• Thực phẩm chức năng

  • Dược mỹ phẩm

  • Thuốc

  • Chăm sóc cá nhân

  • Thiết bị y tế

  • Tiêm chủng

  • Bệnh & Góc sức khỏe

  • Hệ thống nhà thuốc

    1. /
    2. Góc sức khỏe/
    3. Phòng bệnh & Sống khoẻ

    Nguyên nhân thường gặp gây đau khớp 2 ngón tay cái

    21/06/2023

    Kích thước chữ

    Cần xác định chính xác nguyên nhân gây đau khớp 2 ngón tay cái để lựa chọn phương pháp điều trị phù hợp. Chỉ khi xác định đúng nguyên nhân thì phương pháp điều trị mới đem lại hiệu quả cao.

    Khớp ngón tay là nơi tiếp xúc giữa hai đốt xương ngón tay với xương bàn tay. Ngón tay có thể chuyển động linh hoạt với độ chính xác cao là nhờ sự phối hợp của hệ thống cơ, gân, dây chằng và thần kinh. Đau khớp 2 ngón tay cái là tình trạng khá phổ biến do chấn thương hoặc bệnh lý. Người bệnh không nên chủ quan bởi nó có thể làm giảm chức năng chuyển động của tay.

    Nguyên nhân điển hình gây đau khớp 2 ngón tay cái

    Do chấn thương

    Ngón tay cái có cấu trúc phức tạp, lại nằm ở vị trí dễ bị tổn thương nên các chấn thương cũng thường gặp hơn. Một số loại chấn thương gây đau khớp 2 ngón tay cái thường gặp gồm:

    • Bong gân: Khi dây chằng bị giãn hoặc bị rách.
    • Căng kéo: Xảy ra khi các cơ và gân cơ bị giãn dẫn đến rách.
    • Trật khớp: Là tình trạng đốt ngón tay cái bị lệch khỏi vị trí đúng do bị tác động lực quá mạnh.
    • Nứt xương hoặc gãy ngón tay cái: Thường xảy ra khi ngón tay cái bị vật nặng rơi vào tay hoặc khi đấm với lực quá lớn.
    Ngón tay cái có cấu trúc phức tạp, lại nằm ở vị trí dễ bị tổn thương nên các chấn thương cũng thường gặp hơn Ngón tay cái có cấu trúc phức tạp, lại nằm ở vị trí dễ bị tổn thương nên các chấn thương cũng thường gặp hơn

    Chấn thương gây đau khớp 2 ngón tay cái khá đa dạng, với nhiều mức độ đau khác nhau từ nhẹ đến nặng. Đa số các cơn đau sẽ xuất hiện ngay sau chấn thương. Sau đó khớp ngón tay cái sẽ dần sưng to, giảm tính linh hoạt cũng như hạn chế cử động của ngón tay cái.

    Bệnh viêm khớp dạng thấp

    Viêm khớp dạng thấp là bệnh tự miễn do sự rối loạn của hệ miễn dịch gây nên, dẫn đến viêm, đau các khớp. Bệnh lý này thường ảnh hưởng các khớp có tần suất chuyển động cao như khớp đầu gối, khớp cổ chân, khớp cổ tay và khớp các ngón tay trong đó có khớp 2 ngón tay cái.

    Triệu chứng của viêm khớp dạng thấp gây đau khớp 2 ngón tay cái có thể nhận biết như sau:

    • Khớp ngón tay cái bị cứng, nhất là vào buổi sáng khi vừa thức dậy.
    • Đau nhức và tăng tính nhạy cảm ở khớp 2 ngón tay cái.
    • Đau và cứng các khớp xung quanh như khớp cổ tay, khớp các ngón tay còn lại.

    Đây là bệnh lý phức tạp và đến hiện tại vẫn chưa có biện pháp điều trị dứt điểm. Vì vậy người bệnh phải sống chung với bệnh lâu dài. Tuy nhiên, nếu tích cực điều trị thì các triệu chứng viêm, đau khớp 2 ngón tay cái và các khớp khác cũng sẽ được cải thiện.

    Viêm khớp 2 ngón tay cái

    Viêm khớp 2 ngón tay cái thường xảy ra song song với quá trình lão hóa. Có nghĩa là người càng lớn tuổi càng có nguy cơ mắc phải tình trạng này. Bên cạnh đó, những người từng bị chấn thương ở 2 ngón tay cái trước đó thì khả năng viêm cũng cao hơn.

    Viêm khớp có thể gây mọc xương mới bất thường gây đau nhức và biến dạng khớp Viêm khớp có thể gây mọc xương mới bất thường gây đau nhức và biến dạng khớp

    Khi bị viêm khớp 2 ngón tay cái, người bệnh càng cố vận động ngón tay cái thì các xương càng chà xát nhiều với nhau. Từ đó gây sưng đau nghiêm trọng hơn. Không những thế, những tổn thương do bệnh lý này gây nên còn có thể gây mọc xương mới bất thường. Xương mới này càng phát triển sẽ càng gây đau đớn và biến dạng cấu trúc khớp 2 ngón tay cái.

    Ngón tay lò xo (Ngón tay cò súng)

    Ngón tay lò xo hay còn có tên gọi khác là ngón tay cò súng. Bệnh lý này đề cập đến tình trạng viêm hay thoái hóa bao gân ngón tay. Điều này có thể làm hẹp bao gân và khiến cho các gân gặp khó khăn trong việc gấp và duỗi các ngón tay.

