• Thực phẩm chức năng

  • Dược mỹ phẩm

  • Thuốc

  • Chăm sóc cá nhân

  • Thiết bị y tế

  • Tiêm chủng

  • Bệnh & Góc sức khỏe

  • Hệ thống nhà thuốc

    1. /
    2. Góc sức khỏe/
    3. Phòng bệnh & Sống khoẻ

    Cắt dính thắng lưỡi ở người lớn được thực hiện thế nào?

    12/10/2025

    Kích thước chữ

    Không chỉ trẻ nhỏ mà cũng có rất nhiều người lớn bị dính thắng lưỡi. Tuy vậy, cắt dính thắng lưỡi ở người lớn thường mất nhiều thời gian và gặp nhiều khó khăn hơn. 

    Dính thắng lưỡi vốn là một tình trạng bẩm sinh khiến cho chuyển động của lưỡi bị hạn chế. Lúc này, cắt dính thắng lưỡi sẽ giúp bạn khắc phục tình trạng này. Bài viết dưới đây sẽ giúp bạn hiểu rõ hơn về quy trình cắt dính thắng lưỡi ở người lớn.

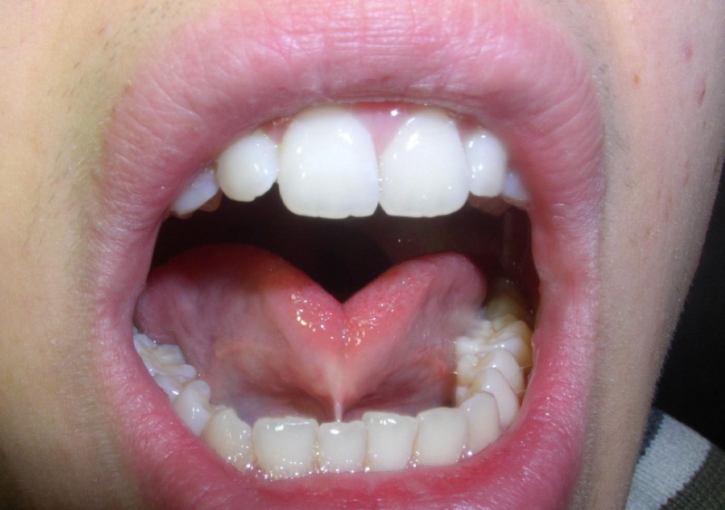
    Dính thắng lưỡi ở người lớn

    Có rất nhiều trường hợp người trưởng thành bị tật dính thắng lưỡi do không được điều trị kịp thời ngay từ khi sinh ra. Người lớn bị dính thắng lưỡi thường rất vất vả trong sinh hoạt hàng ngày, nhất là đối với các trường hợp bị dính thắng lưỡi với mức độ nặng:

    • Quá trình cử động lưỡi, ăn uống gặp nhiều khó khăn hơn so với bình thường do phần thắng lưỡi bị ngắn.
    • Thường gặp tật bị nói ngọng, nói lắp, phát âm không rõ, gặp vấn đề trong việc giao tiếp hàng ngày.
    • Dính thắng lưỡi nếu như không được điều trị sớm thì sẽ có xu hướng phát triển dày hơn, bám chắc và lan rộng vào sàn miệng và lưỡi. Nếu bạn bị dính thắng lưỡi từ nhỏ thì sẽ có thể làm tăng mức độ dính thắng lưỡi khi bước vào độ tuổi trưởng thành.
    Cắt dính thắng lưỡi ở người lớn được thực hiện thế nào?1 Tật dính thắng lưỡi ở người lớn

    Cắt thắng lưỡi ở người lớn được thực hiện như thế nào ?

    Khác với trẻ nhỏ, người trưởng thành khi cắt thắng lưỡi thường được thực hiện bằng phương pháp cắt gây mê. So với trẻ em thì quá trình thực hiện phẫu thuật sẽ kéo dài và phức tạp hơn nhiều.

    Kiểm tra ban đầu

    Việc kiểm tra ban đầu sẽ giúp đánh giá được chính xác mức độ dính thắng lưỡi ở bệnh nhân. Bệnh nhân cần phải được thực hiện xét nghiệm máu và thăm khám kỹ lưỡng cùng với các bác sĩ gây mê.

    Trong trường hợp bệnh nhân có hiện tượng máu khó đông thì nên thông báo với các bác sĩ để tránh những rủi ro có thể xảy ra khi thực hiện phẫu thuật.

