• Thực phẩm chức năng

  • Dược mỹ phẩm

  • Thuốc

  • Chăm sóc cá nhân

  • Thiết bị y tế

  • Tiêm chủng

  • Bệnh & Góc sức khỏe

  • Hệ thống nhà thuốc

    1. /
    2. Góc sức khỏe/
    3. Phòng bệnh & Sống khoẻ

    Tác hại của lệch khớp cắn là gì? Lệch khớp cắn ảnh hưởng thế nào tới khuôn mặt?

    21/06/2023

    Kích thước chữ

    Lệch khớp cắn là một trong những vấn đề phổ biến, không những làm mất thẩm mỹ cho khuôn mặt mà còn gây ảnh hưởng tới chức năng nhai, đồng thời tăng nguy cơ mắc các bệnh về răng miệng. Vậy những tác hại của lệch khớp cắn là gì? Hãy cùng Nhà Thuốc Long Châu tìm hiểu qua bài viết dưới đây!

    Lệch khớp cắn là một trong những khuyết điểm ngày càng phổ biến khiến hàm răng trở nên mất thẩm mỹ, vì vậy, việc điều trị lệch khớp cắn là hoàn toàn cần thiết. Ở bài viết dưới đây, Nhà Thuốc Long Châu sẽ giúp bạn tìm hiểu các tác hại của lệch khớp cắn, đồng thời đưa ra một số cách điều trị khớp cắn lệch đang được sử dụng hiện nay.

    Lệch khớp cắn là gì?

    Khớp cắn là tỷ lệ cân xứng và diện tích tiếp xúc với nhau giữa hai hàm răng trên và hàm răng dưới ở trạng thái nghỉ cũng như khi ăn nhai. Một khớp cắn chuẩn phải đạt tiêu chuẩn cân đối và đều đẹp giữa hai hàm, nếu không sẽ được coi là lệch khớp cắn.

    Lệch khớp cắn là khi lệch tâm của hàm răng trên với tâm hàm răng dưới, hoặc hai hàm cắn không khít với nhau, hoặc các răng trên cung hàm mọc lệch và không thẳng hàng. Tất cả đều gây ảnh hưởng tới tính thẩm mỹ của hàm răng nói riêng và toàn bộ khuôn mặt nói chung, ngoài ra còn dẫn đến khó khăn trong phát âm, ăn nhai.

    Theo các nha sĩ cho thấy, 70% nguyên nhân dẫn tới sai lệch khớp cắn là do bẩm sinh hoặc do di truyền cấu trúc răng hàm từ bố hoặc mẹ. Tuy nhiên, cũng có một số thói quen khiến cấu trúc xương hàm bị thay đổi, chẳng hạn như:

    • Trẻ có thói quen bú bình lâu dài, ngậm ti giả, mút ngón tay
    • Thương tích và va chạm nghiêm trọng do tai nạn dẫn đến sai lệch xương hàm.
    • Vệ sinh răng miệng kém.
    • Biến chứng do các phương pháp thẩm mỹ răng không chuẩn.
    • Biến chứng từ gãy hoặc mất răng gây tiêu xương và xô lệch răng toàn hàm.
    Tác hại của lệch khớp cắn là gì? Lệch khớp cắn ảnh hưởng thế nào tới thẩm mỹ khuôn mặt? 1 Trẻ hay mút tay về lâu dài có thể mắc chứng lệch khớp cắn

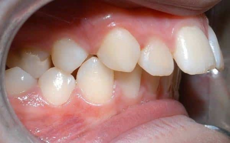
    Một số loại sai lệch khớp cắn phổ biến

    Tình trạng hô hàm trên

    Ở những người mắc phải khuyết điểm này, có thể dễ dàng nhìn thấy hàm trên của họ bị đẩy ra che phủ hoàn toàn hàm dưới, đặc biệt khi nhìn ở góc mặt nghiêng. Thông thường, hô hàm trên thường do răng, hoặc do xương, hay thậm chí là cả hai. Để xác định được rõ nguyên nhân, các bác sĩ cần phải chụp phim X-quang đo sọ mới có thể phân tích và đưa ra đánh giá chính xác.

