Với nhiều năm kinh nghiệm trong lĩnh vực tiêm chủng, bác sĩ luôn tận tâm trong việc bảo vệ sức khỏe cộng đồng. Hiện tại, bác sĩ đang giữ vai trò bác sĩ Trưởng Trung tâm Tiêm chủng Long Châu.
:format(webp)/1154_viem_nha_chu_3723_61d8_large_aaf450c9c3.jpg)
:format(webp)/1154_viem_nha_chu_3723_61d8_large_aaf450c9c3.jpg)
Bác sĩPĂNG TING K'LiNa
Với nhiều năm kinh nghiệm trong lĩnh vực tiêm chủng, bác sĩ luôn tận tâm trong việc bảo vệ sức khỏe cộng đồng. Hiện tại, bác sĩ đang giữ vai trò bác sĩ Trưởng Trung tâm Tiêm chủng Long Châu.
Viêm nha chu là một bệnh lý viêm răng miệng mãn tính, làm tổn thương mô mềm và có thể dẫn đến phá hủy xương nâng đỡ răng. Bệnh thường biểu hiện như tình trạng viêm nướu ngày càng trầm trọng hơn và nếu không được điều trị, răng sẽ bị lung lay và dẫn đến mất răng. Các triệu chứng khác hiếm khi xảy ra ngoại trừ những bệnh nhân bị nhiễm HIV hoặc bị áp xe, trong trường hợp này, đau và sưng là rất phổ biến.
Viêm nha chu (Periodontitis) là một bệnh nhiễm trùng nướu răng nghiêm trọng, dẫn đến tổn thương các mô nâng đỡ răng. Bệnh phát triển do vệ sinh răng miệng kém, gây sưng, đỏ và chảy máu nướu, và nếu không được điều trị kịp thời, có thể phá hủy xương nâng đỡ răng, dẫn đến răng lung lay hoặc rụng.
Đây là bệnh phổ biến do tình trạng vệ sinh răng miệng kém nhưng phần lớn có thể phòng ngừa được bằng cách vệ sinh răng hằng ngày, cùng với việc sử dụng chỉ nha khoa và kiểm tra răng miệng định kỳ.
:format(webp)/RHM_VIEMNHACHU_CAROUSEL_240613_1_ed51d32a43.png)
:format(webp)/RHM_VIEMNHACHU_CAROUSEL_240613_2_8b30688143.png)
:format(webp)/RHM_VIEMNHACHU_CAROUSEL_240613_3_69f0dafe09.png)
:format(webp)/RHM_VIEMNHACHU_CAROUSEL_240613_4_b7927d6279.png)
:format(webp)/RHM_VIEMNHACHU_CAROUSEL_240613_5_c331da04fb.png)
:format(webp)/RHM_VIEMNHACHU_CAROUSEL_240613_6_1691013a3e.png)
:format(webp)/RHM_VIEMNHACHU_CAROUSEL_240613_7_f70f9e9098.png)
:format(webp)/RHM_VIEMNHACHU_CAROUSEL_240613_1_ed51d32a43.png)
:format(webp)/RHM_VIEMNHACHU_CAROUSEL_240613_2_8b30688143.png)
:format(webp)/RHM_VIEMNHACHU_CAROUSEL_240613_3_69f0dafe09.png)
:format(webp)/RHM_VIEMNHACHU_CAROUSEL_240613_4_b7927d6279.png)
:format(webp)/RHM_VIEMNHACHU_CAROUSEL_240613_5_c331da04fb.png)
:format(webp)/RHM_VIEMNHACHU_CAROUSEL_240613_6_1691013a3e.png)
:format(webp)/RHM_VIEMNHACHU_CAROUSEL_240613_7_f70f9e9098.png)
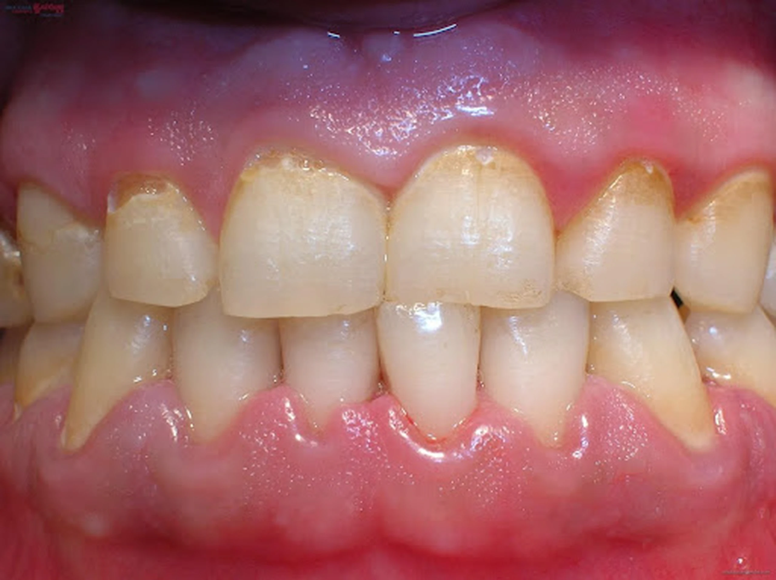
