Từng làm ở Viện ISDS, nhiều năm cộng tác với CDC Thái Nguyên triển khai dự án phòng chống HIV/AIDS, 2 năm cộng tác với WHO.
03/11/2025
Mặc định
Lớn hơn
Cạo vôi răng là gì và có nên cạo vôi răng? Giá cạo vôi răng hiện nay là bao nhiêu? Bài viết dưới đây sẽ giúp bạn tìm lời giải đáp thỏa đáng cho vấn đề này nhé!
Bạn đang muốn cạo vôi răng nhưng còn băn khoăn về chi phí không biết giá cạo vôi răng là bao nhiêu? Trên thực tế, tùy thuộc vào tình trạng răng miệng, nha khoa thực hiện… mà sẽ có mức giá giao động khác nhau. Nhưng nhìn chung, mức chi phí này không quá đắt đỏ. Vậy cạo vôi răng là gì ? Có nên cạo vôi răng ? Cạo vôi răng giá bao nhiêu tiền ? Cùng tìm lời giải đáp trong bài viết dưới đây nhé!
Lấy vôi răng giá bao nhiêu? Giá cạo vôi răng tại Việt Nam thường dao động từ 200.000 đến 500.000 VNĐ, tùy vào mức độ vôi răng và phương pháp thực hiện và cơ sở nha khoa. Nếu có thêm dịch vụ như đánh bóng răng hoặc điều trị viêm nướu, chi phí có thể cao hơn.
Về cơ bản, giá cạo vôi răng bao nhiêu còn tùy thuộc vào nhiều yếu tố như cấp độ của cao răng, nha khoa thực hiện… Sở dĩ cạo vôi răng được chia làm các cấp độ khác nhau là bởi vì thực tế mức độ cao răng ở mỗi người sẽ có sự khác nhau. Người thì cao răng bao bọc xung quanh chân răng nhưng có người thì cao răng ăn sâu dưới nướu.
Sau khi thăm khám cụ thể, các nha sĩ sẽ chỉ định cách loại bỏ cao răng phù hợp và xác định giá cạo vôi răng bao nhiêu tiền? Hiện nay, công nghệ cạo vôi răng siêu âm giúp đánh bật cao răng nhanh chóng và sạch sẽ, kể cả những vùng khó tiếp cận nhất.
Không chỉ làm sạch cao răng, thao tác đánh bóng răng cũng sẽ giúp hạn chế tái bám cao răng giúp chân răng chắc khỏe và men răng trắng sáng hơn.

Giá cạo vôi răng còn tùy thuộc vào cấp độ của cao răng
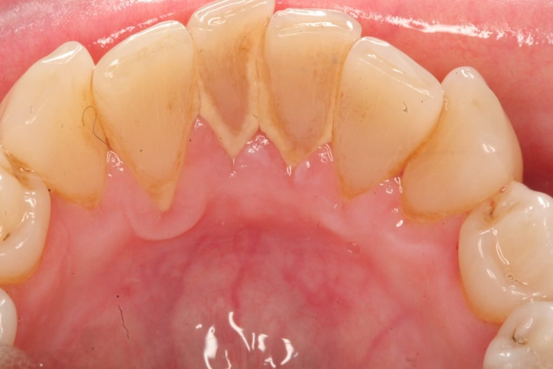
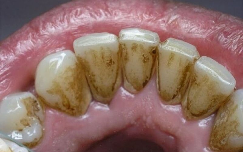
Trước khi tìm hiểu giá cạo vôi răng, cạo vôi răng bao nhiêu tiền thì đầu tiên bạn cần hiểu về vôi răng là gì. Vôi răng là các mảng bám dính chặt trên bề mặt răng. Chúng được tạo nên chủ yếu từ các mẩu vụn thực phẩm còn sót lại trên răng kết hợp cùng với xác vi khuẩn.
Thời gian đầu tích tụ, các mảng bám này thường khá mềm và theo thời gian chúng sẽ ngày càng cứng dần và bị vôi hóa hay cao răng. Vôi răng thường sẽ bám ở kẽ răng, vổ răng, dưới nướu răng của mình.
Vậy bao lâu cạo vôi răng 1 lần ? Các bác sĩ đã khuyến nghị rằng, bạn nên đi khám nha khoa định kỳ và thực hiện cạo vôi răng vào khoảng 6 tháng/1 lần. Việc thăm khám định kỳ sẽ giúp cho bác sĩ phát hiện và điều trị kịp thời về các bệnh lý răng miệng nếu có, điều này sẽ giúp bạn yên tâm hơn về sức khỏe răng miệng của mình một cách nhanh chóng và an toàn.

Vôi răng là các mảng bám dính chặt trên bề mặt răng
Trong một số trường hợp đặc biệt như răng bị sâu, viêm lợi và viêm chân răng, bác sĩ sẽ chỉ định lấy cao răng 3 tháng/lần. Việc lấy vôi răng sẽ ngăn chặn bệnh chuyển biến nặng và giúp quá trình điều trị đạt được kết quả tốt hơn. Do đó, nên cạo vôi răng bao lâu 1 lần sẽ tùy thuộc vào tình trạng răng miệng của mỗi người.
Ngoài giá cạo vôi răng, bạn cần phải nắm được lợi ích của việc lấy vôi răng định kỳ. Theo khuyến cáo của các nha sĩ, để răng miệng luôn được chắc khỏe mạnh thì việc lấy vôi răng định kỳ đóng vai trò rất quan trọng. Do vậy, nên được thực hiện mỗi năm từ 1 – 2 lần. Điều này sẽ đem lại nhiều lợi ích như:

Lợi ích của việc lấy vôi răng định kỳ
Chính vì vậy, để bảo vệ sức khỏe răng và xương hàm một cách tốt nhất cần phải cạo vôi răng kịp thời để phòng ngừa vi khuẩn tích tụ gây hại cho răng miệng. Hy vọng những chia sẻ trên đây sẽ giúp bạn có lời giải đáp cụ thể cho các vấn đề cạo vôi răng là gì ? Có nên cạo vôi răng và cạo vôi răng giá bao nhiêu tiền nhé!
Dược sĩ Đại học Nguyễn Tuấn Trịnh
Từng làm ở Viện ISDS, nhiều năm cộng tác với CDC Thái Nguyên triển khai dự án phòng chống HIV/AIDS, 2 năm cộng tác với WHO.