Tốt nghiệp Đại học Dược Hà Nội, với hơn 10 năm kinh nghiệm trong lĩnh vực Dược phẩm. Hiện là giảng viên giảng dạy các môn Dược lý, Dược lâm sàng,...
12/09/2025
Mặc định
Lớn hơn
Mảng bám đen trên răng là một nỗi trăn trở đối với những người mong muốn sở hữu một hàm răng chắc khỏe và sáng bóng. Việc xuất hiện các mảng bám đen không những gây mất thẩm mỹ, giảm sự tự tin khi giao tiếp mà lâu dần còn gây ra ảnh hưởng nghiêm trọng đến sức khỏe răng miệng.
Vậy làm cách nào để loại bỏ mảng bám đen trên răng hiệu quả? Câu hỏi này sẽ được giải đáp thông qua bài viết dưới đây nhằm giúp bạn không còn lo lắng về những mảng bám cứng đầu.
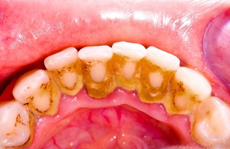
Cao răng đen thường bắt nguồn từ những mảng bám vôi răng màu vàng thông thường. Ban đầu, mảng bám sẽ hơi nhờn dính nên dễ dàng kết hợp với các vi khuẩn và thức ăn tích tụ lại. Tuy nhiên, nếu lâu dần không được vệ sinh sạch sẽ thì những mảng bám này sẽ dần bị vôi hóa và cứng lại. Qua thời gian gặp nhiều yếu tố tác động, chúng dần chuyển sang màu nâu và đen gây mất thẩm mỹ và tiềm ẩn nhiều bệnh lý nguy hiểm.

Cao răng đen thường bắt nguồn từ những mảng bám vôi răng màu vàng thông thường
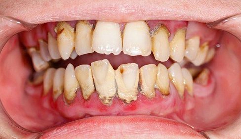
Việc hình thành các mảng bám đen ở chân răng là một tình trạng dễ xuất hiện ở những người chưa biết làm vệ sinh răng miệng tốt. Các mảng bám thường tích tụ nhiều ở phần chân răng mà chúng ta có thể dễ dàng quan sát thấy nhưng ít người có thói quen làm sạch các mảng bám này.
Để loại bỏ các mảng bám đen này chúng ta chỉ đơn giản là biết cách làm sạch răng miệng hiệu quả và tránh những thói quen xấu như dùng những chất kích thích. Bên cạnh đó cần thăm khám kiểm tra răng miệng định kỳ để bảo đảm về sức khỏe răng miệng của mình.
Mảng bám đen chân răng xuất hiện do rất nhiều những yếu tố khác nhau mà chúng ta nên biết rõ.
Mảng bám đen chân răng có thể hình thành do các loại thức ăn, nước uống mà bạn sử dụng hàng ngày. Có một số loại thực phẩm khi ăn vào dính răng, khó làm vệ sinh, tạo nên các mảng bám khó mà làm sạch. Bên cạnh đó, thực phẩm cũng là một nguyên nhân khiến cho chúng ta bị hôi miệng và viêm nướu.
Những người mắc tình trạng mảng bám đen trên chân răng là những người thường xuyên ăn những loại thực phẩm có chứa nhiều phẩm màu như nước ngọt có gas đóng chai, các loại rượu đỏ, cà phê đen và nước trà đậm. Đây là những thức ăn làm cho răng bị xỉn màu nhanh chóng và làm cho hơi thở có mùi hôi.

Mảng bám đen chân răng có thể hình thành do các loại thức ăn
Ăn trầu cau là một nét văn hóa truyền thống có từ xa xưa nhưng hiện nay vẫn còn phổ biến ở người lớn tuổi. Nhưng nhai trầu quá nhiều sẽ làm ảnh hưởng rất lớn đến màu sắc của răng và bị các mảng bám đen ở chân răng. Đặc biệt, khi ăn trầu không cẩn thận có thể làm cho niêm mạc bị phỏng, làm nướu bị viêm nhiễm và xuất huyết, mô bị cứng khô và hay chảy máu. Những trường hợp răng bị hình thành các mảng bám đen sau một thời gian dài không vệ sinh thì rất khó để làm trắng lại được. Vậy nên để tránh mảng bám đen chân răng thì không nên ăn trầu quá nhiều và sau khi ăn trầu thì phải súc miệng, đánh răng cẩn thận.
Mảng bám đen chân răng ở nam giới thường là do hút thuốc lá trong một thời gian dài. Trong thuốc lá có chứa vô số những thành phần độc hại làm ảnh hưởng đến các tế bào niêm mạc trong khoang miệng. Khói thuốc là mảng bám đen chân răng bám rất chặt và khó để làm vệ sinh.

