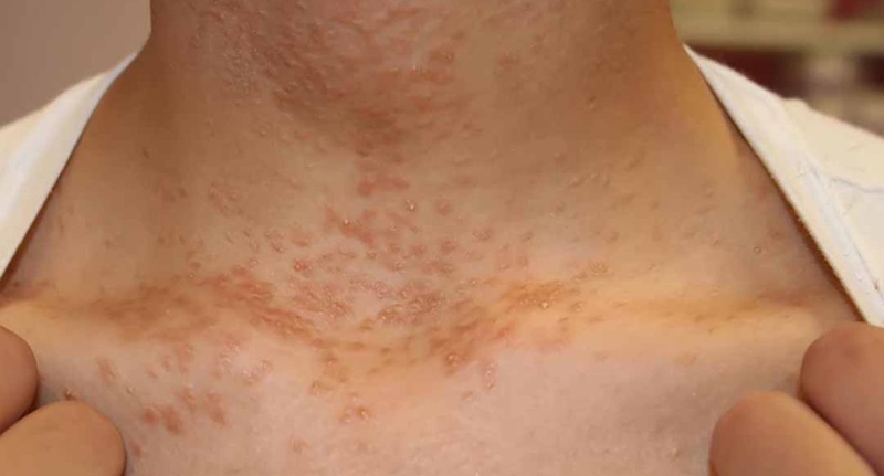
U ống tuyến mồ hôi sẽ xuất hiện thành từng đám trên mặt, vùng cổ, ngực, nách, bụng, ngực và thậm chí là ở bộ phận sinh dục… Ngoài ra, chúng cũng thường mọc ở những nơi có nhiều nếp gấp trên cơ thể, vùng da hay bị chảy và bí mồ hôi.
U ống tuyến mồ hôi xuất hiện nhiều ở vùng cổ Bởi vì các triệu chứng không rõ rệt nên u ống tuyến mồ hôi thường bị nhầm lẫn với các tình trạng viêm da tương tự như:
Có nhiều nguyên nhân dẫn đến tình trạng u ống mồ hôi. Nhận biết các nguyên nhân sẽ giúp bạn có biện pháp phòng ngừa phù hợp.
Nhận biết các nguyên nhân liên quan u ống tuyến mồ hôi U ống tuyến mồ hôi có thể phát triển do chịu sự chi phối của yếu tố di truyền học. Khi những người thân trong gia đình của bạn có tiền sử bị bệnh thì khả năng bạn xuất hiện các tổn thương này sẽ cao hơn. Bởi bệnh lý này không lây người qua người mà có tính di truyền từ thế hệ bố mẹ sang con cái.
Một trong những nguyên nhân gây nên u ống tuyến mồ hôi là do sự rối loạn chuyển hóa của ống tiết mồ hôi dưới da. Khi các tế bào ống phát triển quá mức hay các tuyến mồ hôi phản ứng mất kiểm soát. Điều này dẫn đến sự hình thành các mô và khối u bất thường làm cản trở quá trình tiết mồ hôi ở da.
Một số các tiền sử bệnh lý có thể liên quan đến việc phát triển các khối u da có thể kể đến như:
Môi trường cũng là một yếu tố ảnh hưởng rất lớn đến sự hình thành u ống tuyến mồ hôi. Nếu bạn là người thường xuyên tiếp xúc với ánh mặt trời, cấu trúc da sẽ phải chịu sự phá hủy của nắng. Thời tiết quá nóng khiến cơ thể chúng ta phải tiết quá nhiều mồ hôi, lúc này các lỗ chân lông sẽ bị tắc nghẽn và tạo điều kiện thuận lợi để u ống tuyến mồ hôi phát triển.
Đối với các chị em phụ nữ, việc sử dụng kem dưỡng quá nhiều cũng sẽ gây ra tác dụng ngược. Khi mà độ ẩm được cung cấp quá nhiều, da sẽ trở nên nhờn rít, bít tắc. Tình trạng này kéo dài cũng có thể gây nên mụn thịt.
Mặc dù nói rằng u ống tuyến mồ hôi sẽ không gây ảnh hưởng gì nhiều đến sức khỏe của chúng ta. Nhưng nếu là bạn, bạn có chịu được cảm giác tự ti khi có những hạt mụn bé nhỏ ngự trị trên khuôn mặt của mình không?
Vì vậy, khi phát hiện những hạt mụn nhỏ hay sự bất thường nào trên da, bạn nên đến tại các trung tâm chuyên khoa ung bướu để được hỗ trợ và chẩn đoán kịp thời nhé!
Hy vọng rằng bài viết trên đã đưa đến cho bạn những kiến thức hữu ích về u ống tuyến mồ hôi. Hãy nhớ chăm sóc bản thân và có một chế độ sinh hoạt thật điều độ. Bổ sung thêm nhiều vitamin, hoa quả và nước hằng ngày để duy trì sức đề kháng cho làn da nhé!
Ánh Vũ
Nguồn tham khảo: Tổng hợp
/https://cms-prod.s3-sgn09.fptcloud.com/KF_1b_LIQ_Tx_J_Pb27_Vsh90_QN_6b_Xz_OB_Jo_U_f0e2294e2e.png)
Dược sĩ Đại họcNguyễn Chí Chương
Tốt nghiệp Đại Học Dược Hà Nội - chuyên môn Dược lâm sàng. Hiện đang là giảng viên cho Dược sĩ tại Nhà thuốc Long Châu.