Tốt nghiệp đại học Khoa Dược. Có kinh nghiệm hơn 10 năm trong lĩnh vực Dược phẩm, tư vấn thuốc và thực phẩm chức năng. Hiện đang là giảng viên cho Dược sĩ tại Nhà thuốc Long Châu.
21/06/2023
Mặc định
Lớn hơn
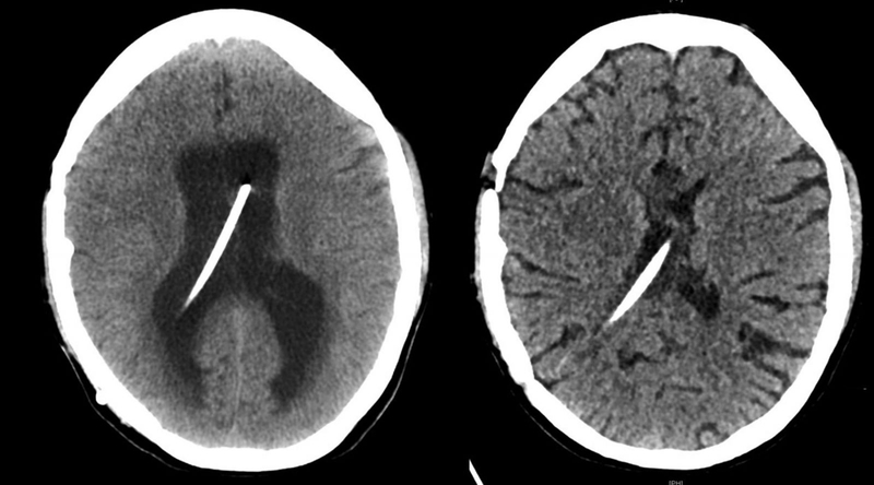
Não úng thủy là một tình trạng đặc trưng bởi sự tích tụ bất thường dịch não tủy trong não thất. Trong quá trình não úng thủy, chất lỏng dư thừa sẽ làm cho não thất giãn rộng. Biến chứng não úng thủy có thể sẽ xảy ra khi tình trạng này không được phát hiện và điều trị kịp thời, gây nguy hiểm cho tính mạng của người bệnh.
Não úng thủy là một tình trạng bệnh lý phức tạp có thể xảy ra ở mọi lưa tuổi. Khi không được phát hiện kịp thời sẽ gây ra nhiều biến chứng não úng thủy nguy hiểm. Bài viết dưới đây sẽ giúp bạn đọc hiểu rõ hơn về bệnh não úng thủy, cũng như cách phát hiện tình trạng nguy hiểm này.
Não úng thủy là tình trạng xảy ra khi chất lỏng tích tự trong hộp sọ và gây phù não. Thông thường, dịch não tủy thường di chuyển trong các khoang của não, còn được gọi là não thất. Trong quá trình não úng thủy, chất lỏng dư thừa sẽ làm cho não thất giãn rộng, gây ảnh hưởng lên các bộ phận khác của não.
Tổn thương não có thể xảy ra do sự tích tụ dịch não tủy. Điều này có thể dẫn đến suy giảm khả năng phát triển về thể chất và trí tuệ. Tình trạng này cần được phát hiện và điều trị kịp thời để ngăn ngừa các biến chứng nghiêm trọng.

Não úng thủy chủ yếu xảy ra ở trẻ em và người lớn trên 60 tuổi, nhưng những người trẻ hơn cũng có thể mắc bệnh này. Theo Viện Quốc gia về Rối loạn Thần kinh và Đột quỵ Hoa Kỳ, ước tính rằng có từ 1 – 2 trong số 1000 trẻ sơ sinh bị não úng thủy bẩm sinh.
Não có thể sẽ bị tổn thương vĩnh viễn nếu như tình trạng não úng thủy không được phát hiện kịp thời. Bệnh này thường phổ biến ở trẻ em, nhưng có thể xảy ra ở mọi độ tuổi.
Các triệu chứng ban đầu của não úng thủy ở trẻ sơ sinh bao gồm:
Đối với trẻ lớn hơn:

