Tốt nghiệp loại giỏi trường Đại học Y Dược Huế. Từng tham gia nghiên cứu khoa học đề tài về Dược liệu. Nhiều năm kinh nghiệm làm việc trong lĩnh vực Dược phẩm. Hiện đang là giảng viên cho Dược sĩ tại Nhà thuốc Long Châu.
21/06/2023
Mặc định
Lớn hơn
Dị dạng mạch máu não là vấn đề khó phát hiện nếu chỉ làm kiểm tra sức khỏe thông thường và chỉ được phát hiện thông qua việc kiểm tra chi tiết não bộ bằng cách chụp X- quang. Vậy nguyên nhân bị dị dạng mạch máu não là do đâu? Hãy cùng Nhà thuốc Long Châu tìm hiểu vấn đề trên thông qua bài viết bên dưới đây nhé.
Dị dạng mạch máu não là một trong những vấn đề về não bộ hiếm gặp nhưng vô cùng nguy hiểm đối với người mắc phải. Có từ 3 – 5% dân số bị dị dạng mạch máu não và dẫn đến nhiều tình trạng nguy hiểm như đột quỵ, liệt cơ nếu không được phát hiện và điều trị kịp thời. Vậy nguyên nhân bị dị dạng mạch máu não là gì? Hãy cùng tìm hiểu vấn đề này qua bài viết bên dưới đây.
Dị dạng mạch máu não – A brain arteriovenous malformation (AVM) theo y học được định nghĩa là hiện tượng các mạch máu bất thường, bị rối loạn trong não bộ. Các dị dạng này khiến động mạch và tĩnh mạch não thông với nhau nhưng không đi qua các mao mạch, gây cản trở quá trình lưu thông máu và làm gián đoạn quá trình lưu chuyển máu giàu oxy đến não khiến các mô não không được cung cấp đủ máu và oxy.
Tình trạng này kéo dài sẽ làm mô não bị suy yếu hoặc chết đi vì không được cung cấp đủ oxy. Bên cạnh đó sẽ nguy hiểm hơn nếu máu lưu thông qua mạch máu não bị dị dạng có áp suất cao và lưu chuyển tốc độ nhanh sẽ khiến mạch máu dễ vỡ và gây xuất huyết não hoặc các biến chứng nghiêm trọng khác.

Dị dạng mạch máu não rất hiếm và ít khi xảy ra, theo thống kê cho thấy có từ 3 – 5 % dân số là bị dị dạng mạch máu não. Người mắc bệnh này thường do di truyền hoặc hình thành do các hoạt động kích thích sinh mạch (hiện tượng hình thành mạch máu mới từ những mạch máu sẵn có trước đó).
Tuy nhiên các nhà nghiên cứu y học cho rằng hầu hết các trường hợp dị dạng mạch máu não sẽ xuất hiện trong quá trình phát triển của thai nhi từ tuần 4 – 8 của thai kỳ. Đây còn được gọi là dị dạng mạch máu não bẩm sinh.
Người bị dị dạng mạch máu não thường sẽ không có bất kỳ dấu hiệu hay triệu chứng nào rõ ràng cho đến khi bị vỡ mạch máu và dẫn đến hiện tượng xuất huyết não. Có thể nói xuất huyết là dấu hiệu đầu tiên của dị dạng mạch máu não.
Xuất huyết là do các tổn thương từ những cơn co giật gây nên và chỉ được phát hiện thông qua việc chụp hình ảnh não bộ. Một số trường hợp bệnh không xuất hiện bất kỳ dấu hiệu hay triệu chứng báo trước nào mà được phát hiện thông qua việc khám sức khỏe định kỳ hoặc trong quá trình điều trị bệnh khác.

