Tốt nghiệp loại giỏi trường Đại học Y Dược Huế. Từng tham gia nghiên cứu khoa học đề tài về Dược liệu. Nhiều năm kinh nghiệm làm việc trong lĩnh vực Dược phẩm. Hiện đang là giảng viên cho Dược sĩ tại Nhà thuốc Long Châu.
21/06/2023
Mặc định
Lớn hơn
Trám răng là một trong những giải pháp giúp phục hình và bảo vệ răng được nhiều người lựa chọn bởi tính hiệu quả, thực hiện đơn giản và nhanh chóng.
Việc chăm sóc răng cẩn thận sau khi trám răng là điều bắt buộc để giúp đảm bảo độ bền của răng. Tuy nhiên, không phải ai cũng biết cách bảo vệ tốt nhất và có khả năng gây hại cho răng miệng. Vây “cách bảo vệ răng trám để duy trì hiệu quả lâu dài là gì?”. Hãy cùng Nhà Thuốc Long Châu tìm hiểu trong bài viết dưới đây nhé!
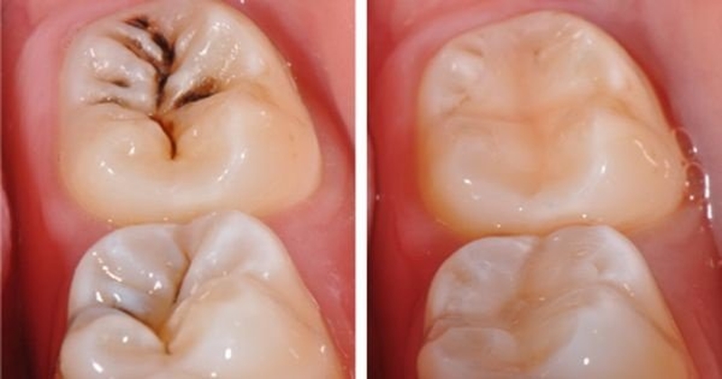
Trám răng là một phương pháp được sử dụng trong nha khoa để khôi phục lại những chiếc răng bị sâu, vỡ, sứt mẻ về nguyên trạng với đầy đủ chức năng của răng tự nhiên. Tùy theo yêu cầu của bệnh nhân và nha sĩ mà vật liệu hàn răng có thể sử dụng hợp chất kim loại hoặc nhựa composite.
Khi trám răng cho bệnh nhân, trước tiên bác sĩ sẽ loại bỏ nguyên nhân, làm sạch vùng bị sâu do sâu răng hoặc các bệnh răng miệng khác và lấp đầy khoảng trống bằng một chất trám đặc biệt.
Bằng cách trám và bít lại những khoảng trống mà vi khuẩn có thể xâm nhập vào răng, trám răng thẩm mỹ giúp ngăn ngừa sâu hơn hoặc giúp răng trở lại hình dạng ban đầu và phục hồi khả năng ăn nhai. Đồng thời, phương pháp này không ảnh hưởng đến cấu trúc và khuôn mặt răng do không cần mài cùi hay mão răng.

Ngoài điều trị chấn thương và bệnh lý răng miệng, nhiều người muốn trám răng vì các lý do thẩm mỹ khác,... Một số lý do phổ biến để trám răng là:
Sâu răng là bệnh do vi khuẩn lên men tinh bột trong thức ăn tạo ra axit. Axit hòa tan các khoáng chất trong răng, tạo ra các lỗ trống trên bề mặt men răng. Sâu răng cũng có thể do men răng bị khiếm khuyết. Men răng dễ tan trong axit do thành phần muối khoáng trên bề mặt men răng.
Bề mặt men có nhiều lỗ rỗng và rãnh sâu, giúp thức ăn di chuyển dễ dàng nhưng khó vệ sinh. Thực phẩm là nguồn cung cấp chất dinh dưỡng cho vi khuẩn và axit sinh ra có thể gây ra các lỗ sâu trong các lỗ và rãnh.
Phương pháp điều trị: Sử dụng vật liệu trám để trám bít lỗ sâu răng nhằm ngăn chặn sự xâm nhập và phá hủy của cùi răng bởi vi khuẩn hoặc các tác nhân bên ngoài như nhiệt độ, hóa chất. Vật liệu trám thông dụng hiện nay: composite, amalgam, GIC (xi măng ion thủy tinh), composite có nhiều màu sắc phù hợp với các màu răng khác nhau do tính thẩm mỹ cao.
Trong trường hợp tai nạn làm răng bị gãy, vỡ thì sẽ được phục hình lại hình thể ban đầu bằng vật liệu trám mà vẫn đảm bảo tốt chức năng ăn nhai của răng.
Mòn răng: Thường do nhiều nguyên nhân, chẳng hạn như:
+ Chải răng không đúng cách (chải chéo), chải quá mạnh, dùng bàn chải lông cứng, làm mòn lớp men (thường mỏng) ở vùng cổ răng, khiếm khuyết, lộ lớp ngà răng, gây ê buốt khi ăn thức ăn nóng hoặc lạnh. Sau đó có thể bịt kín vết mài mòn và bảo vệ lớp ngà răng.
