Tốt nghiệp loại giỏi trường Đại học Y Dược Huế. Từng tham gia nghiên cứu khoa học đề tài về Dược liệu. Nhiều năm kinh nghiệm làm việc trong lĩnh vực Dược phẩm. Hiện đang là giảng viên cho Dược sĩ tại Nhà thuốc Long Châu.
21/06/2023
Mặc định
Lớn hơn
Ung thư nướu răng là dạng bệnh thuộc ung thư khoang miệng thường gặp. Đây là bệnh lý khá nguy hiểm với tỷ lệ tử vong cao và khó phát hiện ở giai đoạn sớm. Tùy theo giai đoạn phát hiện bệnh mà các bác sĩ sẽ áp dụng cách điều trị ung thư nướu răng phù hợp.
Do có các triệu chứng giống bệnh lý răng miệng thông thường như viêm lợi, nhiệt miệng nên người bệnh chủ quan, phần lớn phát hiện bệnh khi ung thư đã di căn. Ở giai đoạn muộn, tỷ lệ người bệnh sống trên 3 năm chỉ khoảng 50%. Trong bài viết này, hãy cùng nhà thuốc Long Châu tìm hiểu các dấu hiệu và cách điều trị ung thư nướu răng và giải đáp câu hỏi bị sưng nướu răng làm sao hết nhé!
Ung thư nướu răng thuộc nhóm các bệnh ung thư khoang miệng, trong đó tế bào ung thư hình thành và phát triển ngay trên bề mặt nướu. Khối u có thể xâm lấn các mô xung quanh và di căn tới các cơ quan lân cận hoặc cơ quan ở xa theo đường bạch huyết, hay còn gọi là khối u ác tính.
Ung thư nướu răng xảy ra khi các tế bào nướu răng phân chia liên tục, mất kiểm soát với tốc độ nhanh, từ đó hình thành khối u.
/https://cms-prod.s3-sgn09.fptcloud.com/cach_dieu_tri_ung_thu_nuou_rang_1_94d0219c3b.jpg) Ung thư nướu răng là bệnh lý nguy hiểm với tỷ lệ tử vong cao
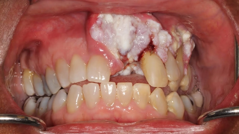
 Ung thư nướu răng là bệnh lý nguy hiểm với tỷ lệ tử vong caoNguyên nhân của sự mất kiểm soát này vẫn chưa được biết rõ. Tuy nhiên, nhiều nghiên cứu đã chỉ ra các yếu tố nguy cơ gây bệnh như:
Ở giai đoạn này, bệnh rất khó phát hiện vì người bệnh sẽ có biểu hiện giống như nhiệt miệng, viêm lợi. Trên niêm mạc miệng của bệnh nhân sẽ xuất hiện các vết loét có màu đỏ hoặc trắng, gây đau đớn và chảy máu. Vết loét lâu lành hơn bình thường, có thể kéo dài trên 2 tuần, kèm theo đó là sự thay đổi màu sắc của vùng niêm mạc xung quanh.
/https://cms-prod.s3-sgn09.fptcloud.com/cach_dieu_tri_ung_thu_nuou_rang_2_f648252165.jpg) Ở giai đoạn đầu, ung thư nướu răng rất khó phát hiện
 Ở giai đoạn đầu, ung thư nướu răng rất khó phát hiệnGiai đoạn này, người bệnh đã bắt đầu xuất hiện các triệu chứng đặc trưng như:
Nhờ sự phát triển của y học, hiện nay có nhiều cách điều trị ung thư nướu răng với mục tiêu tiêu diệt toàn bộ tế bào ung thư. Tuy nhiên, trong một số trường hợp, bệnh nhân ung thư sau khi được điều trị vẫn có thể tái phát sau đó. Một số các điều trị ung thư nướu răng bao gồm:
/https://cms-prod.s3-sgn09.fptcloud.com/cach_dieu_tri_ung_thu_nuou_rang_3_e3bec9aa7d.jpg) Phẫu thuật là cách điều trị ung thư nướu răng phổ biến nhất
 Phẫu thuật là cách điều trị ung thư nướu răng phổ biến nhấtUng thư nướu răng là bệnh lý nguy hiểm, không những gây ảnh hưởng đến sức khỏe người bệnh mà thậm chí gây nguy hiểm đến tính mạng. Do đó, phòng bệnh là phương pháp bảo vệ sức khỏe hữu hiệu nhất khỏi các bệnh lý nói chung và ung thư nướu răng nói riêng. Bạn có thể áp dụng các phương pháp phòng bệnh như:
/https://cms-prod.s3-sgn09.fptcloud.com/cach_dieu_tri_ung_thu_nuou_rang_4_8cde3d0cd0.jpg) Vệ sinh răng miệng đúng cách giúp loại bỏ vi khuẩn và phòng tránh các bệnh răng miệng
 Vệ sinh răng miệng đúng cách giúp loại bỏ vi khuẩn và phòng tránh các bệnh răng miệngHy vọng bài viết đã cung cấp cho bạn đọc những thông tin hữu ích về cách điều trị ung thư nướu răng. Việc trang bị kiến thức sẽ giúp bạn phát hiện sớm ra bệnh, làm tăng hiệu quả điều trị, giúp bệnh nhân kéo dài tuổi thọ và không phải chịu những đau đớn, khó chịu do ung thư gây ra.
Ánh Vũ
Nguồn tham khảo: Tổng hợp
/https://cms-prod.s3-sgn09.fptcloud.com/thumbs/thumbnail_Thuy_NK_6_eec089d53d.jpg)
Dược sĩ Đại họcNgô Kim Thúy
Tốt nghiệp loại giỏi trường Đại học Y Dược Huế. Từng tham gia nghiên cứu khoa học đề tài về Dược liệu. Nhiều năm kinh nghiệm làm việc trong lĩnh vực Dược phẩm. Hiện đang là giảng viên cho Dược sĩ tại Nhà thuốc Long Châu.