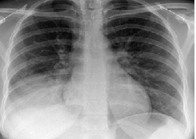
/https://cms-prod.s3-sgn09.fptcloud.com/tim_hieu_ve_hoi_chung_dong_dac_phoi_1_04a1503768.jpg)
Hội chứng đông đặc phổi là một bệnh lý của nhu mô phổi có thể được phát hiện thông qua các phương pháp lâm sàng và hình ảnh chụp X-quang. Có rất nhiều nguyên nhân có thể dẫn đến tình trạng bệnh này, do đó việc chẩn đoán bệnh yêu cầu sự kết hợp giữa việc thăm khám lâm sàng và thực hiện các xét nghiệm cận lâm sàng. Bài viết dưới đây sẽ giới thiệu cho bạn đọc những thông tin cơ bản nhất về hội chứng đông đặc phổi.
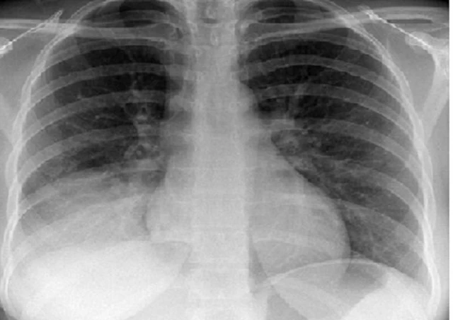
/https://cms-prod.s3-sgn09.fptcloud.com/xep_phoi_0_5e99e2582b.png)
Khi một cơ quan nào trong cơ thể xảy ra vấn đề thì đều gây ảnh hưởng đến sức khỏe, đặc biệt khi cơ quan đó là phổi. Đóng vai trò quyết định trong việc trao đổi khí giữa cơ thể và môi trường bên ngoài, phổi thường xuyên tiếp xúc với các tác nhân lạ nên khả năng cao bị bệnh lý gây tác động đến hệ hô hấp. Một trong số những bệnh nguy hiểm và đáng chú ý là xẹp phổi với tỷ lệ ngày càng gia tăng. Xẹp phổi là căn bệnh liên quan đến đường hô hấp với các biến chứng nguy hiểm, thậm chí đe dọa tính mạng nếu không được điều trị kịp thời. Hãy cùng Long Châu tìm hiểu nguyên nhân, triệu chứng, chẩn đoán và điều trị xẹp phổi sẽ giúp bạn tự bảo vệ bản thân và có biện pháp phòng tránh thích hợp.