• Thực phẩm chức năng

  • Dược mỹ phẩm

  • Thuốc

  • Chăm sóc cá nhân

  • Thiết bị y tế

  • Tiêm chủng

  • Bệnh & Góc sức khỏe

  • Hệ thống nhà thuốc

    1. /
    2. Góc sức khỏe/
    3. Mẹ & bé

    Nên đi siêu âm canh trứng vào thời điểm nào? “Thời điểm vàng” mẹ nên biết

    21/06/2023

    Kích thước chữ

    Nên đi siêu âm canh trứng vào thời điểm nào để đạt hiệu quả cao nhất là điều không ít cặp vợ chồng băn khoăn khi đang trên hành trình mong mỏi con yêu. Hãy cùng phân tích chu kỳ khoa học để tìm ra “thời điểm vàng”.

    Ngày nay, siêu âm canh trứng là một thuật ngữ y khoa không còn quá xa lạ với nhiều người, nhất là với các cặp vợ chồng hiếm muộn. Tuy nhiên không hẳn ai cũng biết nên đi siêu âm canh trứng vào thời điểm nào để có kết quả chính xác nhất. 

    Hiểu đúng về siêu âm canh trứng 

    Siêu âm canh trứng là gì?

    Theo định nghĩa khoa học, siêu âm canh trứng là phương pháp giúp bác sĩ quan sát sự phát triển của nang trứng để dự đoán ngày trứng rụng, nhằm hỗ trợ việc đậu và thụ thai. Hiện nay, có 2 hình thức để siêu âm canh trứng là siêu âm bụng và siêu âm đầu dò âm đạo. 

    Siêu âm bụng 

    Với phương pháp này, bác sĩ sẽ sử dụng đầu máy siêu âm di chuyển quanh vùng bụng dưới, từ đó có thể quan sát một cách tổng quát hệ các bộ phận bên trong cơ quan sinh sản thông qua màn hình điện tử. Tuy nhiên, phương pháp này không được khuyến khích với những người có thành bụng dày hoặc ổ bụng nhiều hơi trong khung đại tràng. 

    Nên đi siêu âm canh trứng vào thời điểm nào 1 Siêu âm bụng là một phương pháp để siêu âm canh trứng

    Siêu âm đầu dò âm đạo

    Siêu âm đầu dò âm đạo là hình thức siêu âm bằng cách đưa đầu dò vào vào âm đạo để quan sát bên trong cơ quan sinh sản. Từ đó, bác sĩ có thể quan sát chính xác tình trạng của tử cung và buồng trứng. Trên thực tế, phương pháp này được áp dụng nhiều hơn vì độ chính xác khá cao. 

    Nên đi siêu âm canh trứng vào thời điểm nào 2 Siêu âm đầu dò âm đạo thường được sử dụng phổ biến hơn trong siêu âm canh trứng

    Những lợi ích của việc siêu âm canh trứng

    Là một phương pháp phổ biến, siêu âm canh trứng mang lại nhiều hiệu quả, giúp xác định chính xác tình trạng sức khỏe sinh sản. Cụ thể:

    • Xác định được sự phát triển của nang noãn (buồng trứng 2 bên có hay không có nang noãn, kích thước của các nang noãn đủ lớn hay chưa)... Từ hình ảnh quan sát được kết hợp với các chẩn đoán lâm sàng để phát hiện kịp thời và điều trị vô sinh. 
    • Giúp dự đoán được ngày rụng trứng, nhờ đó tăng khả năng thụ thai hoặc có thể sử dụng như một phương pháp tránh thai (tránh giao hợp vào thời điểm rụng trứng). 
    • Có thể kịp thời chẩn đoán bệnh đa nang buồng trứng hoặc rối loạn phóng noãn, tức trứng chín nhưng không rụng khiến việc thụ tinh không xảy ra. Từ đó đưa ra phác đồ điều trị phù hợp và hiệu quả.  

    Nên đi siêu âm canh trứng vào thời điểm nào?

    Để có câu trả lời chính xác cho vấn đề “Nên đi siêu âm canh trứng vào thời điểm nào?”, trước hết cần nắm rõ quy trình siêu âm canh trứng diễn ra như thế nào. Hiện nay, quy trình soi trứng được thực diện dựa vào 2 giai đoạn của chu kỳ kinh nguyệt là: Giai đoạn nang và giai đoạn hoàng thể. 

    Với giai đoạn nang, bác sĩ sẽ theo dõi được sự phát triển của nang noãn để dự đoán chính xác thời gian rụng trứng. Lúc này, dù cơ thể chứa nhiều nang trứng nhưng số lượng nang phát triển và rụng rất ít, chỉ với 1 hoặc 2. Sau khoảng một vài ngày đầu tiên của chu kỳ kinh nguyệt, nang trứng mới chỉ phát triển đạt đến độ 4 - 5 mm và rất khó có thể quan sát được khi siêu âm. Đến sau ngày thứ 7, thứ 8 nang trứng mới bắt đầu phát triển lớn hơn và đạt đến kích thước 10 - 12mm, lúc này bác sĩ có thể nhìn rõ được. 

