• Thực phẩm chức năng

  • Dược mỹ phẩm

  • Thuốc

  • Chăm sóc cá nhân

  • Thiết bị y tế

  • Tiêm chủng

  • Bệnh & Góc sức khỏe

  • Hệ thống nhà thuốc

    1. /
    2. Góc sức khỏe/
    3. Khỏe đẹp

    Chi phí niềng răng mắc cài pha lê là bao nhiêu?

    21/06/2023

    Kích thước chữ

    Hiện nay niềng răng có nhiều phương pháp và niềng răng bằng mắc cài pha lê nhận được quan tâm rất lớn. Nguyên nhân là do niềng răng mắc cài pha lê mang tính thẩm mỹ khá cao. Vậy chi phí niềng răng mắc cài pha lê có đắt không? Hãy cùng nhà thuốc Long Châu tìm hiểu qua bài viết dưới đây nhé!

    Niềng răng mắc cài pha lê là phương pháp chỉnh nha được nhiều người lựa chọn do tính thẩm mỹ khá cao. Tuy nhiên nhiều người còn phân vân về giá thành của phương pháp niềng răng này. Vậy niềng răng mắc cài pha lê giá bao nhiêu?

    Niềng răng mắc cài pha lê là gì?

    Đúng với tên gọi của mình, pha lê là một dạng thủy tinh mang màu sắc trong suốt, lóng lánh cực kỳ đẹp. Vận dụng đặc điểm cũng như là điểm mạnh của pha lê, đội ngũ nha khoa đã sáng tạo ra bí quyết niềng răng mới với tên gọi niềng răng mắc cài pha lê, vừa đáp ứng hiệu quả chỉnh nha, vừa giữ thẩm mỹ cho người niềng.

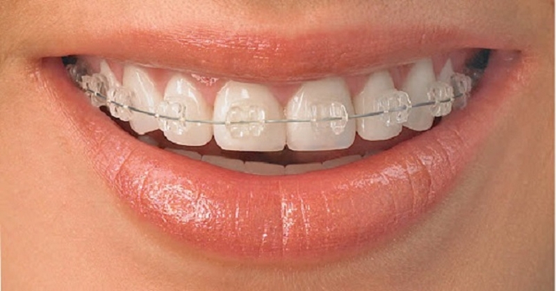
    Chi phí niềng răng mắc cài pha lê là bao nhiêu?1 Các mắc cài được làm bằng pha lê nên rất đẹp

    Về nguyên lý hoạt động của cách niềng răng mắc cài pha lê cũng giống như phương pháp niềng răng truyền thống là dây cung sẽ nằm cố định trong những rãnh mắc cài, bác sĩ sẽ tạo lực siết đều đặn ổn định từng tháng để giúp răng dịch chuyển. Điểm đặc biệt của niềng răng mắc cài pha lê là những mắc cài được làm từ pha lê (đá crystal) trong suốt khi giao tiếp người đối diện sẽ không hề hay biết rằng bạn đang niềng.

    Thông thường những ai tìm đến phương pháp này đều có nhu cầu giữ thẩm mỹ rất cao trong quá trình niềng răng. Song song với cách niềng răng pha lê thì niềng răng mắc cài sứ cũng là phương pháp tương đồng, các mắc cài được làm từ sứ sao cho trùng màu răng nên khi cười cũng sẽ không thấy rõ mắc cài.

    Điểm mạnh của phương pháp niềng răng mắc cài pha lê

    Với những mắc cài được làm từ pha lê trong suốt làm cho phương pháp này sở hữu các ưu thế và hạn chế đặc biệt đúng với chất liệu sản xuất.

    Thẩm mỹ

    Với những mắc cài trong suốt khi được gắn lên răng, người đối diện sẽ khó nhận ra bạn đang niềng răng chính bởi vậy thẩm mỹ là điểm mạnh cốt lõi của phương pháp. Những người có điều kiện kinh tế thường tìm đến phương pháp này khi quyết định niềng, bên cạnh đó thì niềng pha lê cũng là sự lựa chọn thông minh của những tuổi teen và các người nổi tiếng.

    Chi phí niềng răng mắc cài pha lê là bao nhiêu? 2 Niềng răng mắc cài pha lê vẫn mang lại hiệu quả cao như phương pháp truyền thống

    Hiệu quả

    Chính nguyên lý hoạt động sử dụng mắc cài, dây cung tạo sự siết đều đặn trên răng mỗi tháng nên tính hiệu quả của phương pháp niềng răng pha lê được đánh giá cao, ngang bằng với các phương pháp truyền thống chứ không hề thua kém. Vì vậy, bạn hoàn toàn có thể yên tâm về độ hiệu quả của phương răng mắc cài pha lê.

