Trên 10 năm công tác trong lĩnh vực Tiêm chủng, Cấp cứu và Nội khoa.
/https://cms-prod.s3-sgn09.fptcloud.com/xep_phoi_0_5e99e2582b.png)
/https://cms-prod.s3-sgn09.fptcloud.com/xep_phoi_0_5e99e2582b.png)
Bác sĩ Chuyên khoa 1Nguyễn Hoàng Hải
Trên 10 năm công tác trong lĩnh vực Tiêm chủng, Cấp cứu và Nội khoa.
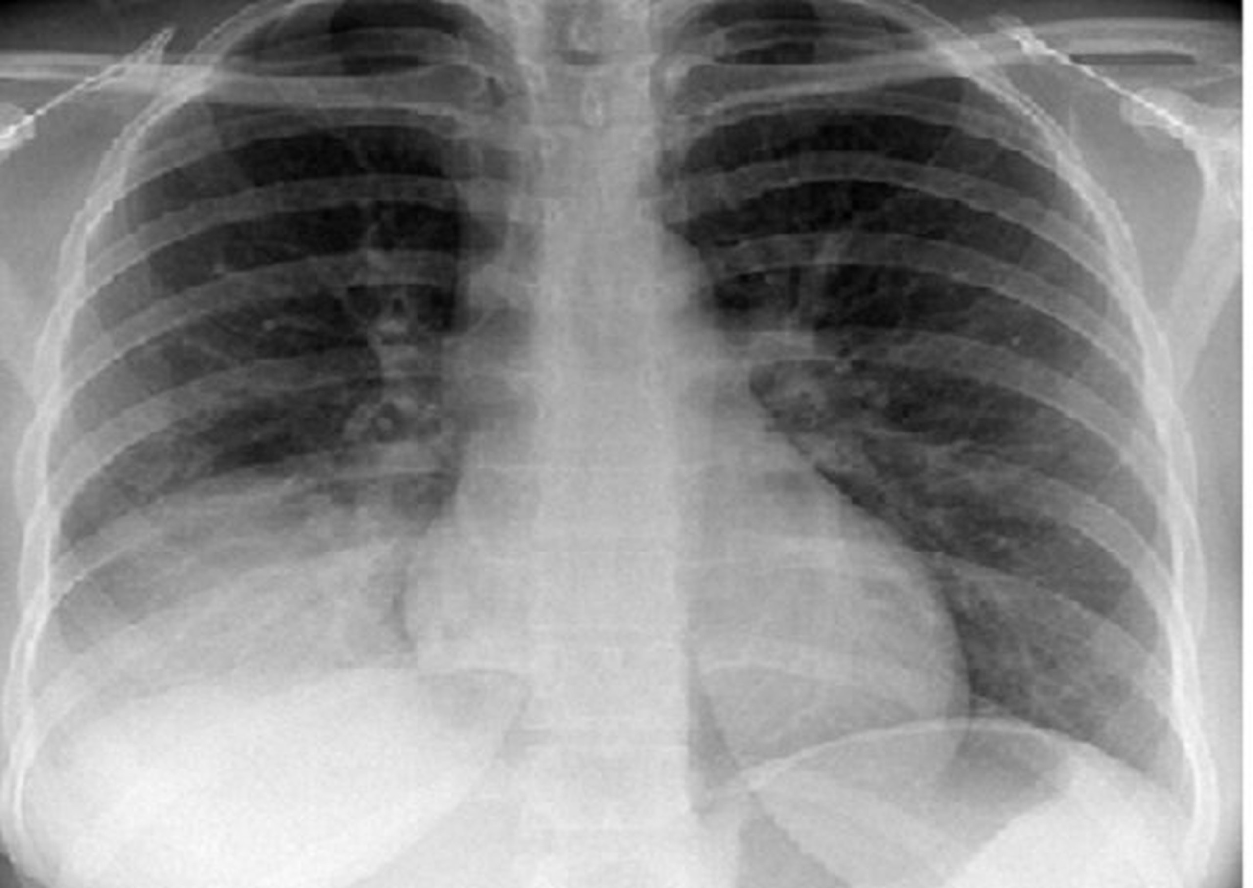
Khi một cơ quan nào trong cơ thể xảy ra vấn đề thì đều gây ảnh hưởng đến sức khỏe, đặc biệt khi cơ quan đó là phổi. Đóng vai trò quyết định trong việc trao đổi khí giữa cơ thể và môi trường bên ngoài, phổi thường xuyên tiếp xúc với các tác nhân lạ nên khả năng cao bị bệnh lý gây tác động đến hệ hô hấp. Một trong số những bệnh nguy hiểm và đáng chú ý là xẹp phổi với tỷ lệ ngày càng gia tăng. Xẹp phổi là căn bệnh liên quan đến đường hô hấp với các biến chứng nguy hiểm, thậm chí đe dọa tính mạng nếu không được điều trị kịp thời. Hãy cùng Long Châu tìm hiểu nguyên nhân, triệu chứng, chẩn đoán và điều trị xẹp phổi sẽ giúp bạn tự bảo vệ bản thân và có biện pháp phòng tránh thích hợp.