Mảng bám đen chân răng ở nam giới thường là do hút thuốc lá
Một số tác hại mà mảng bám đen trên răng gây ra cho bạn:
Vi khuẩn trong vôi răng đen sẽ phá hủy dần men răng và tấn công dần xuống nướu. Khi xuống tới nướu, chúng sẽ liên tục kích ứng gây ra viêm lợi và nha chu.
Cao răng khi chuyển sang màu đen đồng nghĩa với việc đã tập hợp được cả trăm triệu loài vi khuẩn. Trong số đó sẽ có rất nhiều chủng vi khuẩn gây mùi nên khiến người bệnh bị hôi miệng, ảnh hưởng tới giao tiếp.
Vôi răng đen sẽ làm đứt gãy những liên kết giữa nướu và thân răng, từ đó gây ra tình trạng tụt nướu chân răng. Ngoài ra, chúng cũng tấn công vào xương hàm gây tiêu xương, lâu ngày không điều trị có thể khiến mất răng.
Khi cao răng bị chuyển sang màu đen tức là các mảng bám đã bám rất chắc trên răng, do đó các phương pháp đơn giản thông thường như đánh răng hay dùng nước súc miệng sẽ không mang lại được tác dụng hiệu quả.
Một vài cách chữa cao răng đen được coi là có mức độ hiệu quả cao nhất, tốt nhất bạn có thể tham khảo:
Chanh là loại quả chứa một lượng axit citric rất lớn. Khi thành phần này tiếp xúc với men răng sẽ có tác dụng làm mềm mảng bám cao răng, từ đó dễ tăng khả năng loại bỏ vôi răng đen.
Cách thực hiện:
Lưu ý: Do axit xitric cũng tác động rất mạnh tới men răng tự nhiên nên cần hạn chế số lần sử dụng. Một tuần bạn chỉ nên lấy vôi răng đen bằng chanh 1 lần.

Làm sạch mảng bám đen trên răng bằng chanh
Baking soda là chất tẩy rửa mức độ nhẹ và được dùng khá phổ biến trong việc vệ sinh. Do đó, người ta cũng thường sử dụng baking soda để làm sạch vôi răng đen. Baking soda sẽ ăn mòn cao răng và làm vôi răng mềm ra hơn. Ngoài ra cũng tạo ra môi trường kiềm và ức chế các loại vi khuẩn có hại phát triển.
Cách thực hiện:
Rắc 1 ít bột baking soda lên kem đánh răng. Sau đó dùng bàn chải vệ sinh răng trong khoảng 2 phút. Sau đó, làm sạch miệng lại với nước.
Trong giấm trắng cũng chứa lượng lớn axit axetic. Loại axit này có thể kích hoạt quá trình khử khoáng của răng, từ đó khiến vôi răng đen dễ bị loại bỏ hơn.
Cách thực hiện:
Pha 2 thìa dấm + 1/2 thìa muối với 1 cốc nước. Sau đó sử dụng dung dịch này súc miệng mỗi ngày 2 lần.
Các phương pháp trên để đạt được hiệu quả cũng cần thời gian tương đối dài. Không những thế nếu sử dụng những nguyên liệu mang tính axit mạnh không cẩn thận, người dùng có thể gặp các vấn đề tổn hại vào men răng. Do vậy để xử lý độ cứng đầu của cao răng đen, cách tốt nhất là bạn nên đến nha khoa để loại bỏ các mảng bám đen trên chân răng.

Tới nha khoa uy tín để tẩy sạch cao răng đen
Việc sở hữu một hàm răng trắng sáng là mơ ước của nhiều người. Do đó, hãy vệ sinh răng miệng thật kỹ lưỡng ngay hôm nay để loại bỏ các mảng bám cứng đầu trên răng, đem lại một nụ cười thật tươi bạn nhé.
Hoàng Trang
Nguồn tổng hợp
Dược sĩ Đại họcNguyễn Thanh Hải
Tốt nghiệp Đại học Dược Hà Nội, với hơn 10 năm kinh nghiệm trong lĩnh vực Dược phẩm. Hiện là giảng viên giảng dạy các môn Dược lý, Dược lâm sàng,...