    Ở giai đoạn hoàng thể chính là thời điểm sau rụng trứng, bác sĩ sẽ có phác đồ cụ thể để tăng quá trình thụ thai. 

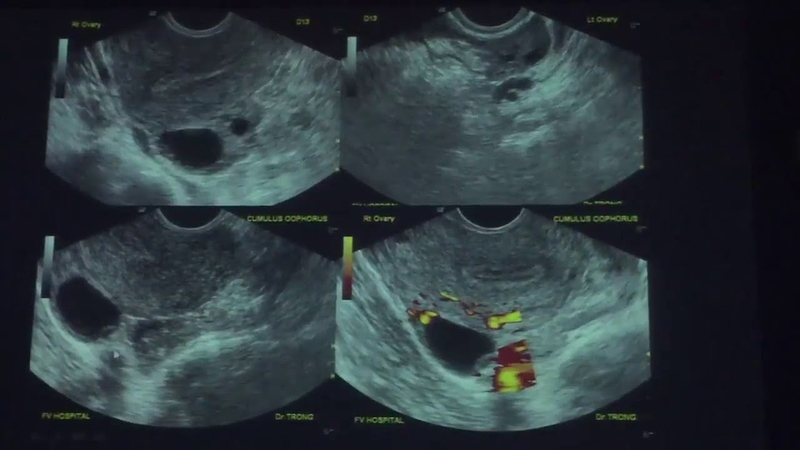
    Nên đi siêu âm canh trứng vào thời điểm nào 3 Dựa vào hình ảnh siêu âm để xác định kích thước nang trứng, dự đoán thời điểm trứng rụng

    Ví dụ, với một phụ nữ có chu kỳ kinh nguyệt 28 ngày thì nang trứng được mô phỏng như sau:

    • Đầu chu kỳ, nang trứng rất nhỏ chỉ khoảng 4 - 5 mm, quan sát rõ qua siêu âm đầu dò âm đạo, qua siêu âm bụng khó nhìn thấy. 
    • Sang ngày thứ 7 - 8 của chu kỳ, kích thước lúc này của nó là 10 - 12 mm và tăng dần 1 - 2 mm kích thước qua từng ngày. 
    • Vào khoảng ngày thứ 14 của chu kỳ, nang trứng đạt mức 17 - 18 mm, kích thước đủ lớn và trưởng thành để rụng, xảy ra sự phóng noãn (hay còn gại là rụng trứng).

    Như vậy, để bác sĩ có thể quan sát được kích thước nang trứng và đạt được mục đích soi trứng, bạn nên thực hiện quy trình này vào ngày thứ 10 của chu kỳ. Thực hiện liên tục theo tần suất 2 ngày một lần cho đến khi nang trứng đạt kích thước trung bình là 15 mm, sau đó thì thực hiện siêu âm ngày 1 lần cho đến khi trứng trưởng thành và rụng. Trứng rụng đạt chất lượng tốt nhất khi noãn nang đạt 20 - 28 mm.

    Ngoài siêu âm, cách nào nhận biết thời kỳ trứng rụng?

    Với sự phát triển của khoa học hiện nay, ngoài siêu âm canh trứng, bạn cũng có thể áp dụng nhiều phương pháp khác để nhận biết thời kỳ trứng rụng như: Dùng phần mềm dự đoán ngày rụng trứng, dùng que test nhanh rụng trứng, theo dõi các biến đổi của cơ thể: Nhiệt độ, chất nhầy tử cung,... Hoặc có một cách phổ biến hơn mà chị em vẫn thường áp dụng đó là sử dụng vòng tròn chu kỳ kinh nguyệt. Tuy nhiên, những cách này chỉ mang lại xác suất tương đối với những người có chu kỳ kinh nguyệt đều đặn. 

    Nên đi siêu âm canh trứng vào thời điểm nào 4 Vòng tròn kinh nguyệt là cách phổ biến để dự đoán thời điểm rụng trứng

    Như vậy, bài viết đã giúp bạn có câu trả lời chính xác “Nên đi siêu âm canh trứng vào thời điểm nào?”. Ngoài việc áp dụng các phương pháp trên, bạn nên chú ý tăng cường, bồi bổ sức khỏe, vệ sinh cơ thể sạch sẽ, chế độ nghỉ ngơi đầy đủ. Quan trọng hơn, bạn đừng quên bổ sung các loại thực phẩm chức năng tăng cường sinh lý - nội tiết tố để đảm bảo khả năng đậu thai cao nhất!

    Thanh Hương

    Nguồn tham khảo: Tổng hợp

    Thông tin và sản phẩm gợi ý trong bài viết chỉ mang tính chất tham khảo, vui lòng liên hệ với Bác sĩ, Dược sĩ hoặc chuyên viên y tế để được tư vấn cụ thể. Xem thêm

    Dược sĩ Đại họcNguyễn Mỹ Huyền

    Đã kiểm duyệt nội dung

    Dược sĩ Đại học có nhiều năm kinh nghiệm trong việc tư vấn Dược phẩm và hỗ trợ giải đáp thắc mắc về Bệnh học. Hiện đang là giảng viên cho Dược sĩ tại Nhà thuốc Long Châu.

    Xem thêm thông tin