Dược sĩ Đại học có nhiều năm kinh nghiệm trong việc tư vấn Dược phẩm và hỗ trợ giải đáp thắc mắc về Bệnh học. Hiện đang là giảng viên cho Dược sĩ tại Nhà thuốc Long Châu.
Quỳnh Loan
09/01/2025
Mặc định
Lớn hơn
Làm trắng răng tại nhà đang trở thành xu hướng phổ biến, trong đó gel làm trắng răng được xem là giải pháp tiện lợi, hiệu quả và tiết kiệm chi phí. Tuy nhiên, sản phẩm này liệu có thực sự an toàn và mang lại hiệu quả như mong đợi? Hãy cùng tìm hiểu chi tiết và nắm bắt các lưu ý quan trọng để sử dụng sản phẩm này một cách an toàn và đạt hiệu quả tối ưu.
Gel tẩy trắng răng là giải pháp làm sáng màu răng hiệu quả nhưng chỉ thực sự an toàn và lâu bền khi bạn tuân thủ đúng cách sử dụng. Muốn vậy, bạn cần hiểu rõ cơ chế hoạt động, lợi ích cũng như những nguy cơ tiềm ẩn của gel làm trắng răng. Nếu còn băn khoăn về tình trạng răng miệng hoặc lựa chọn sản phẩm phù hợp, hãy tham khảo ý kiến bác sĩ nha khoa để đảm bảo hiệu quả và sức khỏe toàn diện cho răng miệng của bạn.
Gel làm trắng răng là giải pháp phổ biến giúp cải thiện màu sắc răng hiệu quả. Việc hiểu rõ các thành phần trong sản phẩm này là rất quan trọng để đảm bảo an toàn và lựa chọn phù hợp. Hầu hết gel làm trắng răng chứa các chất tẩy trắng an toàn, kết hợp với những thành phần bổ sung để tăng cường hiệu quả và tạo cảm giác dễ chịu khi sử dụng.
Hai thành phần chính trong gel làm trắng răng là Carbamide Peroxide và Hydrogen Peroxide. Đây là những chất có khả năng loại bỏ các vết ố trên răng thông qua quá trình phản ứng hóa học, làm thay đổi cấu trúc màu sắc của các vết bẩn.
Theo Hiệp hội Nha khoa Hoa Kỳ (ADA), Hydrogen Peroxide không chỉ loại bỏ vết ố bề mặt mà còn làm sáng màu răng từ sâu bên trong, mang lại hiệu quả cao trong việc tẩy trắng.
Tại các phòng khám nha khoa, gel làm trắng răng chuyên dụng có chứa nồng độ Hydrogen Peroxide từ 15% đến 38%. Sản phẩm này giúp đẩy nhanh quá trình tẩy trắng nhưng có thể gây ê buốt tạm thời. Với các sản phẩm sử dụng tại nhà, nồng độ thấp hơn, an toàn hơn nhưng thời gian để đạt hiệu quả sẽ lâu hơn.

Hai thành phần này thường được thêm vào gel làm trắng răng để giảm thiểu tình trạng ê buốt, một phản ứng thường gặp trong quá trình tẩy trắng. Theo ADA, ê buốt chỉ là hiện tượng tạm thời và sẽ giảm dần sau khi ngừng sử dụng gel.
Natri Pyrophosphate có tác dụng ngăn ngừa sự hình thành của mảng bám và cao răng. Đồng thời, thành phần này giúp dung dịch tẩy trắng ổn định hơn, duy trì hiệu quả trong suốt quá trình sử dụng.
Natri Hydroxit, còn gọi là dung dịch kiềm, được thêm vào gel làm trắng để hỗ trợ loại bỏ các cặn bám cứng đầu trên bề mặt răng, giúp quá trình làm trắng đạt hiệu quả tối ưu.
Việc lựa chọn gel làm trắng răng phù hợp và sử dụng đúng cách sẽ giúp bạn đạt được kết quả mong muốn mà không gây hại cho men răng. Để đảm bảo an toàn, nên tham khảo ý kiến nha sĩ trước khi sử dụng bất kỳ sản phẩm nào.
