Tốt nghiệp Đại Học Dược Hà Nội - chuyên môn Dược lâm sàng. Hiện đang là giảng viên cho Dược sĩ tại Nhà thuốc Long Châu.
21/06/2023
Mặc định
Lớn hơn
Khi chúng ta vệ sinh không đúng cách, răng chúng ta sẽ gặp một số vấn đề, trong có vôi răng. Vậy vôi răng là gì, làm sao để làm sạch vôi răng, cùng tìm hiểu ngay qua bài viết dưới đây!
Khi chúng ta vệ sinh không đúng cách dẫn đến việc gây ra một số vấn đề về răng, trong đó có vôi răng (hay còn được gọi là cao răng). Vậy vôi răng là gì, làm sao để làm sạch vôi răng tại nhà hiệu quả, tất cả đều sẽ được giải đáp qua bài viết dưới đây!
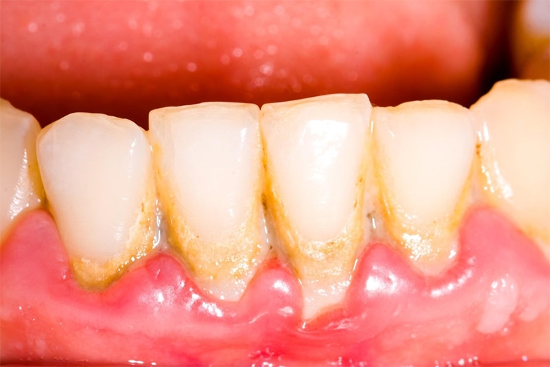
Vôi răng hay còn được gọi là cao răng, là những mảng bám được tích tụ trong răng miệng. Từ đó bị vôi hóa bởi các hợp chất muối vô cơ trong nước bọt hay cặn mềm. Lâu dần vôi răng sẽ trở nên cứng, bám chặt vào bề mặt răng hoặc dưới mép lợi ảnh hưởng sức khỏe, thẩm mỹ của răng miệng chúng ta.
Bên cạnh đó còn có cao răng huyết thanh, là loại cao răng thường gây viêm lợi. Tại vùng bị viêm sẽ tiết ra các dịch viêm dẫn đến chảy máu, từ đó máu ngấm vào vôi răng tạo nên màu nâu đỏ.

Vôi răng là những mảng bám được tích tụ trong răng miệng
Vôi răng bám trên bề mặt gây mất thẩm mỹ, thậm chí làm hôi miệng, cản trở quá trình vệ sinh răng miệng. Không những vậy, trên bề mặt vôi răng luôn có vi khuẩn, những vi khuẩn này sẽ lên men và tạo acid làm hỏng men răng, gây sâu răng. Lượng vi khuẩn càng cao sẽ càng gây ra tổn thương, kích thích ảnh hưởng trực tiếp đến nướu.
Nếu bạn chỉ bị vôi răng ở mức độ nhẹ sẽ có nguy cơ làm viêm nướu, nướu sưng đỏ hoặc chảy máu. Bệnh này có thể phục hồi nếu bạn loại bỏ phần vôi răng và vệ sinh răng miệng đúng cách.
Tuy nhiên, khi vôi răng hình thành nhiều và tồn tại dai dẳng sẽ dẫn đến bệnh nha chu, nguy hiểm hơn. Khi đó hệ thống miễn dịch trong cơ thể sẽ tiết ra các hóa chất để chống lại vi khuẩn và những sản phẩm mà vi khuẩn tạo ra. Điều này không chỉ ảnh hưởng đến xương mà còn khiến các mô nha chu có tác dụng nâng đỡ và giữ ổn định cho răng cũng suy yếu theo. Thậm chí nếu nghiêm trọng sẽ khiến răng lung lay và rụng.
Không dừng lại ở đó, những loại vi khuẩn này còn là nguyên nhân của các bệnh nguy hiểm như: viêm tủy ngược dòng, viêm niêm mạc miệng, lở miệng, viêm amidan, viêm họng,...
Muối và chanh là một sự kết hợp hoàn hảo để trị vôi răng, đơn giản nhưng mang lại hiệu quả không tưởng. Bạn thực hiện bằng cách vắt một lát chanh nhỏ vào ly nước rồi thêm một ít muối vào, khuấy tan hỗn hợp rồi ngậm trong 5 phút, sau đó súc miệng sạch lại bằng nước. Nhờ có axit trong chanh và kết hợp với muối giúp lấy đi cao răng và các mảng bám trên răng, mang lại cho bạn hàm răng trắng sáng.
Lưu ý rằng chanh có chứa tính axit nên bạn chỉ sử dụng tối đa 2 đến 3 lần mỗi tuần mà thôi. Vì sử dụng liên tục sẽ làm bào mòn men răng và tổn thương nướu.