+ Nghiến răng có thể gây mòn cổ răng (do xoắn), mặt nhai, vết cắt,...
Đối với những răng có màu sẫm và kém thẩm mỹ, có thể sử dụng vật liệu trám màu nhạt để phủ lên bề mặt răng nhằm cải thiện màu sắc của răng.
Chủ yếu dành cho trẻ em, răng hàm có rãnh sâu, dễ đọng lại mảng bám thức ăn và không dễ làm sạch. Sau đó nha sĩ sẽ thực hiện trám răng để trám bít lỗ sâu răng đó lại.

Sử dụng bàn chải lông mềm để tránh làm tổn thương nướu và làm mòn men răng và miếng trám.
Khi chải răng, nhớ đặt bàn chải nghiêng 45 độ so với nướu răng của bạn.
Nhẹ nhàng di chuyển bàn chải theo chiều dọc để làm sạch mọi bề mặt của răng.
Không bao giờ chải răng theo chiều ngang vì chúng có thể làm mòn cổ răng và có xu hướng làm bong bật miếng trám.
Đừng quên dùng chỉ nha khoa sau mỗi bữa ăn nếu thức ăn mắc kẹt trong kẽ răng mà bàn chải khó có thể làm sạch.
Nhẹ nhàng chải lưỡi để loại bỏ vi khuẩn và giữ hơi thở thơm tho.
Thức ăn quá cứng: Bạn nên tránh những thức ăn quá cứng, vì khi đó răng phải dùng nhiều lực để nhai và nghiền nát thức ăn. Chất trám không thay thế được men và ngà răng nên khi bệnh nhân có thói quen ăn thức ăn quá cứng sẽ dễ bị bong tróc và rơi ra.
Thức ăn quá nóng hoặc quá lạnh: Bạn nên tránh thức ăn quá nóng hoặc quá lạnh. Không giống như bọc răng sứ, các vật liệu được sử dụng để trám răng, chẳng hạn như amalgam hoặc composite, thường không bền và đặc biệt nhạy cảm với nhiệt và lạnh. Những thực phẩm này có thể gây kích ứng răng và miệng, khiến miếng trám bị rơi ra ngoài.
Thức ăn và đồ uống sẫm màu: Thức ăn sậm màu dễ làm răng bạn ố vàng, trông khó coi. Cà phê, nước ngọt có ga, trà đen, nước chấm,… là những thực phẩm nên tránh sau khi trám răng. Những đồ uống này có thể làm thay đổi màu sắc của miếng trám, gây mất thẩm mỹ, đặc biệt là trám răng bằng hợp chất.
Vệ sinh răng miệng sạch sẽ sau khi trám răngKhi trám răng bằng vật liệu composite, chúng ta cần hạn chế ăn uống trong 2 giờ đầu vì miếng trám cần có thời gian để đạt được độ cứng chắc ổn định, không bị xê dịch.
Bạn nên đi khám răng định kỳ để kiểm tra sức khỏe răng miệng. Nếu miếng trám bị mòn hoặc hư hỏng, cần được thay thế càng sớm càng tốt để tránh làm mòn sâu răng. Áp lực liên tục từ việc nhai hoặc mài có thể khiến miếng trám bị mòn, bị mẻ hoặc bong tróc. Nếu không chú ý đến những thay đổi của vết trám sẽ dễ bỏ sót chẩn đoán, do đó, việc thường xuyên kiểm tra vết trám tại nhà và thăm khám nha sĩ định kỳ sau khi trám răng là vô cùng quan trọng.
Sau khi hoàn tất, răng có thể nhạy cảm hơn với không khí, thức ăn hoặc nhiệt độ. Thông thường, sau một vài tuần, răng của bạn sẽ trở lại bình thường và bạn sẽ không cần dùng thuốc giảm đau.
Nếu bạn bị đau khi cắn vào thức ăn, có thể là do miếng trám có vấn đề và bạn nên đi khám ngay. Nếu bạn cảm thấy đau khi chạm vào răng, có thể là do vật liệu trám răng khác, chẳng hạn như miếng trám amalgam gần đây bạn đã sử dụng trước đó và miếng trám màu vàng gần đó. Tình trạng này sẽ tự biến mất nên bạn không cần đến sự can thiệp của nha sĩ.
Trên đây là những chia sẻ của Nhà Thuốc Long Châu về “cách bảo vệ răng trám để duy trì hiệu quả lâu dài”. Nếu bạn có vấn đề gì về răng miệng và muốn trám răng thì hãy thu xếp đến nha khoa để được thăm khám và điều trị sớm, đừng để chậm trễ gây ảnh hưởng xấu đến răng miệng.
Nguyễn Nhung
Nguồn tham khảo: Tổng hợp
Dược sĩ Đại họcNgô Kim Thúy
Tốt nghiệp loại giỏi trường Đại học Y Dược Huế. Từng tham gia nghiên cứu khoa học đề tài về Dược liệu. Nhiều năm kinh nghiệm làm việc trong lĩnh vực Dược phẩm. Hiện đang là giảng viên cho Dược sĩ tại Nhà thuốc Long Châu.