Tốt nghiệp Khoa Dược trường Đại học Nam Cần Thơ. Có nhiều năm kinh nghiệm công tác trong lĩnh vực Dược phẩm. Hiện đang giảng viên cho Dược sĩ tại Nhà thuốc Long Châu.
Chùng Linh
16/09/2025
Mặc định
Lớn hơn
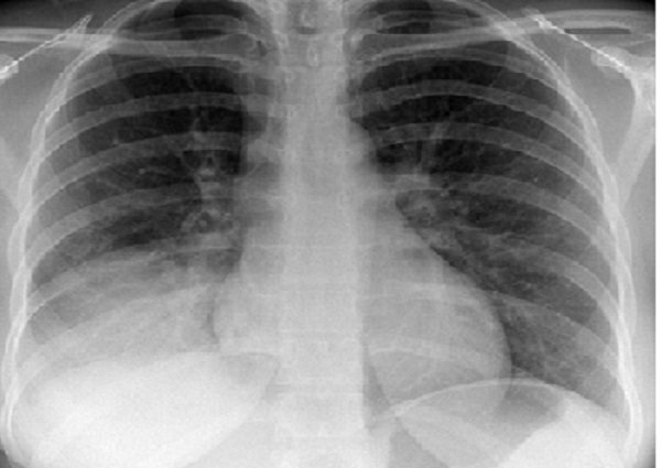
Hội chứng đông đặc phổi là một bệnh lý của nhu mô phổi có thể được phát hiện thông qua các phương pháp lâm sàng và hình ảnh chụp X-quang. Có rất nhiều nguyên nhân có thể dẫn đến tình trạng bệnh này, do đó việc chẩn đoán bệnh yêu cầu sự kết hợp giữa việc thăm khám lâm sàng và thực hiện các xét nghiệm cận lâm sàng. Bài viết dưới đây sẽ giới thiệu cho bạn đọc những thông tin cơ bản nhất về hội chứng đông đặc phổi.
Hội chứng đông đặc phổi là một trong những vấn đề sức khỏe nghiêm trọng và tiềm ẩn nhiều rủi ro đối với bệnh nhân. Hội chứng này có thể được hiểu một cách đơn giản là tình trạng mà động mạch phổi bị tắc nghẽn do đông máu hoặc cặn bã trong hệ thống tuần hoàn. Nếu không được phát hiện và điều trị kịp thời, tình trạng này có thể dẫn đến những biến chứng nguy hiểm như đột quỵ phổi và thậm chí gây tử vong. Hãy cùng bài viết dưới đây điểm qua những thông tin cần thiết về hội chứng đông đặc phổi.
Hội chứng đông đặc phổi là hiện tượng không khí trong các đường dẫn khí nhỏ của phổi bị thay thế bằng thứ khác như mủ, máu hay thức ăn trong dạ dày. Đây là một tình trạng y tế nghiêm trọng và tiềm ẩn nguy hiểm cho sức khỏe của người bệnh. Hiểu đơn giản, hội chứng đông đặc phổi là tình trạng mà các động mạch phổi bị tắc nghẽn do đông máu hoặc cặn bã trong hệ thống tuần hoàn. Tình trạng này có thể gây ra các biến chứng nguy hiểm như đột quỵ phổi và tử vong nếu không được phát hiện và điều trị kịp thời.
Triệu chứng lâm sàng và hình ảnh phổi trên phim chụp X-quang gần như tương tự giữa các nguyên do khác nhau. Do đó, thường thì bạn sẽ cần nhiều xét nghiệm hơn để xác định nguyên nhân cụ thể gây ra tình trạng đông đặc trong phổi của bạn.

Phổi đông đặc có thể xuất phát từ nhiều nguyên nhân, bao gồm:

Các dấu hiệu phổ biến của phổi đông đặc bao gồm:
Nếu bạn gặp bất kỳ dấu hiệu hoặc triệu chứng nêu trên, hoặc có bất kỳ thắc mắc nào, vui lòng tìm kiếm sự tư vấn từ bác sĩ. Tình trạng sức khoẻ của mỗi người là khác nhau, do đó, việc tham khảo ý kiến của bác sĩ sẽ giúp bạn chọn lựa được phương án điều trị phù hợp nhất.
Tùy thuộc vào nguyên nhân gây ra phổi đông đặc, bác sĩ sẽ quyết định phương pháp điều trị phù hợp.
Để giảm thiểu nguy cơ mắc phải hội chứng đông đặc phổi, điều quan trọng nhất là duy trì một lối sống lành mạnh, không hút thuốc và tránh xa các yếu tố nguy cơ gây tắc nghẽn động mạch phổi.
Đối với những người có nguy cơ mắc cao, việc kiểm tra sức khỏe định kỳ và tham gia chương trình tầm soát theo sự hướng dẫn của bác sĩ là cực kỳ quan trọng.

Từ những thông tin trong bài viết, có thể thấy hội chứng đông đặc phổi là một bệnh lý nguy hiểm và nên được chẩn đoán sớm và điều trị kịp trời. Phát hiện các triệu chứng ban đầu và tìm kiếm sự giúp đỡ y tế từ bác sĩ không chỉ tăng khả năng điều trị thành công mà còn giảm thiểu tác động tiêu cực đối với sức khỏe của bệnh nhân. Đồng thời, việc duy trì một lối sống lành mạnh và thực hiện chăm sóc sức khỏe định kỳ cũng đóng vai trò quan trọng trong việc ngăn ngừa hội chứng đông đặc phổi.
Dược sĩ Đại họcNguyễn Thị Thảo Nguyên
Tốt nghiệp Khoa Dược trường Đại học Nam Cần Thơ. Có nhiều năm kinh nghiệm công tác trong lĩnh vực Dược phẩm. Hiện đang giảng viên cho Dược sĩ tại Nhà thuốc Long Châu.