:format(webp)/cac_bien_phap_phong_ngua_ung_thu_khoang_mieng_can_biet_Cropped_fbf71c95d2.png)
Ung thư khoang miệng là một bệnh ác tính có thể phát triển ở bất kỳ vị trí nào trong khoang miệng. Vì vậy việc nắm được các phương pháp phòng ngừa ung thư khoang miệng và họng sẽ giúp chúng ta trang bị kiến thức cần thiết để giảm thiểu nguy cơ mắc phải căn bệnh nguy hiểm này.
:format(webp)/hinh_anh_khoang_mieng_binh_thuong_se_nhu_the_nao_1_Cropped_8bb050725d.png)
Bạn có bao giờ tự đặt ra câu hỏi rằng khoang miệng bình thường sẽ có hình ảnh như thế nào hay chưa? Việc duy trì sức khỏe khoang miệng cũng là một việc rất quan trọng giúp phòng ngừa các bệnh lý nguy hiểm có thể gặp phải.
:format(webp)/khoang_mieng_cau_tao_chuc_nang_va_cac_benh_ly_thuong_gap_1_a61908abb9.jpg)
Đối với cơ thể con người, khoang miệng đóng vai trò vô cùng quan trọng. Cùng tìm hiểu về cấu tạo và chức năng của bộ phận này qua bài viết dưới đây nhé!
:format(webp)/8_cach_giup_loai_bo_tinh_trang_dau_rang_ve_dem_a0e0e2fdf3.jpg)
Đau răng là tình trạng phổ biến, đặc biệt là đau răng về đêm khi chúng ta ăn đồ ngọt vào buổi tối. Mặc dù tình trạng này có thể khiến bạn thấy khó chịu, nhưng bạn có thể làm dịu cơn đau bằng các cách tự nhiên.
:format(webp)/loet_ap_to_mieng_nguyen_nhan_trieu_chung_va_cach_dieu_tri_1_Cropped_7a8f1edcb8.png)
Loét áp tơ miệng là tình trạng xuất hiện những vết loét đau ở miệng với hình tròn hoặc oval với đáy màu xám. Bệnh thường là một trong số những nguyên nhân phổ biến gây nên tình trạng loét miệng.
:format(webp)/hoi_chung_pierre_robin_la_gi_nguyen_nhan_gi_gay_nen_hoi_chung_pierre_robin_k_QR_Cv_1677590580_5d3789793a.jpg)
Hội chứng Pierre Robin, hội chứng này đặc trưng với hàm dưới nhỏ, lưỡi lệch về phía sau của khoang miệng và hở vòm miệng thường là hở màng mềm phía sau. Đây là một hội chứng di truyền hiếm gặp. Vậy hội chứng này di truyền như thế nào? Liệu hội chứng Pierre Robin có điều trị khỏi hẳn được không?
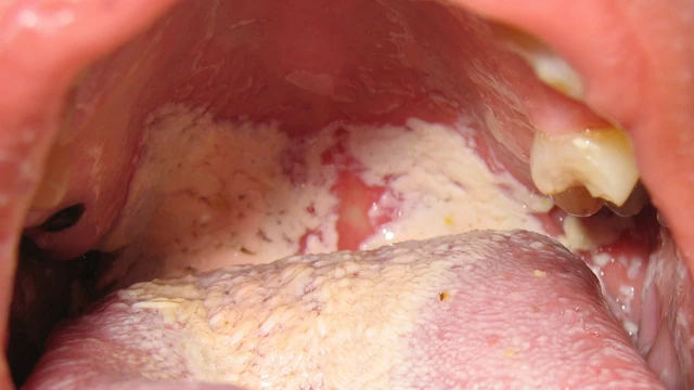
:format(webp)/nam_khoang_mieng_la_benh_gi_ogrk_B_1656338496_d531ad0e8d.jpg)
Nấm khoang miệng là bệnh gì? Đó là câu hỏi mà rất nhiều người thắc mắc. Nấm khoang miệng là một tình trạng niêm mạc miệng, lưỡi, họng và thực quản khi bị nấm candida xâm nhập. Nấm khoang miệng là một tình trạng phổ biến, có thể xảy ra ở mọi lứa tuổi, tuy nhiên nữ giới thường có tỉ lệ mắc bệnh cao hơn nam giới.
:format(webp)/choc_lo_mep_mieng_la_gi_co_nguy_hiem_cho_suc_khoe_khong_c_N_Jtn_1656222246_446cb7095b.png)
Chốc lở mép miệng là tên của một bệnh ngoài da, chủ yếu xung quang vùng mép và miệng. Tuy nhiên, nếu không điều trị kịp thời, các vết chốc sẽ lây lan khắp mặt cũng như các vùng khác trên cơ thể. Đồng thời, bệnh còn lây cho người khác nếu không không phòng ngừa đúng cách.
:format(webp)/vi_sao_mieng_co_vi_man_nguyen_nhan_va_cach_chua_tri_Kx_NQJ_1600702108_853fa5484c.jpg)
Thông thường thì sau khi chúng ta ăn đồ ăn mặn, chúng ta sẽ cảm nhận được vị mặn còn sót lại trong miệng ở một khoảng thời gian khá ngắn. Nhưng nếu vị mặn trong miệng kéo dài lâu thì hãy chú ý bởi nó là dấu hiệu của những vấn đề về sức khỏe.