Tốt nghiệp Đại Học Dược Hà Nội - chuyên môn Dược lâm sàng. Hiện đang là giảng viên cho Dược sĩ tại Nhà thuốc Long Châu.
Mạnh Khương
22/10/2025
Mặc định
Lớn hơn
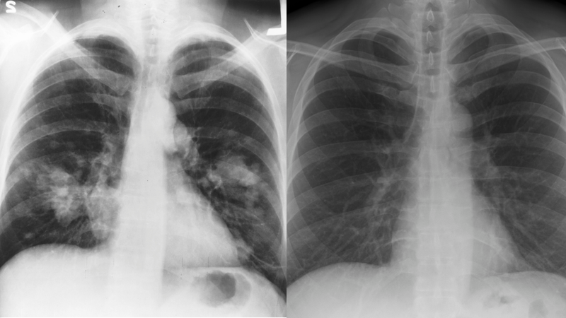
Trong y khoa, phổi trắng là hình ảnh mảng trắng bất thường trên X-quang hoặc CT scan, phản ánh những tổn thương đáng kể ở nhu mô phổi. Đây không phải bệnh lý riêng mà là dấu hiệu cảnh báo nhiều vấn đề hô hấp nguy hiểm như viêm phổi, lao hay ung thư phổi.
Để hiểu rõ bản chất phổi trắng, cần phân tích toàn diện từ định nghĩa, dấu hiệu nhận biết, các nguyên nhân thường gặp cho đến phương pháp chẩn đoán, điều trị và biện pháp phòng ngừa. Bài viết này sẽ mang đến cái nhìn tổng thể, giúp người đọc nhận diện mức độ nguy hiểm và chủ động hơn trong việc bảo vệ lá phổi của mình.
Phổi trắng là thuật ngữ mô tả hình ảnh bất thường ở phổi khi chụp X-quang hoặc CT ngực. Thông thường, phổi khỏe mạnh chứa nhiều khí nên hiện lên khá trong suốt, cho phép tia X đi qua dễ dàng. Tuy nhiên, khi nhu mô phổi bị viêm, chứa dịch, xơ hóa hoặc xuất hiện khối u, mật độ mô tăng lên khiến hình ảnh thu được trở thành vùng trắng mờ.
Điều đáng lưu ý là phổi trắng không phải một bệnh độc lập mà chỉ là biểu hiện hình ảnh. Bác sĩ cần kết hợp cùng triệu chứng lâm sàng và các xét nghiệm để xác định nguyên nhân thực sự. Tình trạng này có thể bắt nguồn từ nhiều nguyên nhân khác nhau.

Người mắc phổi trắng thường gặp nhiều triệu chứng liên quan đến đường hô hấp. Biểu hiện phổ biến là ho kéo dài, có thể ho khan hoặc ho có đờm, đôi khi lẫn máu. Nhiều bệnh nhân than phiền khó thở, hụt hơi ngay cả khi nghỉ ngơi, kèm theo cảm giác tức ngực và mệt mỏi toàn thân.
Một số trường hợp có dấu hiệu sốt cao, rét run, chán ăn và sụt cân nhanh chóng, đặc biệt khi phổi trắng bắt nguồn từ lao hoặc ung thư phổi. Ở giai đoạn đầu, nhiều người chỉ có triệu chứng mơ hồ giống như cảm cúm, dễ khiến họ chủ quan. Tuy nhiên, cũng có những bệnh nhân không hề có biểu hiện rõ rệt, chỉ phát hiện tình cờ khi chụp phim kiểm tra sức khỏe định kỳ.
Phổi trắng không phải là một bệnh riêng biệt mà là hình ảnh bất thường trên X-quang hoặc CT ngực. Tình trạng này có thể xuất phát từ nhiều nguyên nhân khác nhau, bao gồm cả bệnh lý cấp tính lẫn mạn tính.
Nhiễm trùng đường hô hấp do vi khuẩn hoặc virus làm nhu mô phổi chứa đầy dịch viêm, gây mảng trắng đặc trên phim chụp. Bệnh nhân thường sốt cao, ho có đờm hoặc ho khan, đau ngực và khó thở. Nếu không được điều trị bằng kháng sinh hoặc hỗ trợ kịp thời, viêm phổi có thể nhanh chóng dẫn đến biến chứng nặng.
Phổi trắng cũng có thể bắt nguồn từ bệnh lao, một bệnh truyền nhiễm do vi khuẩn Mycobacterium tuberculosis gây ra. Lao phổi hình thành các ổ viêm, hoại tử và xơ hóa, khiến vùng tổn thương hiện lên rõ rệt trên X-quang. Người bệnh thường ho kéo dài trên hai tuần, ho ra máu, sốt về chiều và đổ mồ hôi đêm.
