/https://cms-prod.s3-sgn09.fptcloud.com/su_that_ve_benh_phoi_trang_song_duoc_bao_lau_1_0187d77ca4.jpg)
Bệnh phổi trắng sống được bao lâu? Tìm hiểu sự thật về tiên lượng, các yếu tố ảnh hưởng đến tuổi thọ và phương pháp điều trị mới nhất cho căn bệnh này.
/https://cms-prod.s3-sgn09.fptcloud.com/phoi_trang_la_benh_gi_dau_hieu_nguyen_nhan_va_cach_dieu_tri_0_6746e5493d.png)
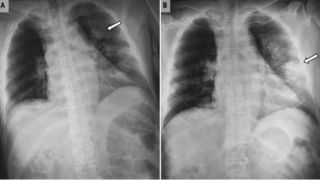
Trong y khoa, phổi trắng là hình ảnh mảng trắng bất thường trên X-quang hoặc CT scan, phản ánh những tổn thương đáng kể ở nhu mô phổi. Đây không phải bệnh lý riêng mà là dấu hiệu cảnh báo nhiều vấn đề hô hấp nguy hiểm như viêm phổi, lao hay ung thư phổi.