:format(webp)/cham_soc_benh_nhan_sau_nut_mach_gan_de_giam_bien_chung_va_phuc_hoi_nhanh_a7b1cb4595.png)
Việc chăm sóc đúng cách trong giai đoạn này có vai trò vô cùng quan trọng, giúp giảm nguy cơ biến chứng, hỗ trợ gan hồi phục và đảm bảo hiệu quả điều trị được duy trì lâu dài. Một quy trình chăm sóc bệnh nhân sau nút mạch gan khoa học sẽ giúp người bệnh hồi phục nhanh hơn và sớm quay lại nhịp sống bình thường.
:format(webp)/benh_nhan_ung_thu_gan_co_an_duoc_tom_khong_3_4a00f595ab.png)
Tôm là một trong những loại hải sản quen thuộc, giàu dinh dưỡng và được nhiều người yêu thích nhờ hương vị thơm ngon cùng khả năng cung cấp nhiều khoáng chất có lợi cho sức khỏe. Tuy nhiên, đối với những người mắc bệnh lý nghiêm trọng như ung thư gan khi chức năng giải độc và chuyển hóa trong cơ thể bị ảnh hưởng thì việc lựa chọn thực phẩm phù hợp là vô cùng quan trọng. Vậy người bệnh ung thư gan có ăn được tôm không?
:format(webp)/bai_vietcach_phong_tranh_ung_thu_gan_don_gian_nhung_hieu_qua_html_6e1a4faa54.jpg)
Ung thư gan là căn bệnh nguy hiểm nhưng có thể ngăn ngừa hiệu quả nếu áp dụng những cách phòng tránh ung thư gan từ sớm. Việc tiêm vắc xin, kiểm soát bệnh lý về gan, duy trì lối sống lành mạnh và tránh xa các yếu tố nguy cơ là chìa khóa giúp giảm thiểu khả năng mắc căn bệnh này.
:format(webp)/huong_dieu_tri_u_te_bao_bieu_mo_quanh_mach_mau_gan_va_nhung_dieu_can_biet_aec442d7c2.jpg)
U tế bào biểu mô quanh mạch máu gan là một loại u hiếm gặp. Chính vì thế mà có không ít độc giả vẫn chưa có nhiều thông tin về loại u này cũng như hướng điều trị. Trong bài viết sức khỏe hôm nay, Nhà thuốc Long Châu sẽ chia sẻ đến bạn đọc những thông tin cơ bản nhất về hướng điều trị u tế bào biểu mô quanh mạch máu gan.
:format(webp)/tai_sao_ung_thu_gan_kho_phat_hien_2_4b761668c3.png)
Ung thư gan là một trong những căn bệnh có tỷ lệ tử vong cao ở cả nam và nữ, và một trong những lý do khiến căn bệnh này trở nên nguy hiểm là vì nó thường khó phát hiện ở giai đoạn sớm. Tại sao ung thư gan khó phát hiện? Trong giai đoạn đầu, khối u gan rất nhỏ và không gây ra triệu chứng rõ ràng, khiến người bệnh không cảm nhận được sự thay đổi trong cơ thể.
:format(webp)/nghien_cuu_cho_thay_moi_lien_he_bat_ngo_giua_viec_uong_ca_phe_va_ung_thu_gan_3_aaeb439c04.png)
Cà phê là một loại đồ uống được tiêu thụ rộng rãi trên thế giới, được chế biến bằng hạt cà phê rang từ quả của cây cà phê. Với sự phổ biến của việc uống cà phê, những lợi ích đến từ loại thức uống này nhận được nhiều sự quan tâm, chẳng hạn như tác động liên quan đến ung thư gan.
:format(webp)/nhung_luu_y_khi_cham_soc_benh_nhan_ung_thu_gan_giai_doan_cuoi_6415a6dec0.jpg)
Chăm sóc bệnh nhân ung thư gan giai đoạn cuối là một hành trình đòi hỏi sự hiểu biết và tình yêu thương. Bài viết này sẽ cung cấp cho bạn kiến thức về các triệu chứng thường gặp, cách chăm sóc toàn diện và hỗ trợ tinh thần cho người bệnh, giúp họ có được sự thoải mái và chất lượng cuộc sống tốt nhất trong giai đoạn cuối của cuộc đời.
:format(webp)/10_benh_ung_thu_thuong_gap_o_viet_nam_co_the_ban_chua_biet_5_47721e1a43.jpg)
Trong những năm gần đây, ung thư trở thành vấn đề y tế nghiêm trọng tại Việt Nam, không chỉ gây tổn hại lớn đến sức khỏe mà còn tạo áp lực về kinh tế và y tế. Phòng ngừa và phát hiện sớm đóng vai trò quan trọng trong việc giảm thiểu tỷ lệ tử vong và cải thiện chất lượng cuộc sống. Trong bài viết này, chúng ta cùng nhau tìm hiểu các bệnh ung thư thường gặp ở Việt Nam để nâng cao nhận thức và bảo vệ sức khỏe cộng đồng.
:format(webp)/sieu_am_co_phat_hien_ung_thu_gan_vai_tro_cua_tam_soat_ung_thu_gan_som_3_e796bf18e0.jpg)
Ung thư gan là một trong những loại ung thư nguy hiểm với tỷ lệ tử vong cao, phần lớn do việc chẩn đoán muộn khi bệnh đã tiến triển nặng. Điều này khiến nhiều người đặt câu hỏi: "Siêu âm có phát hiện ung thư gan không?". Qua những thông tin dưới đây, bạn sẽ hiểu rõ hơn về tầm quan trọng của việc tầm soát ung thư gan, đặc biệt đối với các nhóm nguy cơ cao.
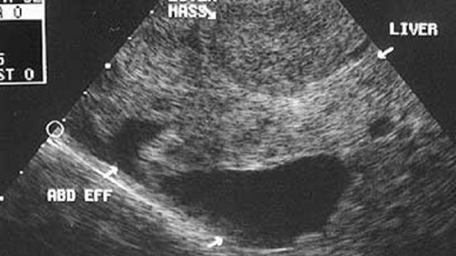
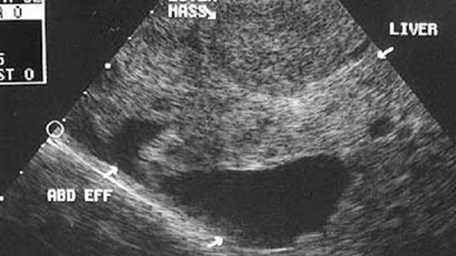
:format(webp)/hinh_anh_ung_thu_gan_nguyen_phat_va_thu_phat_nhu_the_nao_4034026500.jpg)
Ung thư gan là một trong những bệnh lý ác tính phổ biến và nguy hiểm, với tỷ lệ tử vong cao trên toàn thế giới. Hình ảnh ung thư gan nguyên phát thường xuất hiện với các khối u trong gan, trong khi ung thư gan thứ phát chủ yếu là sự di căn từ các cơ quan khác. Cùng tìm hiểu hình ảnh điển hình của ung thư gan nguyên phát và thứ phát trong bài viết hôm nay nhé.