Tốt nghiệp Đại học Dược Hà Nội, với hơn 10 năm kinh nghiệm trong lĩnh vực Dược phẩm. Hiện là giảng viên giảng dạy các môn Dược lý, Dược lâm sàng,...
Tố Uyên
30/10/2025
Mặc định
Lớn hơn
Bệnh phổi trắng sống được bao lâu? Tìm hiểu sự thật về tiên lượng, các yếu tố ảnh hưởng đến tuổi thọ và phương pháp điều trị mới nhất cho căn bệnh này.
Bệnh phổi trắng sống được bao lâu là thắc mắc lớn của nhiều bệnh nhân và gia đình. Tiên lượng sống phụ thuộc vào nhiều yếu tố phức tạp như giai đoạn bệnh, sức khỏe tổng thể và phác đồ điều trị. Bài viết này sẽ cung cấp cái nhìn toàn diện về thực trạng và hy vọng sống cho người mắc bệnh.
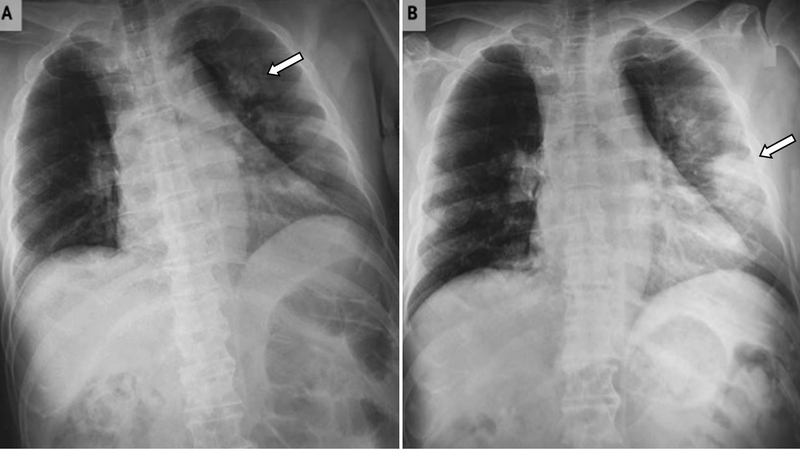
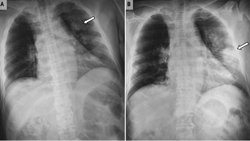
Phổi trắng không phải là một bệnh lý cụ thể mà là thuật ngữ dùng để mô tả hình ảnh X-quang khi các tổn thương lan rộng khắp phổi, khiến chúng xuất hiện màu trắng mờ trên phim chụp. Hiện tượng này là dấu hiệu của nhiều bệnh lý nghiêm trọng khác như viêm phổi cấp tính, bệnh bụi phổi nghề nghiệp, bệnh bụi amiăng…
Mối nguy hiểm chính của phổi trắng là việc nó gây ra xơ hóa và chai cứng phổi, dẫn đến suy hô hấp tiến triển. Nếu không được phát hiện và điều trị kịp thời, các biến chứng liên quan đến tổn thương phổi lan tỏa này có khả năng đe dọa trực tiếp đến tính mạng. Đặc biệt đối với những nhóm đối tượng dễ bị tổn thương như người cao tuổi hay trẻ em có sức khỏe yếu, tổn thương ở phổi có thể phát triển rất nhanh, để lại những di chứng kéo dài về sau.

Bệnh phổi trắng sống được bao lâu là điều mà nhiều người mắc bệnh quan tâm. Thời gian sống của người bị phổi trắng không có một mốc cố định mà phụ thuộc hoàn toàn vào căn nguyên gây bệnh. Người bệnh có thể sống từ vài tháng nếu là ung thư giai đoạn cuối đến vài năm nếu là xơ phổi hoặc có thể hồi phục hoàn toàn nếu là viêm phổi cấp tính được điều trị kịp thời.