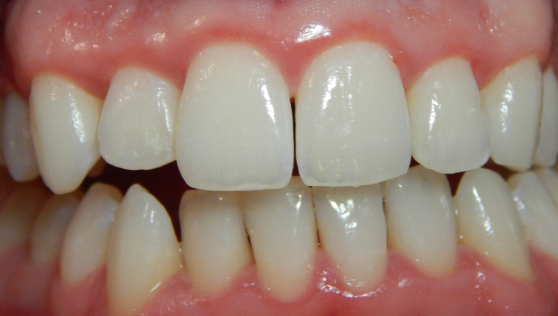
Tẩy trắng răng là một giải pháp nha khoa phổ biến giúp loại bỏ tình trạng răng ố vàng, xỉn màu, mang lại nụ cười trắng sáng và tự tin. Dịch vụ này đặc biệt phù hợp với những ai muốn cải thiện thẩm mỹ răng miệng một cách nhanh chóng. Tuy nhiên, không phải ai cũng là đối tượng phù hợp để thực hiện tẩy trắng răng.
Những người có thể áp dụng kỹ thuật tẩy trắng răng thường rơi vào các trường hợp sau:
Răng bị nhiễm màu từ các thực phẩm đậm màu như cà phê, trà hoặc do vệ sinh răng miệng không đúng cách đều có thể thực hiện tẩy trắng răng để khôi phục vẻ sáng tự nhiên.

Những người có men răng chắc chắn, không bị mài mòn hoặc tổn thương nghiêm trọng thường đạt được hiệu quả tẩy trắng cao hơn và an toàn hơn.
Độ tuổi này đảm bảo cấu trúc răng và xương hàm đã phát triển hoàn chỉnh, giúp quy trình tẩy trắng không gây ảnh hưởng lâu dài đến sức khỏe răng miệng.
Người không mắc các bệnh lý mãn tính, không mang thai hoặc không đang điều trị các vấn đề sức khỏe nghiêm trọng khác đều có thể thực hiện dịch vụ này.
Trước khi thực hiện, bạn nên tham khảo ý kiến bác sĩ nha khoa để đánh giá tình trạng răng và sức khỏe tổng thể. Điều này không chỉ giúp đảm bảo hiệu quả tối đa mà còn ngăn ngừa các rủi ro không mong muốn. Tẩy trắng răng không chỉ mang lại thẩm mỹ mà còn cải thiện chất lượng cuộc sống thông qua một nụ cười rạng rỡ và tự tin hơn.
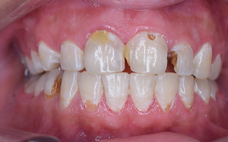
Hàm răng ố vàng, xỉn màu là nguyên nhân khiến nhiều người mất tự tin trong giao tiếp hàng ngày. Thay vì đến nha khoa để được tư vấn và điều trị chuyên sâu, không ít người lựa chọn sử dụng gel làm trắng răng tại nhà nhờ tính tiện lợi và chi phí thấp. Nhưng liệu phương pháp này có thực sự mang lại hiệu quả như mong đợi?
Gel tẩy trắng răng là sản phẩm được bôi trực tiếp lên bề mặt răng với mục đích làm sáng và đánh bóng lớp ngoài. Thành phần chính trong các loại gel này thường bao gồm silicat, bột soda và một lượng nhỏ Calcium Peroxide. Các hợp chất này giúp loại bỏ các mảng bám trên răng, mang lại cảm giác trắng sáng tức thời.
Nhiều người bị ấn tượng bởi khả năng làm trắng ngay lập tức của gel tẩy răng, giúp răng ngả màu sáng lên chỉ sau một lần sử dụng. Tuy nhiên, hiệu quả này chủ yếu đến từ việc làm sạch lớp bề mặt răng thay vì tác động sâu vào cấu trúc men răng.
Gel làm trắng răng tại nhà thường chứa hàm lượng Calcium Peroxide thấp, không đủ mạnh để loại bỏ các vết ố do nhiễm màu kháng sinh hoặc nhiễm fluor. Điều này khiến răng dễ dàng xỉn màu trở lại, làm giảm tính thẩm mỹ.
Ngoài ra, việc sử dụng gel làm trắng răng không rõ nguồn gốc hoặc kém chất lượng còn có thể làm suy yếu men răng, tăng nguy cơ sâu răng, viêm nướu và các biến chứng răng miệng khác. Những tổn thương này không chỉ gây đau nhức mà còn ảnh hưởng lâu dài đến sức khỏe răng miệng.