5 mẹo trị vôi răng tại nhà đơn giản, hiệu quả
Dầu dừa là một loại nguyên liệu khá phổ biến, được sử dụng để làm đẹp da, đẹp tóc, dưỡng ẩm nuôi mi hiệu quả. Bên cạnh đó thì dầu dừa còn có tác dụng loại bỏ các mảng bám men răng nhanh chóng, mang lại hiệu quả bất ngờ, làm cho răng ngày càng trắng sáng.
Bạn thực hiện bằng cách dùng một miếng bông thật sạch, thấm dầu dừa lên bông và chà sát lên toàn bộ răng trong 3 - 5 phút. Thực hiện thường xuyên để thấy được hiệu quả rõ rệt. Phương pháp này đơn giản mà lại dễ thực hiện, nên được nhiều người ứng dụng để làm sạch cao răng tại nhà.
Cũng tương tự như dầu dừa, ngoài những công dụng làm đẹp thì dầu oliu còn giúp loại bỏ cao răng, các mảng bám trên răng. Cách sử dụng dầu oliu cũng như dầu dừa, tuy nhiên bạn cần kiên trì thực hiện vì dầu oliu sẽ không làm trắng ngay tức thì.
Baking soda được biết đến với công dụng làm trắng răng, nay còn biết thêm một công dụng nữa đó là dùng để tẩy cao răng tại nhà. Để sử dụng, bạn hòa tan nửa muỗng baking soda với nước ấm. Sau khi đánh răng xong, bạn dùng bàn chải chải để loại bỏ các mảng bám, hạn chế tình trạng gây ê buốt răng miệng.
Thật không khó để chúng ta tìm thấy đường nâu trong nhà, vậy nên đây cũng là một cách dễ thực hiện mà lại hiệu quả. Trong đường nâu chứa các loại mảng bám ở chân răng, có tác dụng làm trắng và giúp cạo vôi răng tại nhà.
Bạn có thể thực hiện bằng cách cho đường nâu vào miệng để ngậm trong 15-20 phút. Đường sẽ từ từ tan trong khoang miệng, đi qua các kẽ răng và đánh bật mọi vết ố. Bạn chỉ cần thực hiện đều đặn 1 đến 2 tuần là đã thấy ngay sự khác biệt.

Cách trị vôi răng tại nhà bằng cách dùng đường nâu
Trên thực tế, những phương pháp trị vôi răng tại nhà chỉ phát huy tác dụng với những trường hợp bị vôi răng mức độ nhẹ. Vì vậy nếu bạn thấy mình ở mức độ nặng hơn hãy đếm thăm khám tại những phòng khám uy tín để được lấy vôi và điều trị hiệu quả.
Hy vọng bài viết trên đã giúp giải đáp các thắc mắc của bạn về vôi răng cũng như cách trị vôi răng tại nhà. Sức khỏe răng miệng ảnh hưởng nhiều đến ngoại hình, sự tự tin của bản thân nên bạn nhớ để ý nhé. Hãy lựa chọn phương pháp phù hợp, an toàn để mang lại hiệu quả tốt nhất, chúc bạn luôn có một “nụ cười” tươi sáng.
Thủy Phan
(Nguồn: Tổng Hợp)
:format(webp)/KF_1b_LIQ_Tx_J_Pb27_Vsh90_QN_6b_Xz_OB_Jo_U_f0e2294e2e.png)
Dược sĩ Đại họcNguyễn Chí Chương
Tốt nghiệp Đại Học Dược Hà Nội - chuyên môn Dược lâm sàng. Hiện đang là giảng viên cho Dược sĩ tại Nhà thuốc Long Châu.