Một nguyên nhân khác ít gặp hơn nhưng không kém phần nguy hiểm là nhiễm nấm phổi. Các loại nấm như Aspergillus hay Candida có thể xâm nhập vào phổi, đặc biệt ở người suy giảm miễn dịch hoặc bệnh nhân đang dùng thuốc ức chế miễn dịch. Tình trạng này tạo ra các mảng trắng hoặc khối bất thường trên phim, gây ho kéo dài, sốt dai dẳng và sút cân rõ rệt.
Khi khối u phát triển, nó làm thay đổi cấu trúc nhu mô và xuất hiện rõ trên X-quang dưới dạng khối trắng không đều. Bệnh nhân có thể bị ho ra máu, đau tức ngực, khàn giọng, sụt cân và mệt mỏi kéo dài. Vì ung thư phổi thường phát hiện muộn nên mức độ nguy hiểm rất cao và tiên lượng thường xấu nếu không điều trị kịp thời.

Xẹp phổi xảy ra khi đường thở bị tắc nghẽn bởi đờm nhầy, dị vật hoặc khối u, khiến nhu mô phổi xẹp hoàn toàn. Trên phim chụp, một bên phổi sẽ hiện trắng đặc. Bệnh nhân thường khó thở, đau ngực và suy giảm oxy máu. Xẹp phổi cần được can thiệp sớm để khôi phục thông khí.
Khi dịch tích tụ nhiều trong khoang màng phổi, toàn bộ phổi bên đó sẽ bị che phủ, tạo hình ảnh “phổi trắng”. Người bệnh thường cảm thấy nặng ngực, khó thở, ho khan kéo dài. Tràn dịch có thể do lao, ung thư hoặc suy tim. Nếu không dẫn lưu kịp thời, bệnh sẽ gây suy hô hấp.
ARDS và phù phổi gây tràn dịch trong các phế nang, làm mờ trắng lan tỏa cả hai phổi. Đây thường là biến chứng nặng gặp ở bệnh nhân ICU do nhiễm trùng huyết, chấn thương hay bệnh tim. Bệnh nhân thường suy hô hấp nhanh, cần thở máy hỗ trợ. Đây là tình trạng cấp cứu y khoa.
Ngoài bệnh lý, yếu tố môi trường cũng có thể góp phần gây phổi trắng. Người thường xuyên hít phải khói bụi, khí thải độc hại, hóa chất công nghiệp hoặc khói thuốc lá lâu ngày dễ bị viêm mạn tính và xơ hóa phổi. Quá trình này dần hình thành những vùng trắng mờ, kèm theo ho kéo dài, khò khè và suy giảm chức năng hô hấp.
Mức độ nguy hiểm của phổi trắng phụ thuộc vào nguyên nhân. Trường hợp viêm phổi do vi khuẩn hoặc virus có thể điều trị hiệu quả nếu phát hiện sớm. Tuy nhiên, khi nguyên nhân là lao, nhiễm nấm hoặc ung thư, bệnh thường tiến triển nặng, dễ gây biến chứng suy hô hấp, giảm khả năng trao đổi oxy và đe dọa tính mạng.
Đặc biệt ở người cao tuổi, trẻ nhỏ hoặc bệnh nhân có bệnh nền mạn tính như đái tháo đường, tim mạch, tình trạng phổi trắng có thể trở nên nguy kịch nhanh chóng. Vì vậy, việc theo dõi triệu chứng và đi khám sớm khi có dấu hiệu bất thường là điều không thể bỏ qua.
Khả năng chữa khỏi phổi trắng phụ thuộc chủ yếu vào nguyên nhân gây bệnh và thời điểm người bệnh được chẩn đoán. Nếu tình trạng được phát hiện sớm và áp dụng phác đồ phù hợp, khả năng hồi phục có thể rất khả quan. Ngược lại, khi bệnh tiến triển muộn hoặc đi kèm biến chứng, tiên lượng sẽ khó khăn hơn và cần nhiều thời gian điều trị.
Trong thực tế, không phải mọi trường hợp đều có thể chữa khỏi hoàn toàn, nhưng hầu hết đều có cơ hội kiểm soát tốt. Việc điều trị đúng hướng giúp cải thiện triệu chứng, ngăn ngừa diễn tiến nặng và nâng cao chất lượng cuộc sống. Điều quan trọng nhất là thăm khám kịp thời và tuân thủ chỉ định của bác sĩ.