Do đó, để đạt hiệu quả tẩy trắng lâu dài và an toàn, bạn nên thăm khám nha sĩ để được tư vấn phương pháp làm trắng răng phù hợp nhất. Các sản phẩm gel làm trắng răng có thể là giải pháp tạm thời chứ hoàn toàn không thể thay thế cho các liệu trình tẩy trắng chuyên sâu tại nha khoa.

Việc sử dụng gel làm trắng răng tại nhà đã trở thành lựa chọn phổ biến nhờ tính tiện lợi và chi phí thấp. Tuy nhiên, để đạt được hiệu quả tốt nhất mà vẫn đảm bảo an toàn, bạn cần nắm rõ những lưu ý dưới đây.
Trước khi bắt đầu sử dụng gel làm trắng răng, bạn nên đọc kỹ và tuân thủ đầy đủ hướng dẫn từ nhà sản xuất. Các thông tin trong hướng dẫn không chỉ giải thích cách sử dụng sản phẩm mà còn cung cấp chi tiết về thời gian chờ, tần suất sử dụng cũng như những biện pháp phòng ngừa cần thiết. Điều này giúp bạn tối ưu hóa hiệu quả tẩy trắng mà không gây tổn hại đến men răng hoặc niêm mạc miệng.
Thời gian giữ gel trên răng đóng vai trò quan trọng trong việc đạt hiệu quả tẩy trắng. Mỗi loại gel sẽ có thời gian chờ khác nhau, thường dao động từ vài phút đến một giờ. Việc để gel trên răng quá lâu có thể gây tổn thương men răng hoặc kích ứng niêm mạc miệng, trong khi thời gian quá ngắn lại không đủ để gel phát huy tác dụng.
Các thành phần hoạt tính trong gel tẩy trắng có thể gây kích ứng hoặc bỏng rát nếu tiếp xúc với nướu hoặc các vùng nhạy cảm trong miệng. Để tránh tình trạng này, bạn nên sử dụng khay định hình răng vừa vặn, giúp gel chỉ tập trung trên bề mặt răng.
Chỉ cần một lượng nhỏ gel là đủ để phủ đều bề mặt răng. Việc sử dụng quá nhiều không chỉ gây lãng phí mà còn làm tăng nguy cơ kích ứng và nhạy cảm răng. Hãy luôn tuân theo hướng dẫn về liều lượng từ nhà sản xuất để đảm bảo an toàn.
Sau khi hoàn thành quá trình tẩy trắng, bạn cần súc miệng kỹ bằng nước sạch để loại bỏ hoàn toàn gel còn sót lại. Điều này không chỉ giúp ngăn chặn các tác dụng phụ không mong muốn mà còn đảm bảo cảm giác thoải mái sau khi sử dụng.
Mỗi loại gel có tần suất sử dụng riêng, thường là 1 – 2 lần mỗi tuần. Việc sử dụng quá thường xuyên có thể làm men răng bị tổn thương, gây ra hiện tượng răng nhạy cảm và viêm nướu. Vì vậy, bạn cần tuân thủ đúng tần suất được khuyến nghị để bảo vệ sức khỏe răng miệng.

Gel làm trắng răng nếu sử dụng không đúng cách có thể dẫn đến các tác dụng phụ như nhạy cảm răng, viêm nướu hoặc làm mòn men răng. Để giảm thiểu rủi ro, hãy lựa chọn sản phẩm từ các thương hiệu uy tín, có thành phần an toàn và phù hợp với tình trạng răng miệng của bạn.
Tóm lại, gel làm trắng răng là giải pháp đơn giản, dễ sử dụng và có thể cải thiện màu sắc răng nhanh chóng khi được sử dụng đúng cách. Tuy nhiên, để đạt hiệu quả an toàn, bạn cần lựa chọn sản phẩm chất lượng, đọc kỹ hướng dẫn sử dụng và tham khảo ý kiến bác sĩ nha khoa nếu cần thiết. Đừng quên, việc duy trì thói quen vệ sinh răng miệng đúng cách và hạn chế thực phẩm gây xỉn màu răng vẫn là yếu tố quan trọng giúp bạn sở hữu hàm răng trắng sáng lâu dài.
Dược sĩ Đại họcNguyễn Mỹ Huyền
Dược sĩ Đại học có nhiều năm kinh nghiệm trong việc tư vấn Dược phẩm và hỗ trợ giải đáp thắc mắc về Bệnh học. Hiện đang là giảng viên cho Dược sĩ tại Nhà thuốc Long Châu.