Từng làm ở Viện ISDS, nhiều năm cộng tác với CDC Thái Nguyên triển khai dự án phòng chống HIV/AIDS, 2 năm cộng tác với WHO.
/https://cms-prod.s3-sgn09.fptcloud.com/467_viem_amidan_7495_6245_large_7ff50bbf15.png)
/https://cms-prod.s3-sgn09.fptcloud.com/467_viem_amidan_7495_6245_large_7ff50bbf15.png)
Dược sĩ Đại học Nguyễn Tuấn Trịnh
Từng làm ở Viện ISDS, nhiều năm cộng tác với CDC Thái Nguyên triển khai dự án phòng chống HIV/AIDS, 2 năm cộng tác với WHO.
Viêm amidan là tình trạng nhiễm trùng cấp tính ở họng, amidan vòm họng hoặc cả hai. Các triệu chứng có thể bao gồm khó nuốt, đau họng, nổi hạch cổ và sốt. Chẩn đoán dựa trên lâm sàng, cận lâm sàng bao gồm nuôi cấy hoặc xét nghiệm kháng nguyên nhanh. Việc điều trị phụ thuộc vào các triệu chứng và trong trường hợp nhiễm β- Streptococcus tan huyết nhóm A, cần dùng đến thuốc kháng sinh.
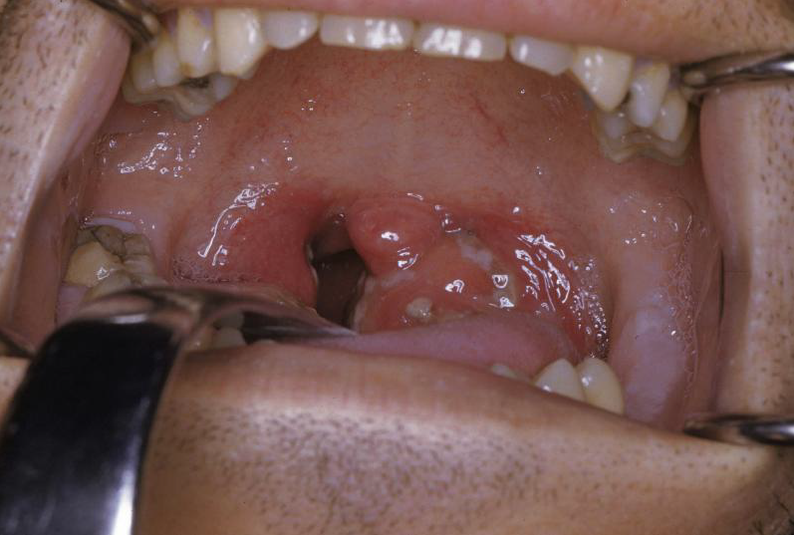
Viêm amidan là tình trạng tuyến amidan bị tổn thương, viêm nhiễm cấp tính hoặc mạn tính. Viêm amidan do vi khuẩn hoặc virus gây ra. Khi vi khuẩn tấn công ồ ạt vào mũi họng sẽ làm amidan làm việc quá mức dẫn đến amidan bị sưng, đỏ và đau.
Amidan là hàng rào miễn dịch đầu tiên của hệ hô hấp, sau khi chống lại vi khuẩn, xác vi khuẩn, bạch cầu và mô hoại tử có thể tích tụ ở amidan tạo thành cục mủ có mùi hôi, thường gặp trong viêm amidan mạn tính.
Việc amidan bị tấn công nhiều sẽ khiến khả năng phòng vệ của nó bị yếu đi, và những ổ viêm trong amidan sẽ bắt đầu cho các đợt viêm họng.
/https://cms-prod.s3-sgn09.fptcloud.com/viem_amidan_1_330a79f024.png)
/https://cms-prod.s3-sgn09.fptcloud.com/viem_amidan_2_ea80f21729.png)
/https://cms-prod.s3-sgn09.fptcloud.com/viem_amidan_3_a9281852e9.png)
/https://cms-prod.s3-sgn09.fptcloud.com/viem_amidan_4_c450ef93b8.png)
/https://cms-prod.s3-sgn09.fptcloud.com/viem_amidan_5_6c4497fe8b.png)
/https://cms-prod.s3-sgn09.fptcloud.com/viem_amidan_6_b14b58ea54.png)
/https://cms-prod.s3-sgn09.fptcloud.com/viem_amidan_7_c37f1b909d.png)
/https://cms-prod.s3-sgn09.fptcloud.com/viem_amidan_1_330a79f024.png)
/https://cms-prod.s3-sgn09.fptcloud.com/viem_amidan_2_ea80f21729.png)
/https://cms-prod.s3-sgn09.fptcloud.com/viem_amidan_3_a9281852e9.png)
/https://cms-prod.s3-sgn09.fptcloud.com/viem_amidan_4_c450ef93b8.png)
/https://cms-prod.s3-sgn09.fptcloud.com/viem_amidan_5_6c4497fe8b.png)
/https://cms-prod.s3-sgn09.fptcloud.com/viem_amidan_6_b14b58ea54.png)
/https://cms-prod.s3-sgn09.fptcloud.com/viem_amidan_7_c37f1b909d.png)
Dấu hiệu nhận biết khi bị viêm amidan là đau khi nuốt và thường đau lan lên tai. Trẻ sơ sinh không có khả năng kêu đau họng thường không chịu ăn.