Tuy nhiên một số triệu chứng của dị dạng mạch máu não sẽ xuất hiện trong độ tuổi từ 10 - 40 tuổi. Cụ thể:
Nếu không phát hiện kịp thời khiến mạch máu bị vỡ và dẫn đến đột quỵ. Giai đoạn này thường biểu hiện thông qua một số triệu chứng như:
Càng lớn tuổi thì các triệu chứng sẽ giảm bớt và có xu hướng duy trì ổn định. Tuy nhiên đối với các bà mẹ đang mang thai thì các triệu chứng có xu hướng phát triển nhanh theo chiều hướng xấu do sự thay đổi của cơ thể về lượng máu, tốc độ lưu thông máu và huyết áp.
Người bị dị dạng mạch máu não nếu không được phát hiện kịp thời và có phương pháp điều trị hợp lý sẽ dễ để lại nhiều biến chứng nghiêm trọng bao gồm:
Bác sĩ có thể yêu cầu người bệnh làm nhiều xét nghiệm để có thể chẩn đoán tình trạng bệnh chính xác hơn. Một số xét nghiệm được sử dụng trong quá trình chẩn đoán đoán dị dạng mạch máu não gồm:
Chụp động – tĩnh mạch não: Đây là xét nghiệm chi tiết não bộ để giúp bác sĩ chẩn đoán các nguyên nhân dị dạng mạch máu não. Việc chụp động mạch sẽ xem xét các vị trí, đặc điểm các động mạch nuôi dưỡng và quá trình dẫn lưu tĩnh mạch. Bác sĩ sẽ luồn 1 ống dài mỏng vào trong động mạch thông qua hướng dẫn từ hình ảnh X-quang. Sau đó sẽ tiêm thuốc nhuộm vào mạch máu não để làm rõ hình ảnh mạng lưới các mạch máu não dưới hình ảnh X- quang.
Chụp CT (cắt lớp vi tính): Đây là biện pháp sử dụng các tia X để tạo ra hình ảnh cắt lớp ngang chi tiết của não bộ người bệnh. Tương tự chụp động – tĩnh mạch não thì bác sĩ cũng sẽ tiêm thuốc nhuộm mạch máu qua ống tiêm tĩnh mạch để các phần dị dạng mạch máu được thể hiện rõ hơn qua ảnh chụp.
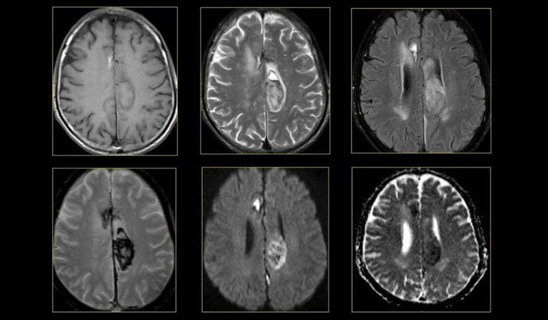
Chụp cộng hưởng từ (MRI): Biện pháp này sử dụng nam châm và sóng vô tuyến mạnh để có thể tạo ra hình ảnh chi tiết về não bộ người bệnh. Hình ảnh chụp sẽ chi tiết hơn về các mô não có liên quan đến nguyên nhân bị dị dạng mạch máu não, từ đó cung cấp thông tin chi tiết cho bác sĩ về vị trí chính xác của dị tật hoặc bất kỳ chi tiết nào liên quan đến dị dạng mạch máu não.

Mục tiêu điều trị là giúp bệnh nhân phòng ngừa tình trạng xuất huyết não do mạch máu bị vỡ. Vì thế sẽ tùy thuộc vào kết quả chẩn đoán, vị trí mạch máu, độ tuổi và giới tính để có thể đưa ra phương pháp điều trị phù hợp như:
Trên đây là toàn bộ bài viết “Nguyên nhân bị dị dạng mạch máu não và cách điều trị bệnh hiệu quả” mà bạn đọc có thể tham khảo để biết thêm nhiều thông tin liên quan đến các nguyên nhân bị dị dạng mạch máu não. Đây là một căn bệnh nguy hiểm, vì thế cần đến gặp bác sĩ hoặc tiến hành kiểm tra sức khỏe tổng quát khi phát hiện các triệu chứng bất thường để xác định tình trạng và tìm hướng xử lý tốt nhất. Chúc bạn đọc nhiều sức khỏe!
Ánh Vũ
Nguồn tham khảo: Tổng hợp
Dược sĩ Đại họcNgô Kim Thúy
Tốt nghiệp loại giỏi trường Đại học Y Dược Huế. Từng tham gia nghiên cứu khoa học đề tài về Dược liệu. Nhiều năm kinh nghiệm làm việc trong lĩnh vực Dược phẩm. Hiện đang là giảng viên cho Dược sĩ tại Nhà thuốc Long Châu.