Từng làm ở Viện ISDS, nhiều năm cộng tác với CDC Thái Nguyên triển khai dự án phòng chống HIV/AIDS, 2 năm cộng tác với WHO.
21/06/2023
Mặc định
Lớn hơn
Niềng răng là một phương pháp để giúp bạn làm đẹp và có nụ cười tự tin hơn. Có rất nhiều loại niềng răng, hôm nay chúng tôi xin chia sẻ với bạn về niềng răng mắc cài sứ mời bạn cùng tham khảo.
Hiện nay niềng răng là một phương pháp được sử dụng để làm đẹp là được rất nhiều người quan tâm. Phương pháp niềng răng được sử dụng với nhiều loại mắc cài khác nhau nhưng nổi bật nhất vẫn là phương pháp làm răng bằng mắc cài sứ. Nhà Thuốc Long Châu xin chia sẻ với bạn về niềng răng mắc cài sứ là như thế nào? Mời bạn cùng tham khảo qua bài viết sau đây của chúng tôi.

Sau đây là những chia sẻ giúp bạn hiểu thêm về niềng răng mắc cài sứ là như thế nào:
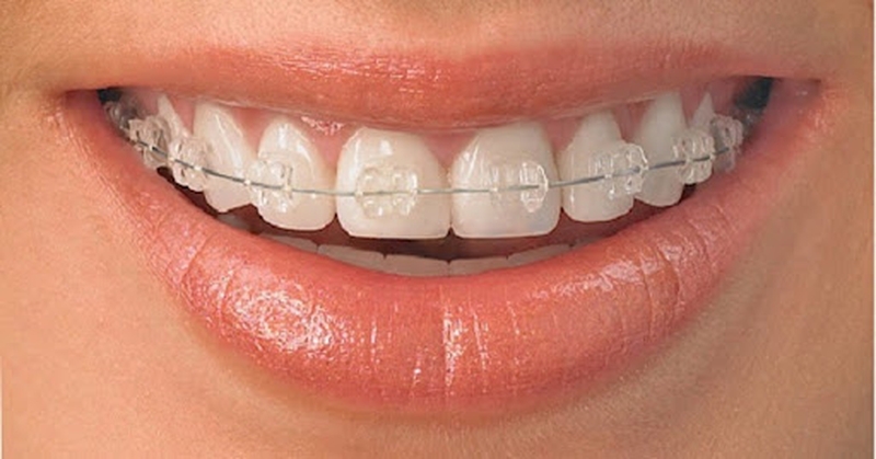
Niềng răng mắc cài bằng sứ là một phương pháp được sử dụng để chỉnh nha, cách mắc cài được làm bằng chất liệu sứ và dây cung được sử dụng trong đất cày sứ là loại dây cung được sử dụng trong mắc cài kim loại. Các khí cụ được sử dụng trong phương pháp niềng răng mắc cài sứ được gắn bên ngoài mặt răng để tạo nên một lực chỉnh giúp răng ổn định về vị trí mong muốn. Mắc cài sứ được dùng để cải thiện những khuyết điểm của răng thừa, răng hô, móm, lệch hàm, răng thưa… Khi sử dụng phương pháp niềng răng bằng mắc cài kim loại thì người sử dụng sẽ dễ dàng nhận biết và cảm nhận được mình đang niềng răng và gây mất thẩm mỹ đối với người đối diện. Nhưng đối với phương pháp niềng răng bằng mắc cài sứ sẽ giúp cải thiện được tình trạng mất thẩm mỹ. Phương pháp này đang được sử dụng để thay thế cho phương pháp niềng răng kim loại truyền thống hiện nay.

Niềng răng mắc cài sứ được rất nhiều người lựa chọn bởi những ưu điểm sau đây:
Sau đây là một số điều mà bạn cần chú ý khi niềng răng mắc cài sứ:
Khoảng thời gian niềng răng mắc cài sứ phụ thuộc vào tình trạng răng miệng của bạn và độ tuổi thực hiện. Thông thường phương pháp này sẽ mất khoảng 18 - 24 tháng. Có những trường hợp tình trạng nặng thì sẽ kéo dài đến 36 tháng.

Quá trình chăm sóc răng sau khi niềng là quá trình vô cùng quan trọng sẽ quyết định đến kết quả sau này. Bạn cần lưu ý những điều như sau:
Nhà thuốc Long Châu đã chia sẻ với bạn về niềng răng mắc cài sứ và những thông tin liên quan qua bài viết trên. Khi lựa chọn phương pháp niềng răng này, bạn cần vệ sinh răng miệng đúng cách và có chế độ ăn uống hợp lý để không ảnh hưởng đến kết quả niềng răng sau này. Hi vọng những chia sẻ của chúng tôi sẽ mang đến cho bạn những thông tin vô cùng hữu ích. Cảm ơn bạn đã luôn quan tâm đến những chia sẻ từ nhà thuốc chúng tôi.
Minh Thuý
Nguồn tham khảo: Tổng hợp
Dược sĩ Đại học Nguyễn Tuấn Trịnh
Từng làm ở Viện ISDS, nhiều năm cộng tác với CDC Thái Nguyên triển khai dự án phòng chống HIV/AIDS, 2 năm cộng tác với WHO.