    Nhược điểm của niềng răng mắc cài pha lê

    Chi phí cao

    Đáp ứng được tính thẩm mỹ lúc niềng, hiệu quả cao nên phương pháp này sở hữu tầm giá khá cao, mức giá giao động tại những nha khoa uy tín từ 45 triệu - 50 triệu.

    Kích thước lớn

    Các chốt mắc cài sứ lớn hơn các cách niềng răng khác làm cho cho độ nhô môi nhiều hơn, tạo cảm giác không thoải mái.

    Dễ vỡ

    Với tính chất làm bằng pha lê nên nếu như có những va đập mạnh, hay ăn nhai, cắn quá mạnh sẽ khiến cho mắc cài bị bung vỡ. Trong trường hợp mắc cài bị vỡ bạn có thể sẽ tốn một khoản chi phí nhỏ để gắn lại cái mắc cài mới. Do vậy khi niềng răng mắc cài pha lê bạn sẽ phải thật cảnh giác trong việc ăn uống.

    Với những nhược điểm này nếu bạn đang phải lăn tăn suy nghĩ chọn phương pháp khác thì một gợi ý nho nhỏ với một phương pháp niềng răng tương tự với mắc cài pha lê là mắc cài sứ, mắc cài sứ cũng bảo đảm tính thẩm mỹ, hiệu quả khi niềng nhung những mắc cài sứ nhỏ hơn.

    Chi phí niềng răng mắc cài pha lê là bao nhiêu?3 Cần chú ý vấn đề ăn uống khi đeo niềng

    Niềng răng mắc cài pha lê giá bao nhiêu tiền và một số lưu ý

    Chi phí niềng răng mắc cài pha lê là bao nhiêu?

    Niềng răng pha lê hiện đang được nhiều phòng khám nha khoa cung cấp. Vì thế mà tầm giá niềng răng Sapphire cũng khác nhau và chênh lệch giữa các phòng khám.

    Tuy nhiên tầm giá niềng răng pha lê trên thị trường đang dao động từ 40.000.000 – 45.000.000 VNĐ.

    Một số lưu ý khi niềng răng mắc cài pha lê

    Mặc dù niềng răng mắc cài pha lê có siêu phổ biến và có điểm cộng về độ bền, tính thẩm mỹ nhưng nếu muốn đạt hiệu quả cao nhất thì bạn phải có phương pháp chăm sóc răng niềng đúng đắn và phải tuân thủ một số lưu ý sau:

    • Không ăn những loại hoa quả, thực phẩm hay các loại hạt cứng để hạn chế khả năng bị bung tuột mắc cài niềng răng.
    • Tránh ăn những loại thực phẩm dai, dính bởi sẽ tương đối khó khăn trong việc làm sạch nếu chúng bị dính vào mắc cài.
    • Sử dụng bàn chải lông mềm, bàn chải kẽ, máy tăm nước và chỉ nha khoa để làm sạch răng ngay sau mỗi bữa ăn.
    • Tuân thủ đúng lịch tái khám của bác sĩ để đảm bảo hiệu quả chỉnh nha và loại bỏ tỷ lệ hỏng hóc mắc cài pha lê.

    Trên đây là một số thông tin về phương pháp niềng răng bằng mắc cài pha lê cũng như chi phí khi thực hiện niềng răng bằng loại chất liệu này. Hi vọng với những thông tin hữu ích trên, quý đọc giả có thể có quyết định sáng suốt trong quá trình chỉnh nha làm đẹp của mình.

    Như Nguyễn

    Nguồn: Tổng hợp

    Có thể bạn quan tâm

    Thông tin và sản phẩm gợi ý trong bài viết chỉ mang tính chất tham khảo, vui lòng liên hệ với Bác sĩ, Dược sĩ hoặc chuyên viên y tế để được tư vấn cụ thể. Xem thêm

    Dược sĩ Đại học Nguyễn Tuấn Trịnh

    Đã kiểm duyệt nội dung

    Từng làm ở Viện ISDS, nhiều năm cộng tác với CDC Thái Nguyên triển khai dự án phòng chống HIV/AIDS, 2 năm cộng tác với WHO.

    Xem thêm thông tin