Thông thường, nướu chắc mịn, ôm khít lấy răng, và tạo hình nhú nướu khỏe mạnh. Nướu sừng hóa gần thân răng là mô hồng có dạng chấm, bao phủ phần không gian giữa các thân răng. Phần nướu xa thân răng được gọi là niêm mạc xương ổ răng, không sừng hóa, giàu mạch máu, di động, và liên tục với niêm mạc miệng. Dùng cây đè ép lên vùng nướu bình thường thì không chảy máu hoặc mủ. Khi bị viêm nha chu, sẽ có những thay đổi ở phần nướu này bao gồm các dấu hiệu, triệu chứng sau:
Theo phân loại của Viện Nha khoa Hoa Kỳ 2017 (American Academy of Periodontology's - AAP) có 3 dạng viêm nha chu và với mỗi loại sẽ có 1 vài triệu chứng, dấu hiệu đặc trưng riêng:
Viêm nha chu làm tổn thương mô mềm và có thể dẫn đến phá hủy xương nâng đỡ răng, răng sẽ bị lung lay và dẫn đến mất răng. Chức năng nhai bị ảnh hưởng, gây đau đớn, ảnh hưởng lớn đến chất lượng sống của người bệnh.
Bệnh nha chu có thể làm tổn thương nướu và phá hủy mô xương nâng đỡ răng, có thể dẫn đến mất răng. Ngoài ra, sự thâm nhập của các vi khuẩn ở các mảng bám ở bề mặt răng qua mô nướu và vào hệ tuần hoàn chung có thể gây ảnh hưởng đến các cơ quan khác trong cơ thể và gây ra các bệnh lý: Các bệnh lý hô hấp như viêm phổi, COPD, đái tháo đường, bệnh lý tim mạch như tăng huyết áp đến nhồi máu cơ tim, đau thắt ngực suy tim và đột quỵ; viêm khớp dạng thấp, bệnh Alzheimer và các biến chứng trên thai kỳ như nguy cơ sinh non, sinh nhẹ cân.
Thường xuyên kiểm tra răng miệng theo lịch hẹn với nha sĩ. Nếu bạn nhận thấy bất kỳ triệu chứng nào của bệnh viêm nha chu, hãy liên hệ ngay với nha sĩ để được kiểm tra và tư vấn. Viêm nha chu càng dễ điều trị và khỏi bệnh khi bạn đi khám càng sớm.
Hầu hết các trường hợp viêm nhu chu có nguyên nhân chính là các mảng bám răng (do vệ sinh răng miệng kém) gây ra. Một số ít các trường hợp không do mảng bám răng.
Khi vệ sinh răng miệng kém, thường sẽ có sự tích tụ nhiều mảng bám tích tụ giữa răng và lợi, đó là sự kết tụ của vi khuẩn, cặn thức ăn, nước bọt và chất nhầy có muối canxi và photphat. Nếu các mảng bám này không được loại bỏ qua đánh răng hoặc dùng chỉ nha khoa, sẽ gây ra tình trạng viêm nướu, đây là tình trạng nướu bị kích thích và viêm một phần nướu xung quanh chân răng.
Các mảng bám không được loại bỏ sẽ cứng lại, hình thành nên vôi răng (cao răng), đồng thời các mảng bám càng đi sâu quá rãnh lợi bình thường, tạo ra túi nướu chứa các vi khuẩn kỵ khí bao gồm Aggregatibacter actinomycetemcomitans, Porphyromonas gingivalis, Eikenella corrodens, và nhiều trực khuẩn Gram âm.