    Cắt dính phanh lưỡi

    Để có thể thực hiện phương pháp cắt dính phanh lưỡi, bệnh nhân cần phải được gây mê trong quá trình thực hiện. Trên thực tế, phẫu thuật để cắt dính thắng lười chính là cắt phần niêm mạc nối sàn miệng và mặt dưới của lưỡi.

    Trừ một số trường hợp phanh lưỡi chỉ dính tại đầu lưỡi thì đa số vùng niêm mạc này thường rất rộng và có sự gắn kết với dây thần kinh và mạch máu. Do đó mà quá trình cắt thắng lưỡi được thực hiện rất cẩn thận.

    Song song với việc cắt phanh lưỡi thì bác sĩ sẽ tiến hành tạo hình tại vùng ở dưới lưỡi. Ngoài ra còn đảm bảo chức năng thẩm mỹ cho vùng ở dưới lưỡi và đặc biệt là giúp cho lưỡi được hoạt động một cách bình thường. Sau khi thực hiện phẫu thuật thì không tạo ra những kẽ hở nhỏ hoặc các hố gây sự khó chịu.

    Cắt dính thắng lưỡi ở người lớn được thực hiện thế nào?2 Cắt dính thắng lưỡi ở người lớn

    Sau khi phẫu thuật

    Sau khi cắt thắng lưỡi, người bệnh sẽ được theo dõi một thời gian trước khi trở về nhà. Có thể nói rằng, quá trình chăm sóc hậu phẫu là điều rất quan trọng. Điều này sẽ quyết định rất lớn đến sự thành công của cả cuộc phẫu thuật đó. Do vậy, bạn nên nghe theo lời dặn của các bác sĩ và thực hiện thật đúng nhé.

    Những lưu ý sau khi cắt thắng lưỡi ở người lớn

    Sau khi thực hiện cắt thắng lưỡi cắt thắng lưỡi ở người lớn, bạn cần lưu ý đến các vấn đề sau:

    • Cần hạn chế vận động nhiều để tránh trường hợp vùng miệng bị xáo động như hát, nói. Đặc biệt là bạn cần hạn chế những cử động lưỡi ngang dọc và uốn cong để không bị chảy máu.
    • Giữ gìn vệ sinh vùng miệng theo đúng hướng dẫn của các bác sĩ nha khoa.
    • Cần dùng thuốc đủ liều, đúng giờ và theo sự kê đơn của các bác sĩ để tránh tình trạng bị nhiễm trùng.
    • Khi ăn uống, bạn nên lựa chọn các loại thực phẩm ít ngọt, ít mặn và không ăn đồ cay nóng. Thay vào đó, bạn có thể sử dụng đồ mềm như sữa ít đường hay đồ lạnh. Sau 1 ngày, bạn đã có thể chuyển sang những đồ ăn lỏng, nguội, mềm, đồ ăn nhạt và bổ sung dưỡng chất cho cơ thể với các loại hoa quả mềm. Tuy vậy, bạn nên lựa chọn quả mềm và cắt ra thành những miếng nhỏ để hạn chế cử động của lưỡi.
    • Nếu nhận thấy có những dấu hiệu bất thường, bạn nên thăm khám bác sĩ càng sớm càng tốt.
    Cắt dính thắng lưỡi ở người lớn được thực hiện thế nào?3 Sau khi cắt thắng lưỡi, bạn hãy uống đồ lỏng như sữa

    Với những biện pháp hồi phục tích cực tại nhà khi vết thương đã lành lại, bạn nên thực hiện các bài tập trị liệu giọng nói để có thể phục hồi lại giọng nói giống như người bình thường. Nguyên nhân là do người trưởng thành bị dính phanh lưỡi thường gặp phải tình trạng nói ngọng và không thể phát âm chuẩn. Mặc dù quá trình này có thể kéo dài nhưng việc thực hiện trị liệu sau phẫu thuật một cách tích cực sẽ giúp cho bạn được phát âm chuẩn và tự tin hơn trong giao tiếp hàng ngày.

    Trên đây là những thông tin liên quan đến vấn đề cắt dính thắng lưỡi ở người lớn. Hy vọng với phương pháp này, bạn sẽ khắc phục được những vấn đề khó chịu do dính thắng lưỡi gây ra.

    Lê Hồng

    Nguồn tham khảo: Tổng hợp

    Thông tin và sản phẩm gợi ý trong bài viết chỉ mang tính chất tham khảo, vui lòng liên hệ với Bác sĩ, Dược sĩ hoặc chuyên viên y tế để được tư vấn cụ thể. Xem thêm