Trong những trường hợp phổi trắng xuất hiện do ung thư phổi giai đoạn cuối, khả năng sống sót sau 5 năm là rất thấp, chỉ khoảng 9%. Nếu việc điều trị không đạt hiệu quả, thời gian sống trung bình của bệnh nhân thường chỉ kéo dài từ vài tháng đến một năm. Tuy nhiên, nếu áp dụng phương pháp điều trị tích cực và phù hợp ngay cả khi bệnh đã muộn, người bệnh vẫn có thể kéo dài sự sống thêm từ vài tháng đến hơn một năm.
Đối với các trường hợp bệnh phổi trắng do các nguyên nhân khác, chẳng hạn như xơ phổi, tiên lượng có thể khả quan hơn. Tuổi thọ trung bình sau khi được chẩn đoán thường nằm trong khoảng 2 đến 4 năm, với tỷ lệ sống sót sau 5 năm đạt từ 30% đến 50%, tùy thuộc vào điều kiện chăm sóc và điều trị. Nếu can thiệp sớm và đúng cách có thể giúp người bệnh cải thiện chức năng hô hấp và đáng kể là kéo dài tuổi thọ của họ.
Nếu phổi trắng do bệnh bụi phổi nghề nghiệp hoặc bụi amiăng, đó là bệnh mãn tính không thể chữa khỏi hoàn toàn vì tổn thương phổi do xơ hóa là không hồi phục. Nếu nguyên nhân do các bệnh lý trên phụ thuộc vào mức độ tổn thương và biến chứng, nhưng nhiều người có thể sống được nhiều năm nếu được phát hiện sớm và quản lý bệnh tốt.

Có thể sống chung với bệnh phổi trắng nếu người bệnh quản lý, chăm sóc và thay đổi lối sống nhằm giảm thiểu tổn thương phổi, tăng cường chức năng hô hấp và nâng cao chất lượng cuộc sống. Để làm được điều đó, người bệnh nên tuân thủ các biện pháp sau:

Bên cạnh câu hỏi bệnh phổi trắng sống được bao lâu, người bệnh còn quan tâm đến nhiều vấn đề khác nhau liên quan đến tuổi thọ khi mắc phải. Dưới đây là một số câu hỏi phổ biến thường được đặt ra:
Tuổi thọ trung bình của người bị bệnh phổi trắng phụ thuộc rất nhiều vào nguyên nhân gây bệnh, mức độ tổn thương phổi và thời điểm phát hiện. Với bệnh xơ phổi, thời gian sống sót trung bình từ khi được chẩn đoán là khoảng 2 đến 4 năm, với tỷ lệ sống sót 5 năm từ 30% đến 50%. Trong khi đó, đối với ung thư phổi giai đoạn cuối, tỷ lệ sống sót sau 5 năm chỉ khoảng 9%.
Bệnh bụi phổi amiăng thường liên quan đến tiếp xúc lâu dài với bụi amiăng, là một bệnh mãn tính không thể chữa khỏi hoàn toàn do gây ra xơ phổi. Tiên lượng sống phụ thuộc vào mức độ tổn thương và biến chứng. Mặc dù không thể chữa khỏi, nhiều bệnh nhân có thể sống chung với bệnh này nhiều năm nếu được kiểm soát và chăm sóc tốt. Tuy nhiên, giai đoạn muộn có thể dẫn đến suy hô hấp và các biến chứng nghiêm trọng làm giảm tuổi thọ của người bệnh.
Các yếu tố như nguyên nhân gây bệnh, giai đoạn phát hiện, mức độ tổn thương phổi, tuổi tác, sức khỏe tổng thể, cách điều trị và lối sống đều ảnh hưởng đến tuổi thọ của người bệnh. Phát hiện sớm cùng điều trị và chăm sóc đúng cách giúp kéo dài tuổi thọ và cải thiện chất lượng cuộc sống.
Khi bệnh tiến triển nặng, tình trạng suy hô hấp hoặc bội nhiễm diễn ra nhanh chóng, tuổi thọ giảm rõ rệt, bệnh nhân có thể tử vong trong thời gian ngắn nếu không được hỗ trợ điều trị tích cực.
Như vậy, để xác định chính xác bệnh phổi trắng sống được bao lâu phụ thuộc vào rất nhiều yếu tố riêng biệt. Điều quan trọng nhất là bệnh nhân cần tuân thủ nghiêm ngặt phác đồ điều trị, duy trì lối sống lành mạnh và giữ tinh thần lạc quan. Hãy luôn tham khảo ý kiến bác sĩ chuyên khoa để có những đánh giá và quyết định điều trị tốt nhất.
Dược sĩ Đại họcNguyễn Thanh Hải
Tốt nghiệp Đại học Dược Hà Nội, với hơn 10 năm kinh nghiệm trong lĩnh vực Dược phẩm. Hiện là giảng viên giảng dạy các môn Dược lý, Dược lâm sàng,...