    Khớp cắn ngược

    Khớp cắn ngược (hay còn gọi là móm) là dạng sai lệch khớp cắn nghiêm trọng dẫn đến xương hàm dưới phát triển dài ra và đưa về phía trước quá mức, trong khi xương hàm trên thì cụp vào trong. Ở những người bị khớp cắn ngược, khi nhìn nghiêng sẽ thấy môi dưới chìa ra hẳn so với môi trên, khiến khuôn mặt trở nên mất cân đối, đồng thời tác động xấu tới cử động của xương hàm.

    Tác hại của lệch khớp cắn là gì? Lệch khớp cắn ảnh hưởng thế nào tới thẩm mỹ khuôn mặt? 2 Khớp cắn ngược là một trong những loại sai lệch khớp cắn phổ biến

    Khớp cắn sâu

    Là tình trạng mất cân đối của hàm trên và hàm dưới khiến hàm dưới bị lọt thỏm và khuất sâu ở trong hàm trên. Khi nhìn góc nghiêng những người bị khớp cắn sâu, hàm dưới bị che đi phần nhiều, vì vậy trông giống người bị vẩu. Những người có khớp cắn sâu thường gặp nhiều khó khăn trong việc nhai thức ăn.

    Tác hại của lệch khớp cắn là gì? Lệch khớp cắn ảnh hưởng thế nào tới thẩm mỹ khuôn mặt? 3 Khớp cắn sâu khiến hàm dưới bị lọt thỏm so với hàm trên

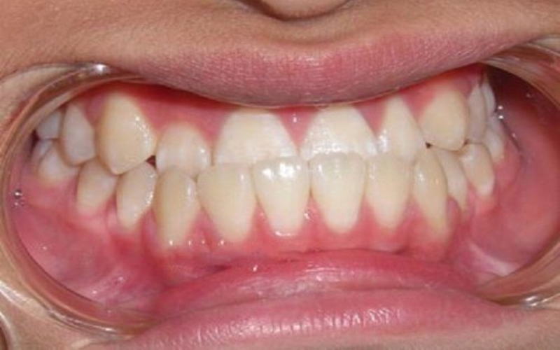
    Khớp cắn chéo

    Loại sai lệch khớp cắn này thường không biểu hiện trên khuôn mặt mà chỉ có thể lộ ra khi cười. Thông thường, toàn bộ răng và kẽ răng sẽ hài hòa và cân đối với nhau; tuy nhiên, ở những người bị khớp cắn chéo, các răng bị xô lệch không theo trật tự, có những chiếc thò ra ngoài so với hàm, trong khi có những chiếc thụt vào trong, vì vậy ảnh hưởng nghiêm trọng tới tính thẩm mỹ.

    Khớp cắn hở

    Đây là loại sai lệch khớp cắn nghiêm trọng nhất, ảnh hưởng lớn tới cả thẩm mỹ lẫn chức năng của hàm răng. Trong trường hợp này, nhóm răng cửa bị hở, có thể nhìn thấy cả lưỡi ngay cả khi khép răng, từ đó nhóm răng hàm không thể chạm vào nhau khiến bệnh nhân gặp nhiều khó khăn trong việc cắn và nhai thức ăn. Khớp cắn hở rất dễ phân biệt bởi chúng có đặc điểm khác biệt nhất so với những loại lệch khớp cắn còn lại.

    Tác hại của lệch khớp cắn là gì? Lệch khớp cắn ảnh hưởng thế nào tới thẩm mỹ khuôn mặt? 4 Người có khớp cắn hở sẽ gặp nhiều khó khăn trong việc cắn và nhai thức ăn

    Tác hại của lệch khớp cắn là gì?

    Lệch khớp cắn gây ra nhiều vấn đề đới với sức khỏe và sinh hoạt hằng ngày:

