Tốt nghiệp loại giỏi trường Đại học Y Dược Huế. Từng tham gia nghiên cứu khoa học đề tài về Dược liệu. Nhiều năm kinh nghiệm làm việc trong lĩnh vực Dược phẩm. Hiện đang là giảng viên cho Dược sĩ tại Nhà thuốc Long Châu.
Phương Nhi
20/09/2023
Mặc định
Lớn hơn
Đau đầu mắt mờ ảnh hưởng đến sự tập trung trong công việc và gây khó khăn trong sinh hoạt hàng ngày đồng thời đây có thể là dấu hiệu cảnh báo một số vấn đề sức khỏe.
Bạn đã từng gặp phải tình trạng đau đầu mắt mờ, khó nhìn gây ảnh hưởng khá nhiều tới sức khỏe, hiệu quả làm việc cũng như sinh hoạt hàng ngày. Hiểu rõ nguyên nhân bạn bị đau đầu mắt mờ do đâu, giúp tìm giải pháp và can thiệp điều trị kịp thời.
Thông thường bệnh nhân có cảm giác đau đầu mờ mắt kèm theo cảm giác thị lực giảm.
Cơn đau đầu có thể được phân thành hai loại chính: Đau đầu tiền triệu và đau đầu không tiền triệu. Đau đầu tiền triệu thường đi kèm với các dấu hiệu cảnh báo như chóng mặt, choáng váng, hoặc tê mặt, thường xuất hiện trước cơn đau vài phút đến vài tiếng. Ngược lại, đau đầu không tiền triệu không có các tín hiệu cảnh báo rõ ràng.

Ngoài cảm giác đau đầu, nhiều người có thể trải qua thay đổi về thị giác, thậm chí sau khi cơn đau kết thúc. Mờ mắt, hoa mắt, và nhạy cảm với ánh sáng và hình ảnh là những triệu chứng thường gặp. Điều này thường xuất hiện do thay đổi áp lực huyết và tốc độ dòng máu. Việc này khiến người bệnh lo lắng về nguyên nhân cơ bản của cơn đau đầu và triệu chứng suy giảm thị giác.
Tình trạng đau đầu mờ mắt có thể ảnh hưởng đáng kể đến sức khỏe và cuộc sống hàng ngày của người bệnh. Bệnh nhân thường trải qua cảm giác mệt mỏi, khó tập trung vào công việc và học tập. Để điều trị hiệu quả, chúng ta cần hiểu rõ nguyên nhân của tình trạng này.
Chấn thương sọ não: Chấn thương sọ não có thể gây ra đau đầu và suy giảm thị lực sau khi bệnh nhân trải qua tai nạn hoặc chấn thương đầu. Đây là vấn đề nghiêm trọng và cần được chẩn đoán và điều trị kịp thời.
Đau nửa đầu: Nếu bạn tự hỏi đau đầu mờ mắt là bệnh gì, có thể đó là dấu hiệu của đau nửa đầu. Bệnh này thường đi kèm với triệu chứng như mắt mờ, nhạy cảm với ánh sáng, và có thể kéo dài từ vài giờ đến vài ngày. Điều này có thể ảnh hưởng đến chất lượng cuộc sống và cần điều trị.

Hạ đường huyết: Đau đầu mờ mắt cũng có thể xuất phát từ tình trạng hạ đường huyết. Khi não không nhận đủ glucose cần thiết, người bệnh có thể trải qua đau đầu, suy giảm thị lực, và nhiều triệu chứng khác. Đây là tình huống cấp cứu và cần được xử lý kịp thời.
Ngoài ra, còn có nhiều nguyên nhân khác gây ra đau đầu mờ mắt như biến đổi huyết áp đột ngột, ngộ độc carbon monoxide, hoặc đột quỵ. Việc xác định rõ nguyên nhân cụ thể của triệu chứng này là quan trọng để có phương án điều trị phù hợp.
Khi triệu chứng đau đầu mờ mắt lặp lại thường xuyên và ngày càng nặng hơn, việc điều trị và xác định nguyên nhân chính là rất quan trọng. Bác sĩ sẽ sử dụng nhiều công cụ và kỹ thuật chẩn đoán hiện đại để giúp xác định nguyên nhân của triệu chứng này:
Khám lâm sàng: Bác sĩ sẽ tiến hành một cuộc khám lâm sàng để kiểm tra tình trạng thần kinh của bệnh nhân và thu thập thông tin về triệu chứng.
X - quang sọ não: Một loại hình ảnh X - quang của sọ não có thể được sử dụng để xem xét cấu trúc sọ và kiểm tra xem có bất kỳ sự thay đổi hoặc chấn thương nào.
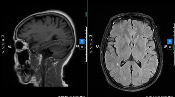
MRI sọ não: Công nghệ hình ảnh chức năng nâng cao này cho phép tạo ra hình ảnh chi tiết của não bộ và có thể phát hiện các vấn đề như khối u, chấn thương, hay bất kỳ biến đổi nào khác.

Điện não đồ (EEG): EEG được sử dụng để theo dõi hoạt động điện của não và có thể giúp xác định nếu có bất kỳ hoạt động bất thường nào trong não.
Chụp mạch máu não: Các xét nghiệm hình ảnh có thể được sử dụng để kiểm tra sự lưu thông của máu trong não và phát hiện vấn đề như phình động mạch não.
Dựa trên kết quả của các xét nghiệm này, bác sĩ sẽ đưa ra chẩn đoán và phác đồ điều trị phù hợp nhằm giảm bớt triệu chứng đau đầu mờ mắt và cải thiện sức khỏe của bệnh nhân.
Dược sĩ Đại họcNgô Kim Thúy
Tốt nghiệp loại giỏi trường Đại học Y Dược Huế. Từng tham gia nghiên cứu khoa học đề tài về Dược liệu. Nhiều năm kinh nghiệm làm việc trong lĩnh vực Dược phẩm. Hiện đang là giảng viên cho Dược sĩ tại Nhà thuốc Long Châu.