• Thực phẩm chức năng

  • Dược mỹ phẩm

  • Thuốc

  • Chăm sóc cá nhân

  • Thiết bị y tế

  • Tiêm chủng

  • Bệnh & Góc sức khỏe

  • Hệ thống nhà thuốc

    1. /
    2. Góc sức khỏe/
    3. Phòng bệnh & Sống khoẻ

    Nguyên nhân gây tụt lợi chân răng là gì?

    21/06/2023

    Kích thước chữ

    Tụt lợi chân răng gây ra không ít phiền toái cho người bệnh. Tình trạng này gây ê buốt, không vệ sinh sạch sẽ chân răng được và kéo theo một số vấn đề răng miệng khác. Vậy nguyên nhân gây tụt lợi chân răng là gì? Tình trạng này có điều trị được không?

    Tụt lợi chân răng là bệnh lý nha khoa phổ biến. Mặc dù tình trạng này không gây nguy hiểm nhưng có thể dẫn đến những vấn đề nghiêm trọng khác, ví dụ như mòn chân răng, lộ ngà răng, viêm tủy,... Vậy nguyên nhân gây tụt lợi chân răng là gì?

    Tụt lợi chân răng là gì?

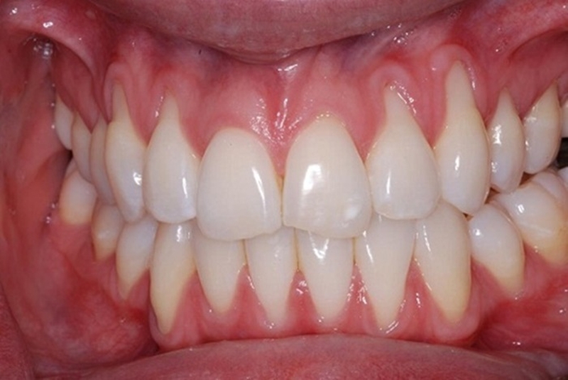
    Tụt lợi chân răng là hiện tượng phần lợi bảo vệ chân răng có xu hướng di chuyển dần xuống cuống răng sâu phía dưới. Việc này khiến cho phần thân răng tại đây hở ra ngoài. Tụt lợi có thể xảy ra ở một vài cái răng, một hàm răng hoặc cả hai hàm. Đi kèm với tụt lợi chân răng là các triệu chứng sưng lợi, chảy máu chân răng, hôi miệng.

    Nguyên nhân gây tụt lợi chân răng là gì Tụt lợi chân răng khiến phần thân răng hở ra ngoài

    Tụt lợi chân răng có thể chia thành 2 loại:

    • Tụt lợi có thể nhìn thấy được: Đây là phần nhìn thấy bằng mắt thường.
    • Tụt lợi không thể nhìn thấy được: Đây là phần được che phủ bởi lợi và phần này chỉ có thể đo được bằng cây thăm dò quanh răng với vị trí bám dính của biểu mô.

    Người mắc bệnh tụt lợi có thể có một số biểu hiện sau:

    • Lợi bị sưng đỏ, đi kèm là cảm giác đau và khó chịu.
    • Chảy máu chân răng sau khi đánh răng hoặc khi dùng chỉ nha khoa.
    • Hơi thở có mùi hôi khó chịu.
    • Lợi bị co rút lại rõ rệt, răng có dấu hiệu lung lay.

    Vậy đâu là nguyên nhân gây tụt lợi chân răng?

    Nguyên nhân gây tụt lợi chân răng

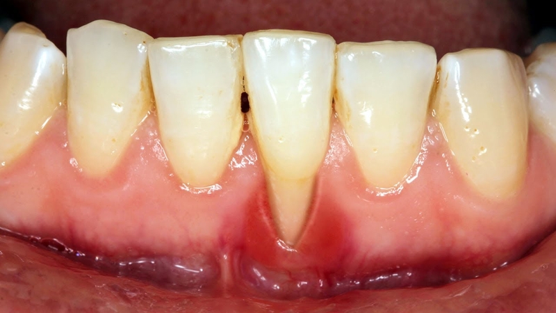
    Nguyên nhân gây tụt lợi chân răng là gì? Tụt lợi chân răng là vấn đề đa nguyên nhân, nó có thể phát sinh từ sinh lý, bệnh lý hay sang chấn hoặc là sự kết hợp của nhiều nguyên nhân.

    Nguyên nhân gây tụt lợi chân răng Tụt lợi chân răng có thể phát sinh từ sinh lý, bệnh lý hay sang chấn

    Nguyên nhân gây tụt lợi chân răng do bệnh lý

    • Viêm quanh răng và túi bệnh lý sâu là những nguyên nhân gây bị tụt lợi chân răng thường gặp.
    • Viêm nha chu, đây là bệnh lý khiến các mô lợi và các tổ chức nâng đỡ răng bị phá hủy, từ đó khiến cho chân răng bị tụt lợi.
    • Cao răng bị tích tụ và không được lấy kịp thời và qua thời gian dài sẽ khiến cho chân răng bị tụt lợi và gây chảy máu chân răng.