    • Lệch khớp cắn gây ảnh hưởng về mặt thẩm mỹ, vì vậy có thể khiến tâm lý người bệnh trở nên tự ti khi gặp gỡ và giao tiếp với mọi người bởi đường nét gương mặt trở nên thiếu hài hòa.
    • Sai lệch khớp cắn còn khiến việc ăn nhai trở nên kém hiệu quả bởi lực ăn nhai tác động không đều dễ khiến răng bị vỡ, bị gãy và cuối cùng dẫn đến mòn răng.
    • Khớp cắn bị lệch khiến người bệnh phát âm không chuẩn, vì thế việc giao tiếp trở nên khó khăn hơn.
    • Những người mắc phải chứng lệch khớp cắn khó có thể vệ sinh răng miệng sạch sẽ, làm tăng nguy cơ mắc các bệnh lý về răng miệng như sâu răng, viêm nướu…
    Tác hại của lệch khớp cắn là gì? Lệch khớp cắn ảnh hưởng thế nào tới thẩm mỹ khuôn mặt? 5 Tác hại của lệch khớp cắn ảnh hưởng đến sức khỏe và sinh hoạt hằng ngày

    Một số cách điều trị khớp cắn lệch hiệu quả

    Tùy vào nguyên nhân và tình trạng sai lệch khớp cắn mà nha sĩ có thể đưa ra giải pháp điều trị hiệu quả và tối ưu nhất. Dưới đây là một số phương pháp điều trị sai lệch khớp cắn đang được sử dụng hiện nay.

    Bọc răng sứ

    Kỹ thuật này được áp dụng cho những người không bị sai lệch khớp cắn quá nhiều, ví dụ như răng lệch lạc hoặc hô nhẹ. Tuy nhiên, chúng ta không nên quá lạm dụng bọc răng sứ bởi có thể phải lấy đi phần mô răng thật, thậm chí là tủy răng để thực hiện bọc – mà đây là điều các nha sĩ không khuyến khích.

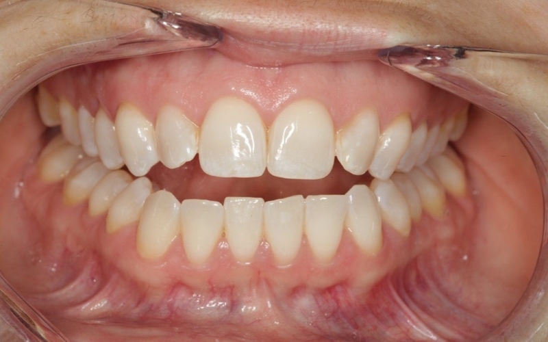
    Niềng răng

    Đây là phương pháp sử dụng hệ thống dây cung mắc cài tác động lực lên răng để di chuyển răng về vị trí mong muốn, đồng thời tái tạo lại khớp cắn. Niềng răng áp dụng được cho hầu hết các loại lệch khớp cắn, là phương pháp chữa lệch khớp cắn hiệu quả, cho kết quả lâu dài, ổn định và bảo toàn toàn bộ mô răng thật.

    Tác hại của lệch khớp cắn là gì? Lệch khớp cắn ảnh hưởng thế nào tới thẩm mỹ khuôn mặt? 6 Niềng răng là cách điều trị khớp cắn lệch hiệu quả nhất

    Phẫu thuật hàm điều trị lệch khớp cắn

    Với những trường hợp sai lệch khớp cắn có nguyên nhân do cấu trúc xương hàm thì phẫu thuật xương hàm là phương pháp tối ưu nhất. Ở phương pháp này, các bác sĩ cắt bớt một phần xương hoặc nối thêm xương tùy theo từng dạng sai lệch khớp cắn của bệnh nhân. Tuy nhiên, đối với những bạn nhỏ, nếu phát hiện được sớm tình trạng sai lệch khớp cắn thì có thể thực hiện niềng răng, tránh cho bé phải trải qua một cuộc phẫu thuật đau đớn.

    Như vậy, bài viết trên đã giúp bạn tìm hiểu về chứng lệch khớp cắn, cho biết các tác hại của lệch khớp cắn, đồng thời đưa ra một số cách điều trị khớp cắn lệch đang được sử dụng hiện nay. Chúc bạn đọc sức khỏe và đừng quên theo dõi những bài viết tiếp theo trên trang web của Nhà Thuốc Long Châu nhé!

    Ánh Vũ

    Nguồn tham khảo: Tổng hợp

    Có thể bạn quan tâm

    Thông tin và sản phẩm gợi ý trong bài viết chỉ mang tính chất tham khảo, vui lòng liên hệ với Bác sĩ, Dược sĩ hoặc chuyên viên y tế để được tư vấn cụ thể. Xem thêm