Tốt nghiệp loại giỏi trường Đại học Y Dược Huế. Từng tham gia nghiên cứu khoa học đề tài về Dược liệu. Nhiều năm kinh nghiệm làm việc trong lĩnh vực Dược phẩm. Hiện đang là giảng viên cho Dược sĩ tại Nhà thuốc Long Châu.
Phương Thy
20/07/2025
Mặc định
Lớn hơn
Cao răng tự vỡ là tình trạng lớp cao răng bám quanh thành bờ lâu năm và bị tróc ra tự nhiên. Mặc dù cao răng tự vỡ không quá hiếm người gặp phải nhưng nhiều người vẫn thắc mắc cao răng tự vỡ liệu có nguy hiểm hay không?
Cao răng hoặc vôi răng là hiện tượng tự nhiên cần được vệ sinh loại bỏ định kỳ để bảo vệ sức khỏe răng miệng. Tuy nhiên, nếu bỗng một ngày bạn gặp tình trạng cao răng tự vỡ thì phải làm sao?
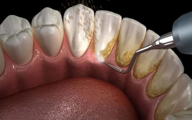
Cao răng được hình thành từ lượng thức ăn còn sót lại mà chưa được vệ sinh sạch sẽ. Ở giai đoạn đầu, cao răng mềm và khó nhận biết bằng mắt thường. Tuy nhiên, dần dần, chúng sẽ tích tụ trong khoang miệng có chứa muối vô cơ, chúng sẽ vôi hóa và trở nên cứng, bám chắc hơn. Lúc này, cao răng trở nên khó loại bỏ hơn và có thể gây nhiều nguy cơ cho sức khỏe răng miệng.

Cao răng tự vỡ là hiện tượng không phải hiếm gặp. Tình trạng này xảy ra khi lớp cao răng tích tụ thành bờ và bị bong tróc tự nhiên. Đa phần việc này sẽ xảy ra ở những người cao tuổi khi sức khỏe răng đã giảm đi.
Thành phần của cao răng gồm canxi carbonat và phosphate giúp kết cấu răng trở nên cứng cáp, bám chặt vào răng. Vì thế, chúng khó có thể tách hay bị vỡ, bong ra. Tuy nhiên, trên thực tế, phần cao này vẫn có thể tự vỡ vì một số nguyên nhân sau:
Thực tế, những mảng cao răng tự bị vỡ sẽ không nguy hiểm mà còn mang đến nhiều lợi ích cho sức khỏe răng miệng hơn. Việc tự vỡ sẽ giúp loại bỏ bớt những mảng cặn cứng bám chắc trên răng. Nhờ vậy, vi khuẩn trong khoang miệng được giảm thiểu và hạn chế các nguy cơ gây bệnh. Răng miệng của bạn sẽ nhận được những lợi ích:
Dù hiện tượng cao răng tự vỡ không nguy hiểm nhưng bạn vẫn nên thận trọng bởi những mảnh vỡ của chúng có thể còn đọng lại trong khoang miệng. Những mảnh này nếu không được loại bỏ sớm sẽ có nguy cơ chọc vào nướu, răng khiến bạn cảm thấy khó chịu hoặc thậm chí gây sưng nướu. Vì vậy, bạn nên vệ sinh khoang miệng sạch sẽ để loại bỏ hiện tượng này. Tốt nhất khi thấy những mảnh cao răng tự rơi ra, bạn nên tới trung tâm nha khoa để được xử lý một cách chuyên nghiệp.

Hiện nay, mọi người thường sử dụng các phương pháp lấy cao răng từ nguyên liệu thiên nhiên dễ thực hiện và hoàn toàn có thể tiến hành tại nhà. Tuy nhiên, những cách này chỉ là mẹo dân gian và hoàn toàn chưa được kiểm chứng về độ hiệu quả và an toàn. Vì vậy, bạn không nên áp dụng các cách thức này để tránh gây các tổn hại cho răng miệng. Thay vào đó, bạn nên đến nha khoa để được các chuyên gia loại bỏ cao răng.
Sau khi đã lấy sạch cao răng, bạn cần chú ý đến các vấn đề:

Việc lấy cao răng không chỉ giúp cải thiện tính thẩm mỹ của hàm răng mà còn giúp loại bỏ các tác nhân gây ra bệnh lý về răng miệng như: Bệnh viêm nha chu, viêm tủy răng ngược dòng, viêm nướu,... Tuy nhiên, việc lấy cao răng không nên bị lạm dụng. Nguyên nhân bởi nếu bạn lấy quá nhiều lần so với chỉ định của bác sĩ có thể dẫn đến hiện tượng chảy máu chân răng. Ngoài ra, răng sẽ trở nên nhạy cảm và dễ bị tổn thương hơn.
Qua những thông tin trong nội dung bài viết của nhà thuốc Long Châu, hy vọng bạn đã nắm rõ hơn về tình trạng cao răng tự vỡ. Nhìn chung, hiện tượng này không hề gây nguy hiểm đến sức khỏe nhưng bạn vẫn nên chú ý thực hiện các bước chăm sóc răng miệng khoa học để tránh các bệnh lý nguy hiểm cho sức khỏe.
Xem thêm:
Dược sĩ Đại họcNgô Kim Thúy
Tốt nghiệp loại giỏi trường Đại học Y Dược Huế. Từng tham gia nghiên cứu khoa học đề tài về Dược liệu. Nhiều năm kinh nghiệm làm việc trong lĩnh vực Dược phẩm. Hiện đang là giảng viên cho Dược sĩ tại Nhà thuốc Long Châu.