Các triệu chứng não úng thủy ở thanh niên và người trưởng thành bao gồm:
Dạng tình trạng này thường bắt đầu từ từ và phổ biến ở người lớn trên 60 tuổi. Một trong những dấu hiệu sớm nhất là ngã đột ngột mà không mất ý thức. Các triệu chứng phổ biến khác của não úng thủy áp suất bình thường bao gồm:
Dịch não tủy thường chảy ra não và tủy sống của bạn. Chất dịch quan trọng này bảo vệ não và tủy sống, hoạt động như một tấm đệm hấp thụ cú sốc do va đập hoặc chấn thương. Nó cũng hỗ trợ vận chuyển đưa các chất thải ra khỏi hệ thần kinh trung ương, giúp não hoạt động một cách trơn tru.
Dịch não tủy hỗ trợ não và tủy sống trong việc:
Trong một số trường hợp, não úng thủy xuất hiện trước khi em bé được sinh ra. Điều này có thể là do:
Tình trạng này cũng có thể xảy ra ở trẻ mới biết đi và trẻ lớn hơn do:

Khi não úng thủy xảy ra ở người cao tuổi (trên 60 tuổi), nồng độ dịch não tủy sẽ tăng lên, nhưng áp suất lại vẫn ở mức bình thường. Dù vậy, nó vẫn sẽ khiến não bị phù và có thể dẫn đến suy giảm chức năng não. Ở người cao tuổi, tình trạng này thường là do sự tắc nghẽn ở não thất, khiến dịch não tủy khó lưu thông.
Não úng thủy được điều trị bằng một trong hai lựa chọn phẫu thuật sau:
Hệ thống Shunt thường hoạt động tốt, nhưng chúng có thể không dẫn lưu dịch não tủy đúng cách do hỏng hóc cơ học hoặc do nhiễm trùng. Khi tình trạng này xảy ra, dịch não tủy một lần nữa sẽ tích tụ và các triệu chứng có thể tái phát.
Não úng thủy có thể gây nguy hiểm đến tính mạng nếu không được điều trị kịp thời. Não úng thủy có thể gây ra những vấn đề về chức năng tâm thần, bao gồm suy giảm trí nhớ và khả năng tập trung, gây ra nhiều bất tiện cho người bệnh. Các biện pháp can thiệp rất khó để phục hồi hoàn toàn các tổn thương não đã xuất hiện.
Biến chứng não úng tủy có trở nên phức tạp hay không phụ thuộc phần lớn vào mức độ các triệu chứng cũng như thời điểm được điều trị.

Với những lợi ích của phẫu thuật, liệu pháp phục hồi và can thiệp giáo dục, nhiều người bị não úng thủy có thể duy trì chất lượng cuộc sống một cách tương đối ổn định.
Bạn không thể ngăn ngừa bệnh não úng thủy, nhưng bạn có thể giảm nguy cơ mắc bệnh não úng thủy và cho trẻ bằng những cách sau:
Vậy là bạn đã cùng Nhà thuốc Long Châu trả lời câu hỏi "Biến chứng não úng thủy nguy hiểm thế nào?". Qua bài viết, bạn có thể nhận biết những triệu chứng của não úng thủy cũng như biện pháp xử trí phổ biến và hiệu quả. Nhà thuốc Long Châu xin chúc bạn một ngày làm việc thật hiệu quả!
Ánh Vũ
Nguồn tham khảo: Tổng hợp
Dược sĩ Đại họcNguyễn Thị Hồng Nhung
Tốt nghiệp đại học Khoa Dược. Có kinh nghiệm hơn 10 năm trong lĩnh vực Dược phẩm, tư vấn thuốc và thực phẩm chức năng. Hiện đang là giảng viên cho Dược sĩ tại Nhà thuốc Long Châu.