Xẹp phổi: Bệnh lý xảy ra ở đường hô hấp khi phổi hoặc các thùy phổi rơi vào trạng thái bị xẹp một phần hay toàn bộ dẫn đến các túi nhỏ phế nang không giãn nở như bình thường khi cơ thể thực hiện động tác hít - thở mà có chiều hướng bị xẹp (giảm thể tích) hoặc chứa đầy dịch.
/https://cms-prod.s3-sgn09.fptcloud.com/xep_phoi_1_52194d114b.png)
/https://cms-prod.s3-sgn09.fptcloud.com/xep_phoi_2_18f599955e.png)
/https://cms-prod.s3-sgn09.fptcloud.com/xep_phoi_3_0ced899d52.png)
/https://cms-prod.s3-sgn09.fptcloud.com/xep_phoi_4_f8faf44ae8.png)
/https://cms-prod.s3-sgn09.fptcloud.com/xep_phoi_5_4c11a36d17.png)
/https://cms-prod.s3-sgn09.fptcloud.com/xep_phoi_6_313ff4a86c.png)
/https://cms-prod.s3-sgn09.fptcloud.com/xep_phoi_7_81412464c7.png)
/https://cms-prod.s3-sgn09.fptcloud.com/xep_phoi_1_52194d114b.png)
/https://cms-prod.s3-sgn09.fptcloud.com/xep_phoi_2_18f599955e.png)
/https://cms-prod.s3-sgn09.fptcloud.com/xep_phoi_3_0ced899d52.png)
/https://cms-prod.s3-sgn09.fptcloud.com/xep_phoi_4_f8faf44ae8.png)
/https://cms-prod.s3-sgn09.fptcloud.com/xep_phoi_5_4c11a36d17.png)
/https://cms-prod.s3-sgn09.fptcloud.com/xep_phoi_6_313ff4a86c.png)
/https://cms-prod.s3-sgn09.fptcloud.com/xep_phoi_7_81412464c7.png)
Mức độ xẹp phổi nặng hay nhẹ, xuất hiện nhiều hay ít phụ thuộc rất lớn vào mức độ phổi bị xẹp, diện tích phổi bị xẹp và nguyên nhân gây bệnh.
Khi xẹp phổi xảy ra ở một vài phế nang, mức độ xẹp nhỏ và tiến triển chậm thì có thể không có bất kỳ triệu chứng nào. Tuy nhiên, khi xẹp phổi xảy ra ở nhiều phế nang, mức độ tiến triển nhanh và gây cản trở quá trình trao đổi khí, thiếu oxy vào máu thì biểu hiện triệu chứng rất rõ ràng. Các triệu chứng thiếu oxy liên quan đến mức độ nghiêm trọng của xẹp phổi:
Mức độ oxy trong máu càng thấp thì triệu chứng bệnh càng nghiêm trọng, bệnh xẹp phổi càng nguy hiểm. Nếu không điều trị kịp thời, đúng cách, có thể dẫn đến suy hô hấp và tử vong.
Xẹp phổi có thể dẫn biến chứng:
Nhận thấy sự xuất hiện của bất kỳ dấu hiệu, triệu chứng nào thì tốt nhất nên đến ngay bệnh viện để được thăm khám, xét nghiệm và được các bác sĩ chuyên khoa hướng dẫn điều trị.
Tuyệt đối không được thờ ơ trước các bất thường của cơ thể, vì có thể khiến bệnh tiến triển đến mức trầm trọng, việc chữa trị vô cùng khó khăn và gặp không ít rủi ro, biến chứng.
Có nhiều nguyên nhân dẫn đến xẹp phổi, nguyên nhân chính:
Tắc nghẽn đường thở: Sự tắc nghẽn đường thở có thể dẫn tới tình trạng xẹp phổi, bao gồm:
Sự chèn ép từ ngoài vào đường phổi: Khối u, hạch lympho.
Giảm thở hoặc ho.
Sự chèn ép hoặc xẹp thụ động nhu môi phổi do tràn khí màng phổi hoặc tràn dịch màng phổi: Màng phổi chứa một lượng dịch nhỏ, không chứa khí nhưng khi có tổn thương gây rò rỉ, khí sẽ tích tụ làm thay đổi áp suất trong phổi, gây chèn ép mô phổi và dẫn đến xẹp phế nang gây xẹp phổi.
Phẫu thuật ngực và bụng: Tình trạng không ho hoặc thở không sâu trong thời gian dài này có thể khiến một số phế nang bị xẹp.
