:format(webp)/khi_nao_can_mo_duc_thuy_tinh_the_va_nhung_luu_y_quan_trong_28c0d0537e.jpg)
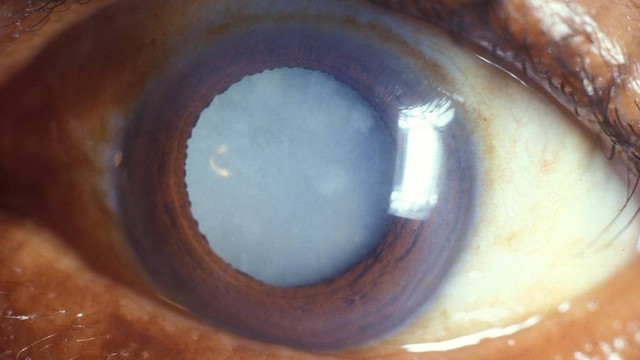
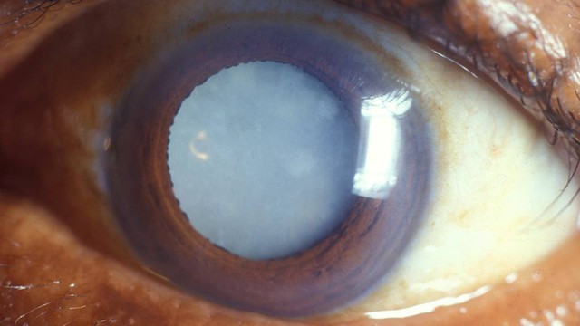
Đục thủy tinh thể là nguyên nhân hàng đầu gây mù lòa có thể phòng ngừa được. Khi thị lực suy giảm nghiêm trọng và ảnh hưởng đến sinh hoạt, mổ đục thủy tinh thể là giải pháp an toàn và hiệu quả giúp người bệnh lấy lại ánh sáng.
:format(webp)/prk_la_gi_ung_dung_prk_trong_phau_thuat_tat_khuc_xa_mat_2_ed98923022.png)
Trong những năm gần đây, phẫu thuật mắt bằng laser đã có những bước tiến vượt bậc, mang đến nhiều lựa chọn hiện đại giúp cải thiện thị lực lâu dài. Trong đó, PRK là một trong những phương pháp phẫu thuật khúc xạ an toàn và hiệu quả, giúp nhiều người giảm sự phụ thuộc vào kính mắt hoặc kính áp tròng.
:format(webp)/crosslinking_0_33e3cd3a15.jpg)
Crosslinking giác mạc đóng vai trò quan trọng trong việc điều trị các vấn đề liên quan đến giác mạc và các bệnh lý giác mạc khác. Phương pháp này giúp tăng cường sức mạnh và độ ổn định của giác mạc bằng cách tạo liên kết chéo giữa các sợi collagen. Nhờ vào crosslinking, giác mạc trở nên bền vững hơn, từ đó cải thiện thị lực và ngăn ngừa tình trạng tiến triển của bệnh. Với những ưu điểm vượt trội, crosslinking đã trở thành một giải pháp hiệu quả trong việc bảo vệ sức khỏe mắt và nâng cao chất lượng cuộc sống cho người bệnh.
:format(webp)/chi_phi_mo_thien_thong_0_8907b92c26.jpg)
Thiên đầu thống, hay còn gọi là bệnh tăng nhãn áp, là một trong những bệnh lý mắt nghiêm trọng có thể dẫn đến mù lòa nếu không được điều trị kịp thời. Việc tìm hiểu về chi phí mổ thiên đầu thống là điều quan trọng để người bệnh và gia đình có thể chuẩn bị tốt nhất cho quá trình điều trị.
:format(webp)/mo_mat_xong_bao_lau_thi_duoc_dung_dien_thoai_nhung_luu_y_cham_soc_mat_sau_khi_mo_mat_2_17bbf5713b.png)
Ngày nay, điện thoại thông minh đã trở thành vật dụng không thể thiếu trong cuộc sống. Tuy nhiên, việc sử dụng điện thoại quá mức, đặc biệt là sau phẫu thuật mắt, có thể gây ra những ảnh hưởng tiêu cực đến thị lực. Bài viết này sẽ cung cấp thông tin giải đáp thắc mắc mổ mắt xong bao lâu thì được dùng điện thoại, cũng như những lưu ý quan trọng trong việc chăm sóc mắt để đảm bảo quá trình hồi phục diễn ra suôn sẻ và đạt hiệu quả tốt nhất.
:format(webp)/smalls/mat_mo_sau_mo_phaco_la_do_dau_co_cach_nao_khac_phuc_khong_0_54eb9bc7bb.jpg)
Phẫu thuật phaco hiện nay là phương pháp được nhiều người lựa chọn để điều trị tật khúc xạ nhưng bệnh nhân thường bị mắt mờ sau mổ Phaco. Các biến chứng sau phẫu thuật thường không đáng kể nhưng cũng là mối lo ngại của nhiều người. Nguyên nhân khiến mắt bị mờ sau phẫu thuật Phaco là gì, có cách nào khắc phục nó hay không?
:format(webp)/smalls/download_Cropped_3ea5251914.jpg)
Phương pháp mổ mắt xóa cận thị thường được nhiều người áp dụng vì ít tốn thời gian và chi phí thực hiện vì mang lại hiệu quả cao và ít tốn chi phí thực hiện. Vậy khi nào cần mổ mắt và cần lưu ý gì không?
:format(webp)/mo_mong_mat_co_phai_nam_vien_khong_3_Cropped_a3db839d06.jpg)
Mổ mộng mắt là phương pháp điều trị mộng mắt hiệu quả nhất hiện nay. Nhiều người lo lắng liệu sau khi mổ mộng mắt có phải nằm viện hay không. Bài viết này của Nhà thuốc Long Châu sẽ giải đáp thắc mắc này cho bạn.
:format(webp)/nhung_dieu_can_biet_ve_phau_thuat_phakic_trong_dieu_tri_tat_khuc_xa_ce2510c35f.jpg)
Phẫu thuật Phakic là giải pháp tối ưu trong điều trị tật khúc xạ được FDA công nhận từ năm 2005. Với những ưu điểm vượt trội, Phakic đã giúp khôi phục thị lực cho hàng ngàn bệnh nhân trong khoảng 10 năm áp dụng tại Việt Nam. Vậy bạn biết gì về phương pháp điều trị tật khúc xạ này?
:format(webp)/cach_cham_soc_mat_sau_mo_lasik_nhu_the_nao_goi_y_6_loai_thuoc_nho_mat_sau_khi_mo_lasik_fa2d0b8fe5.jpg)
Phẫu thuật Lasik là một phương pháp được áp dụng để điều trị tật cận thị an toàn, chính xác và đạt hiệu quả cao nên được nhiều người bệnh lựa chọn. Tuy nhiên, việc chăm sóc mắt sau mổ Lasik như thế nào để tránh trường hợp bị cận lại? Các loại thuốc nhỏ mắt sau khi mổ Lasik tốt nhất là gì?