    Nguyên nhân do sinh lý

    • Tụt lợi sinh lý có xu hướng gia tăng theo độ tuổi, tỷ lệ tụt lợi chân răng từ 8% ở trẻ em lên tới 100% đối với những đối tượng trên 50 tuổi.
    • Thay đổi nội tiết tố là nguyên nhân hàng đầu gây tụt lợi chân răng ở phụ nữ. Bởi vì khi nội tiết tố của phụ nữ thay đổi sẽ khiến cơ thể trở nên vô cùng nhạy cảm và dễ bị vi khuẩn gây bệnh tấn công, trong đó có cả vi khuẩn ở răng miệng.

    Nguyên nhân sang chấn

    • Tụt lợi chân răng có thể là do chải răng sai kỹ thuật làm sang chấn mòn lợi, khiến cho lợi mỏng và thấp dần.
    • Sang chấn khớp cắn chính là một trong những yếu tố thuận lợi làm trầm trọng hơn tình trạng tụt lợi do tăng sinh biểu mô và viêm tại chỗ.
    • Răng bị xô lệch, điều này sẽ tác động lực rất lớn lên lợi và xương của các răng kế bên. Việc này dễ khiến các răng này bị tụt lợi.
    • Các thói quen xấu như nghiến răng hoặc hút thuốc lá cũng là nguyên nhân phổ biến gây ra tình trạng tụt lợi chân răng.

    Tụt lợi chân răng dẫn đến hậu quả gì?

    Tuy rằng tụt lợi chân răng không quá nguy hiểm thế nhưng tụt lợi có thể để lại một số hậu quả như sau:

    • Tụt lợi chân răng làm bề mặt chân răng lộ ra nên làm cho nguy cơ sâu chân răng tăng. Không những vậy, chân răng bị ăn mòn khi chải răng làm lộ ngà răng cũng sẽ gây ê buốt răng khi bị kích thích nóng lạnh, chua ngọt.
    • Tụt lợi vượt quá ranh giới lợi dính, là lớp niêm mạc tiền đình thì bờ lợi thường xuyên bị co kéo trong các hoạt động chức năng nhai làm bong tróc lợi khỏi bề mặt răng.
    • Tụt lợi tạo điều kiện cho thức ăn, mảng bám và vi khuẩn tích tụ, nhất là tụt lợi vùng kẽ răng.
    • Ảnh hưởng lớn đến tính thẩm mỹ của hàm răng.

    Tụt lợi chân răng là bệnh lý răng miệng thường gặp. Tuy rằng bệnh này không quá nguy hiểm nhưng nó có thể ảnh hưởng đến chất lượng đời sống của bệnh nhân. Lâu dần nó còn có thể ảnh hưởng đến tính thẩm mỹ của người bệnh. Chính vì thế nên khi có dấu hiệu của bệnh tụt lợi, người bệnh nên đến các cơ sở y tế, phòng khám nha khoa uy tín để được thăm khám và điều trị triệt để.

    Tụt lợi không quá nguy hiểm nhưng nó có thể ảnh hưởng đến chất lượng đời sống của bệnh nhân Tụt lợi ảnh hưởng đến thẩm mỹ nụ cười

    Một số cách điều trị tụt lợi chân răng hiện nay

    Việc điều trị tụt lợi chân răng sẽ dựa vào tình trạng nặng hay nhẹ của người bệnh.

    Trường hợp nhẹ

    Đối với các trường hợp nhẹ, cách điều trị tụt lợi chân răng khá đơn giản. Người bệnh chỉ cần chú trọng trong việc vệ sinh răng miệng, đánh răng đúng cách, lấy cao răng và ngậm gel flour để răng luôn chắc khỏe,... hoặc áp dụng các cách chữa tụt lợi chân răng tại nhà đơn giản bằng nguyên liệu thiên nhiên.

    Trường hợp nặng

    Cách điều trị tụt lợi chân răng đối với các trường hợp nặnghiệu quả nhất là phẫu thuật. Phẫu thuật tụt lợi chân răng được chia thành 3 nhóm:

    • Nhóm sử dụng vạt tại chỗ có chân nuôi.
    • Nhóm sử dụng mô ghép rời tự thân lấy từ vị trí khác trong miệng.
    • Nhóm phương pháp sử dụng màng nhân tạo kết hợp vạt tại chỗ.

    Mỗi cách điều trị tụt lợi chân răng đều có ưu và nhược điểm riêng. Bác sĩ nha khoa sẽ dựa vào tình trạng thực tế của răng bệnh nhân để có thể tư vấn cho người bệnh phương pháp thích hợp và đạt hiệu quả cao nhất.

    Như vậy qua bài viết trên, bạn đã có thể biết được nguyên nhân gây tụt lợi chân răng, từ đó có thể tìm cách phòng ngừa. Hy vọng những thông tin về tụt lợi chân răng được chia sẻ trên hữu ích đối với bạn.

    Ngọc Hiếu

    Nguồn tham khảo: Tổng hợp

    Có thể bạn quan tâm

    Thông tin và sản phẩm gợi ý trong bài viết chỉ mang tính chất tham khảo, vui lòng liên hệ với Bác sĩ, Dược sĩ hoặc chuyên viên y tế để được tư vấn cụ thể. Xem thêm

    Dược sĩ Đại họcNguyễn Thị Hồng Nhung

    Đã kiểm duyệt nội dung

    Tốt nghiệp đại học Khoa Dược. Có kinh nghiệm hơn 10 năm trong lĩnh vực Dược phẩm, tư vấn thuốc và thực phẩm chức năng. Hiện đang là giảng viên cho Dược sĩ tại Nhà thuốc Long Châu.

    Xem thêm thông tin