Để điều trị hiệu quả phổi trắng, trước hết cần chẩn đoán chính xác nguyên nhân. Quá trình này đòi hỏi sự kết hợp giữa các kỹ thuật hình ảnh, xét nghiệm sinh học và lâm sàng.
Bước đầu tiên thường là chụp X-quang ngực để phát hiện vùng mờ trắng bất thường. Nếu chưa đủ chi tiết, bác sĩ chỉ định chụp CT scan để phân tích rõ hơn cấu trúc phổi. Đồng thời, xét nghiệm máu, xét nghiệm đờm, nuôi cấy vi khuẩn hoặc nấm, thậm chí sinh thiết mô phổi có thể được thực hiện.
Trong trường hợp nghi ngờ lao phổi, test Mantoux hoặc PCR lao sẽ giúp xác định. Nếu nghi ngờ ung thư phổi, bệnh nhân có thể được chỉ định nội soi phế quản, chụp PET-CT hoặc sinh thiết khối u. Nhờ kết hợp nhiều phương pháp, bác sĩ mới đưa ra chẩn đoán chính xác và xây dựng phác đồ điều trị phù hợp.
Điều trị phổi trắng hoàn toàn dựa vào nguyên nhân. Nếu do vi khuẩn, kháng sinh là lựa chọn chủ yếu, kết hợp thuốc hạ sốt và nghỉ ngơi. Với virus, điều trị triệu chứng và hỗ trợ hô hấp là chính. Lao phổi cần liệu trình kháng lao nghiêm ngặt kéo dài. Nhiễm nấm phổi đòi hỏi thuốc kháng nấm đặc hiệu trong thời gian dài. Trường hợp ung thư phổi, phương án có thể là phẫu thuật, xạ trị hoặc hóa trị.
Bên cạnh thuốc men, người bệnh cần chế độ dinh dưỡng đầy đủ, tránh khói thuốc, bụi bẩn và tuân thủ hướng dẫn của bác sĩ. Điều này giúp tăng hiệu quả điều trị, hạn chế tái phát và nâng cao chất lượng cuộc sống.
Phòng ngừa phổi trắng bắt đầu từ việc giữ cho lá phổi khỏe mạnh. Không hút thuốc lá, hạn chế tiếp xúc khói bụi và luôn đeo khẩu trang khi ra ngoài trong môi trường ô nhiễm. Giữ nhà cửa thông thoáng, vệ sinh sạch sẽ để giảm nguy cơ hít phải nấm mốc hoặc vi khuẩn.
Tập luyện thể dục đều đặn và tiêm phòng vắc xin phòng cúm, phế cầu cũng là biện pháp quan trọng để giảm nguy cơ viêm phổi. Ngoài ra, việc khám sức khỏe định kỳ, đặc biệt là chụp X-quang ngực, giúp phát hiện sớm bất thường, từ đó điều trị kịp thời và tránh biến chứng nặng nề.
Ngoài lối sống lành mạnh, dinh dưỡng đầy đủ cũng giúp phòng ngừa phổi trắng hiệu quả. Việc bổ sung vitamin C, vitamin D, vitamin E cùng các chất chống oxy hóa từ rau xanh, trái cây tươi và các loại hạt sẽ hỗ trợ hệ miễn dịch và bảo vệ nhu mô phổi. Đồng thời, axit béo omega-3 từ cá béo hoặc hạt lanh còn góp phần giảm viêm, cải thiện chức năng hô hấp và tăng cường sức khỏe toàn diện cho lá phổi.

Tình trạng phổi trắng không chỉ đơn giản là một dấu hiệu trên phim chụp mà còn là lời cảnh báo cho nhiều bệnh lý nghiêm trọng như viêm phổi, lao phổi, nhiễm nấm hoặc ung thư. Việc chẩn đoán chính xác và điều trị kịp thời đóng vai trò quyết định đến tiên lượng sức khỏe và khả năng hồi phục của bệnh nhân. Chủ động tầm soát, phòng ngừa và bảo vệ lá phổi sẽ giúp mỗi người tránh xa nguy cơ phổi trắng, đồng thời duy trì một hệ hô hấp khỏe mạnh và cuộc sống trọn vẹn hơn.
:format(webp)/KF_1b_LIQ_Tx_J_Pb27_Vsh90_QN_6b_Xz_OB_Jo_U_f0e2294e2e.png)
Dược sĩ Đại họcNguyễn Chí Chương
Tốt nghiệp Đại Học Dược Hà Nội - chuyên môn Dược lâm sàng. Hiện đang là giảng viên cho Dược sĩ tại Nhà thuốc Long Châu.