Các triệu chứng bao gồm khó chịu, sốt cao, nhức đầu, rối loạn tiêu hóa cũng như chứng hôi miệng và giọng nói bị nghẹt. Phát ban cũng có thể có thể xảy ra. Amidan sưng tấy, đỏ và thường xuyên có dịch mủ. Có thể có sưng đau hạch cổ. Sốt, nổi hạch, ban xuất huyết vòng họng và vỡ mủ thường là dấu hiệu phổ biến của viêm họng do liên cầu tan huyết β nhóm A (GABHS) hơn là với viêm amidan do virus, nhưng cũng có nhiều điểm trùng lặp. Với GABHS, có thể xuất hiện phát ban dạng scarlatiniform (ban đỏ).
Viêm amidan tái phát nhiều lần có thể dẫn đến các biến chứng nguy hiểm như áp xe quanh amidan, hội chứng ngừng thở khi ngủ, nhiễm trùng gây tụ mủ sau amidan, viêm amidan hốc mủ.
Nếu có bất kỳ triệu chứng nào nêu trên xảy ra, bạn nên liên hệ ngay với bác sĩ để được kiểm tra và tư vấn. Chẩn đoán và điều trị sớm sẽ giảm nguy cơ tăng nặng của bệnh và giúp bạn mau chóng hồi phục sức khỏe.
Viêm amidan hầu họng thường do các virus thông thường như: Adenovirus, rhinovirus, cúm, coronavirus và virus hợp bào hô hấp gây ra, nhưng đôi khi cũng do virus Epstein-Barr, virus herpes simplex, cytomegalovirus hoặc HIV.
Trong khoảng 30% bệnh nhân vị viêm amidan là do vi khuẩn. Liên cầu tan huyết β nhóm A (GABHS) là phổ biến nhất, nhưng đôi khi có liên quan đến Staphylococcus aureus, Streptococcus pneumoniae, Mycoplasma pneumoniae và Chlamydia pneumoniae. Các nguyên nhân hiếm gặp bao gồm ho gà, Fusobacterium, bạch hầu, giang mai và bệnh lậu.
Viêm họng do liên cầu tan huyết β nhóm A xảy ra phổ biến nhất ở độ tuổi từ 5 - 15 và không phổ biến trước 3 tuổi.
Viêm amidan có thể do nhiễm vi khuẩn hoặc virus gây ra:
Viêm amidan có thể gây khó thở khi amidan sưng to, làm hẹp đường thở, đặc biệt là vào ban đêm.
Việc cắt amidan không phải lúc nào cũng cần thiết và phụ thuộc vào nhiều yếu tố như:
Xem thêm thông tin: Có nên cắt amidan để hạn chế tình trạng viêm không? Vì sao?
Khi bị viêm amidan, nên hạn chế một số loại thực phẩm sau:
Xem thêm thông tin: Viêm amidan nên ăn gì và kiêng gì để mau khỏi bệnh?
Viêm amidan ở phụ nữ mang thai có thể gây ra một số nguy hiểm nhưng thường không nghiêm trọng nếu điều trị kịp thời. Cần lưu ý về:
Nhận diện bệnh viêm họng - amidan mạn tính: Khi họng không bao giờ “nghỉ viêm”
Vì sao viêm họng - amidan dễ tái phát?
5 thói quen giúp họng mau lành và không tái viêm
Chăm sóc họng đúng cách khi viêm kéo dài
Giải mã 10 điều cần biết về viêm amidan
Những điều cần biết về chế độ ăn cho người bị viêm họng
Nhận diện bệnh viêm họng - amidan mạn tính: Khi họng không bao giờ “nghỉ viêm”
Vì sao viêm họng - amidan dễ tái phát?
5 thói quen giúp họng mau lành và không tái viêm
Chăm sóc họng đúng cách khi viêm kéo dài
Giải mã 10 điều cần biết về viêm amidan
Những điều cần biết về chế độ ăn cho người bị viêm họng
Hỏi đáp (0 bình luận)