Ngoài ra, một số nguyên nhân khác có thể dẫn đến xẹp phổi:
https://www.mayoclinic.org/diseases-conditions/atelectasis/symptoms-causes/syc-20369684
https://www.mayoclinic.org/diseases-conditions/atelectasis/diagnosis-treatment/drc-20369688
https://my.clevelandclinic.org/health/diseases/17699-atelectasis
https://www.msdmanuals.com/professional/pulmonary-disorders/bronchiectasis-and-atelectasis/atelectasis
Sau phẫu thuật, nguy cơ bị xẹp phổi tăng lên do một số yếu tố. Thuốc gây mê sử dụng trong quá trình phẫu thuật có thể làm giãn cơ và giảm khả năng mở rộng phổi, khiến khí không vào đủ và dẫn đến xẹp phổi. Nằm bất động lâu, đặc biệt là sau phẫu thuật vùng bụng hoặc ngực, cũng cản trở phổi mở rộng. Đau sau phẫu thuật có thể khiến bệnh nhân ngại hít thở sâu, làm tăng nguy cơ xẹp phổi. Những bệnh nhân có bệnh hô hấp trước đó, như COPD hoặc hen suyễn, cũng có nguy cơ cao hơn sau khi trải qua phẫu thuật.
Vật lý trị liệu hô hấp đóng vai trò quan trọng trong việc điều trị xẹp phổi bằng cách giúp bệnh nhân tăng cường hít thở sâu và giãn nở phổi. Các bài tập hít thở sâu và ho có kiểm soát giúp tăng lưu lượng khí đến các phần phổi bị xẹp, từ đó cải thiện chức năng phổi. Bên cạnh đó, kỹ thuật vỗ rung trên ngực hoặc sử dụng máy thông khí áp lực dương cũng có thể giúp loại bỏ dịch tiết và làm giãn nở các phế nang bị xẹp. Vật lý trị liệu giúp bệnh nhân phục hồi chức năng phổi nhanh chóng và hạn chế nguy cơ nhiễm trùng.
Ở những người đã mắc bệnh phổi mạn tính như phổi tắc nghẽn mạn tính hoặc hen suyễn, xẹp phổi có thể làm trầm trọng hơn các vấn đề về hô hấp. Xẹp phổi khiến phổi mất đi một phần khả năng trao đổi khí, dẫn đến tình trạng thiếu oxy kéo dài, làm tăng gánh nặng lên tim và phổi. Điều này làm cho các triệu chứng như khó thở, mệt mỏi, và ho trở nên nặng hơn. Bệnh nhân có thể cần tăng cường sử dụng liệu pháp oxy hoặc các thuốc giãn phế quản để duy trì chức năng hô hấp. Xẹp phổi cũng làm tăng nguy cơ nhiễm trùng phổi và các biến chứng khác ở những người đã có phổi yếu, làm giảm đáng kể chất lượng cuộc sống và khả năng hoạt động của họ.
Xẹp phổi có thể được phòng ngừa trong quá trình hồi phục sau phẫu thuật bằng nhiều biện pháp. Bệnh nhân cần được khuyến khích hít thở sâu và ho có kiểm soát để giúp giãn nở phổi và loại bỏ dịch tiết. Máy hít sâu kích thích (incentive spirometer) là một thiết bị đơn giản giúp bệnh nhân luyện tập hít thở sâu để ngăn ngừa xẹp phổi. Ngoài ra, việc sớm vận động, thậm chí chỉ cần ngồi dậy hoặc đi bộ nhẹ, cũng có tác dụng quan trọng trong việc giảm nguy cơ xẹp phổi. Bác sĩ có thể kê thuốc giảm đau để giúp bệnh nhân không ngại hít thở sâu.
Xẹp phổi có thể ảnh hưởng đến hệ tuần hoàn do việc giảm dung tích phổi làm giảm lượng oxy mà phổi cung cấp vào máu. Khi máu không nhận đủ oxy, tim phải tăng cường hoạt động để bơm máu đi khắp cơ thể nhằm đáp ứng nhu cầu oxy của các cơ quan. Điều này có thể dẫn đến tăng áp lực động mạch phổi, và nếu tình trạng kéo dài, có thể gây ra tăng áp động mạch phổi và làm cho tâm thất phải của tim phải làm việc quá sức. Ở những người bị xẹp phổi lâu dài, có thể phát sinh tình trạng suy tim phải và gây nguy hiểm đến tính mạng.
Xuất huyết phế nang lan tỏa: Tiên lượng và biến chứng tiềm ẩn
Xẹp phổi: Nhận biết sớm - Phòng ngừa tốt - Hồi phục nhanh
4 nguyên nhân gây áp xe phổi bạn không nên bỏ qua
Xuất huyết phế nang lan tỏa: Tiên lượng và biến chứng tiềm ẩn
Xẹp phổi: Nhận biết sớm - Phòng ngừa tốt - Hồi phục nhanh
4 nguyên nhân gây áp xe phổi bạn không nên bỏ qua
Hỏi đáp (0 bình luận)