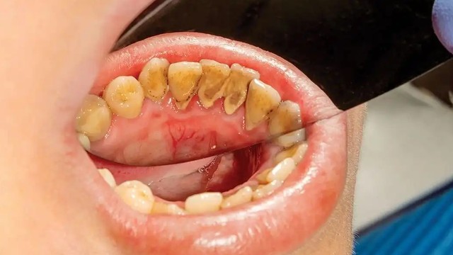
:format(webp)/lay_cao_rang_co_het_hoi_mieng_khong_quy_trinh_thuc_hien_3_f5251dbe7d.png)
Lấy cao răng là một phương pháp giúp loại bỏ mảng bám cứng đầu tích tụ trên răng và nướu, từ đó cải thiện sức khỏe răng miệng. Tuy nhiên, việc lấy cao răng có hết hôi miệng không còn tùy thuộc vào nhiều yếu tố khác như tình trạng răng miệng tổng thể, thói quen vệ sinh cá nhân và các nguyên nhân tiềm ẩn khác như bệnh lý tiêu hóa hoặc khô miệng.
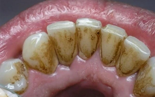
:format(webp)/cao_voi_rang_la_gi_loi_ich_cua_viec_cao_voi_rang_1_36534a84c6.png)
Bạn có thường xuyên gặp phải tình trạng răng ố vàng, mảng bám cứng đầu khó loại bỏ dù đã chải răng kỹ lưỡng? Đây có thể là dấu hiệu cho thấy bạn cần thực hiện một thủ thuật nha khoa quan trọng: Cạo vôi răng. Vậy, cạo vôi răng là gì?
:format(webp)/cao_voi_rang_co_anh_huong_gi_khong_va_loi_ich_cua_viec_cao_voi_rang_0_54fd64a1a1.jpg)
Cạo vôi răng hay còn gọi là lấy cao răng là một quy trình nha khoa phổ biến nhằm loại bỏ mảng bám cứng đầu và cao răng tích tụ trên bề mặt răng. Một số người lo ngại rằng việc cạo vôi răng có ảnh hưởng gì không. Hãy cùng chúng tôi tìm hiểu chi tiết hơn về chủ đề này cùng với một số vấn đề liên quan nhé!
:format(webp)/voi_rang_tu_troc_e027f14ee0.jpg)
Vôi răng hình thành do những mảng bám trên răng bị khoáng hóa. Vôi răng của mỗi người sẽ ở các cấp độ khác nhau và ảnh hưởng đối với sức khỏe răng miệng sẽ khác nhau. Nhiều người thắc mắc có nên để vôi răng tự tróc hay không? Nếu bạn cũng là một trong số đó, cùng Long Châu đi tìm lời giải đáp nhé!
Cao răng tự vỡ là tình trạng lớp cao răng bám quanh thành bờ lâu năm và bị tróc ra tự nhiên. Mặc dù cao răng tự vỡ không quá hiếm người gặp phải nhưng nhiều người vẫn thắc mắc cao răng tự vỡ liệu có nguy hiểm hay không?
:format(webp)/cao_voi_rang_va_tay_trang_rang_cung_luc_co_duoc_khong_d801265e86.jpg)
Cạo vôi răng và tẩy trắng răng cùng lúc có được không tùy thuộc vào tình trạng răng miệng của mỗi người và quyết định của bác sĩ nha khoa. Hãy cùng tham khảo một số trường hợp được và không được thực hiện hai kỹ thuật này cung lúc trong nội dung bài viết dưới đây nhé!
:format(webp)/cao_voi_rang_la_gi_gia_cao_voi_rang_hien_nay_la_bao_nhieu_s_R_Pi_I_1634990560_4bfe5aa453.jpg)
Cạo vôi răng là gì và có nên cạo vôi răng? Giá cạo vôi răng hiện nay là bao nhiêu? Bài viết dưới đây sẽ giúp bạn tìm lời giải đáp thỏa đáng cho vấn đề này nhé!