Các vi khuẩn này kích hoạt giải phóng các chất trung gian gây viêm bao gồm cytokine, prostaglandin, và các enzym từ bạch cầu trung tính và bạch cầu đơn nhân. Kết quả là tình trạng viêm ảnh hưởng đến dây chằng nha chu, nướu, men răng và xương ổ răng. Nướu dần dần mất khả năng bám vào răng, bắt đầu tiêu xương và túi nha chu sâu hơn. Với tình trạng mất xương tiến triển, răng có thể lung lay và lợi bị tụt xuống. Răng lung lay thường xảy ra ở giai đoạn sau và có thể bị mất răng.
Viêm lợi không do mảng bám xảy ra với một tỷ lệ nhỏ. Nguyên nhân bao gồm nhiễm vi khuẩn, virus và nấm, phản ứng dị ứng, chấn thương, rối loạn niêm mạc da (ví dụ như lichen planus, pemphigoid) và các rối loạn về di truyền (ví dụ, u xơ lợi di truyền).
Msdmanuals: https://www.msdmanuals.com/vi/chuy%C3%AAn-gia/r%E1%BB%91i-lo%E1%BA%A1n-nha-khoa/c%C3%A1c-r%E1%BB%91i-lo%E1%BA%A1n-nha-chu/vi%C3%AAm-quanh-r%C4%83ng
Msdmanuals: https://www.msdmanuals.com/professional/dental-disorders/periodontal-disorders/periodontitis
Mayoclinic: https://www.mayoclinic.org/diseases-conditions/periodontitis/diagnosis-treatment/drc-20354479
Bộ Y Tế (2015), Hướng dẫn chẩn đoán và điều trị một số bệnh về Răng Hàm Mặt.
Viêm nha chu nếu không được điều trị có thể gây tổn thương mô nướu và phá hủy xương nâng đỡ răng, dẫn đến răng lung lay và mất răng. Bệnh còn ảnh hưởng đến chức năng nhai gây đau đớn và giảm chất lượng sống. Vi khuẩn từ mảng bám răng có thể xâm nhập vào hệ tuần hoàn và ảnh hưởng đến các cơ quan khác trong cơ thể.
Việc điều trị viêm nha chu khỏi hoàn toàn hay không còn phụ thuộc vào từng trường hợp cụ thể. Việc điều trị bệnh nha chu có thể đạt kết quả tốt nếu phát hiện sớm và làm sạch cao răng kịp thời, giúp vi khuẩn được kiểm soát và răng chắc khỏe trở lại. Tuy nhiên, nếu xương đã bị tiêu hủy và mảng bám vẫn tiếp tục hình thành, bệnh có thể tái phát mặc dù đã điều trị thành công ở một mức độ nào đó.
Xem thêm chi tiết: Viêm nha chu có chữa được không? Điều trị thế nào?
Vi khuẩn gây viêm nha chu có thể lây qua nước bọt khi bạn hôn, uống chung ly hoặc dùng chung đồ vật với người bệnh. Tuy nhiên, việc tiếp xúc gần không chắc chắn sẽ dẫn đến việc mắc bệnh.
Xem thêm chi tiết: Giải đáp thắc mắc bệnh viêm nha chu có lây không?
Viêm nha chu có thể cải thiện trong khoảng 5 - 7 ngày bằng cách vệ sinh răng miệng, cạo vôi răng hoặc dùng thuốc. Tuy nhiên, do bệnh có tính chất mãn tính và dễ tái phát, việc chữa trị một lần không thể hoàn toàn ngăn ngừa nguy cơ tái phát.
Xem thêm chi tiết: Viêm nha chu bao lâu thì khỏi?
Bạn cần gặp bác sĩ nếu nghi ngờ bị viêm nha chu khi nướu sưng đỏ, đau hoặc chảy máu khi đánh răng hoặc ăn thức ăn cứng. Các dấu hiệu khác như răng lung lay, khối u trên nướu, loét miệng, mảng đỏ trong miệng và hôi miệng cũng cần được thăm khám kịp thời để tránh biến chứng nghiêm trọng.
Hỏi đáp (0 bình luận)