    Các triệu chứng của ngón tay lò xo gồm:

    • Đau và cứng ở gốc 2 ngón tay cái hoặc chỉ bị ở một bên trái hoặc phải.
    • Xuất hiện những nốt đau ở gần gốc ngón tay cái.
    • Ngón tay cái khó duỗi thẳng.
    • Cảm giác có tiếng kêu lạo xạo khi uốn cong hay duỗi thẳng khớp ngón tay cái.

    Chẩn đoán nguyên nhân gây đau khớp 2 ngón tay cái

    Để chẩn đoán và tìm ra nguyên nhân gây đau khớp 2 ngón tay cái, đầu tiên bác sĩ sẽ hỏi một số câu hỏi liên quan đến triệu chứng, như:

    • Bạn bị đau khớp 2 ngón tay cái được bao lâu rồi?
    • Có các triệu chứng nào khác kèm theo những cơn đau không?
    • Các triệu chứng xảy ra khi nào?

    Ngoài các câu hỏi về bệnh lý, bác sĩ cũng có thể đề cập đến chế độ sinh hoạt, ăn uống hay công việc thường ngày của người bệnh.

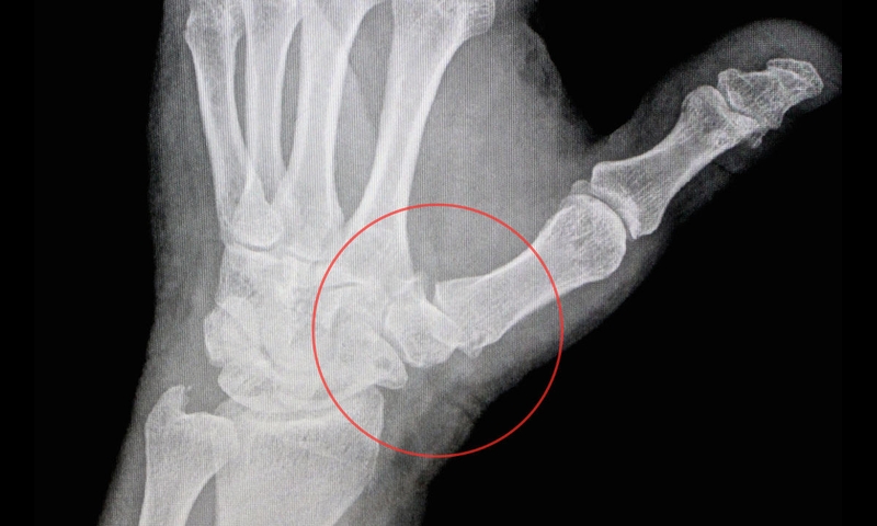
    Bạn được chỉ định thực hiện một số xét nghiệm cần thiết để xác định chính xác nguyên nhân gây đau khớp 2 ngón tay cái Bạn được chỉ định thực hiện một số xét nghiệm cần thiết để xác định chính xác nguyên nhân gây đau khớp 2 ngón tay cái

    Sau đó, để xác nhận chẩn đoán chính xác, bác sĩ sẽ yêu cần bạn thực hiện một số xét nghiệm cần thiết:

    • Xét nghiệm máu.
    • Chụp X-quang.
    • Chụp cắt lớp.
    • Chụp cộng hưởng từ.
    • Siêu âm khớp.
    • Kiểm tra phản xạ thần kinh.

    Dựa vào những kết quả xét nghiệm và các thông tin ban đầu, bác sĩ sẽ xác định nguyên nhân gây đau khớp 2 ngón tay cái. Tùy thuộc vào nguyên nhân mà người bệnh sẽ được chỉ định phác đồ điều trị phù hợp.

    Đau khớp 2 ngón tay cái là tình trạng khá phổ biến nhưng bạn không nên chủ quan. Nếu triệu chứng đau kép dài hay trở nên nghiêm trọng thì bạn cần chủ động gặp bác sĩ để được chẩn đoán và điều trị kịp thời. Bài viết trên đây đã giúp bạn tổng hợp các nguyên nhân thường gặp gây đau khớp 2 ngón tay cái.

    Ngọc Hiếu

    Nguồn tham khảo: Tổng hợp

    Thông tin và sản phẩm gợi ý trong bài viết chỉ mang tính chất tham khảo, vui lòng liên hệ với Bác sĩ, Dược sĩ hoặc chuyên viên y tế để được tư vấn cụ thể. Xem thêm

    Dược sĩ Đại họcTrần Huỳnh Minh Nhật

    Đã kiểm duyệt nội dung

    Dược sĩ chuyên khoa Dược lý - Dược lâm sàng. Tốt nghiệp 2 trường đại học Mở và Y Dược TP. Hồ Chí Minh. Có kinh nghiệm nghiên cứu về lĩnh vực sức khỏe, đạt được nhiều giải thưởng khoa học. Hiện là Dược sĩ chuyên môn phụ trách xây dựng nội dung và triển khai dự án đào tạo - Hội đồng chuyên môn tại Nhà thuốc Long Châu.

    Xem thêm thông tin
    Chủ đề:Đau khớp ngón